Một bệnh nhân nam 44 tuổi bị tắc mật nặng do sỏi ống mật chủ

Nam bệnh nhân 44 tuổi bị tắc mật nặng đã được lấy sỏi thành công, giúp cải thiện chức năng gan mật và giảm nguy cơ biến chứng nguy hiểm.

Bệnh viện Hữu nghị cho biết vừa can thiệp thành công cho một bệnh nhân nam 44 tuổi bị tắc mật nặng do sỏi ống mật chủ.

Trước đó, bệnh nhân đến khám trong tình trạng đau tức vùng thượng vị và hạ sườn phải, kèm vàng da, mệt mỏi kéo dài. Kết quả xét nghiệm cho thấy men gan tăng cao, tình trạng tắc mật rõ rệt với chỉ số Bilirubin hơn 300 µmol/l.

Sỏi ống mật chủ 'khủng' gây tắc mật nặng- Ảnh 4.

Viên sỏi lớn đường mật được các bác sĩ can thiệp thành công. Ảnh vietnam.vn

Hình ảnh chụp cộng hưởng từ đường mật cho thấy hệ thống đường mật giãn, nguyên nhân do sỏi nằm ở đoạn thấp ống mật chủ.

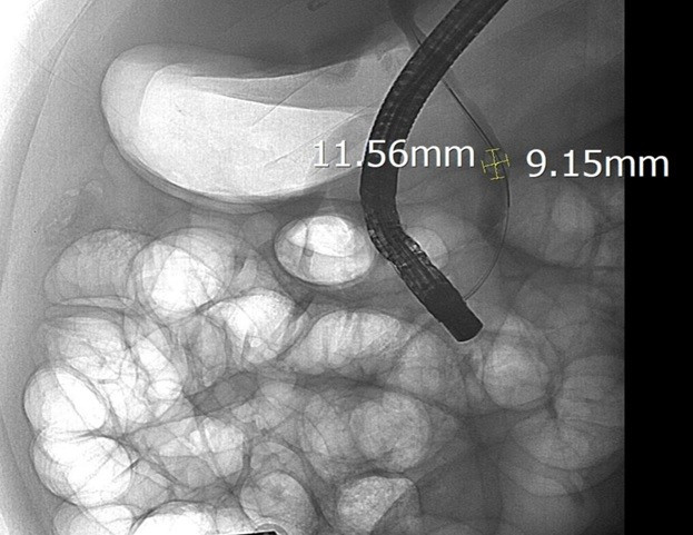
Sau khi hội chẩn, các bác sĩ Khoa Nội Tiêu hóa, Bệnh viện Hữu nghị đã chỉ định nội soi mật tụy ngược dòng (ERCP) dưới hướng dẫn của hệ thống chụp mạch số hóa xóa nền (DSA). Trong quá trình can thiệp, ê-kíp đã lấy thành công viên sỏi kích thước 11,5 x 9mm, giải phóng tình trạng tắc mật.

Sỏi ống mật chủ 'khủng' gây tắc mật nặng- Ảnh 2.

Hình ảnh sỏi ống mật chủ được lộ rõ dưới chụp DSA. Ảnh BVCC/Nguồn SKĐS

Sau thủ thuật, tình trạng vàng da và đau tức của người bệnh cải thiện rõ rệt, chức năng gan mật dần ổn định, thời gian điều trị được rút ngắn.

Theo BS.CKII Đinh Quý Minh, Trưởng khoa Nội Tiêu hóa, Bệnh viện Hữu nghị, những biểu hiện như đau tức bụng, vàng da, mệt mỏi kèm men gan tăng cao không đơn thuần là viêm dạ dày hay rối loạn tiêu hóa thông thường. Đây có thể là dấu hiệu của nhiều bệnh lý gan mật nguy hiểm như sỏi ống mật chủ, tắc mật, viêm đường mật hoặc các bệnh lý cần can thiệp sớm.

Các bác sĩ khuyến cáo, khi xuất hiện các triệu chứng bất thường, người bệnh không nên tự ý điều trị tại nhà. Việc khám sớm, chẩn đoán đúng và can thiệp kịp thời là yếu tố quyết định giúp phòng ngừa biến chứng nguy hiểm và bảo vệ chức năng gan mật.

Sỏi ống mật chủ là tình trạng sỏi (sắc tố mật hoặc cholesterol) xuất hiện và kẹt lại trong ống dẫn mật chính ngoài gan, cản trở dịch mật từ gan/túi mật xuống ruột non. Bệnh gây tắc nghẽn, đau bụng mật, sốt, vàng da và có thể dẫn đến nhiễm trùng đường mật, viêm tụy cấp nguy hiểm.

Cụ bà 105 tuổi nguy kịch vì sỏi ống mật chủ, viêm túi mật hoại tử

Trường hợp trên là minh chứng rõ ràng rằng tuổi cao không đồng nghĩa với “hết cơ hội điều trị”, nếu bệnh được phát hiện kịp thời và lựa chọn đúng phương pháp.

Đội ngũ bác sĩ Khoa Ngoại Tiêu hóa - Bệnh viện Đa khoa Xanh Pôn vừa thực hiện thành công ca phẫu thuật nội soi cắt túi mật, mở ống mật chủ lấy sỏi dẫn lưu Kehr cấp cứu cho một bệnh nhân 105 tuổi – trường hợp đặc biệt hiếm gặp do tuổi đời rất cao và tình trạng nhập viện nguy kịch.

Nguy kịch vì sỏi gây nhiễm khuẩn nặng

Tán sỏi đường mật, phát hiện giun trong ống mật

Sỏi mật và giun chui ống mật dẫn đến nhiều biến chứng nguy hiểm như: Viêm túi mật, tắc nghẽn ống mật, viêm mủ đường mật, áp xe gan mật, tắc ruột…

Bệnh viện Đa khoa tỉnh Phú Thọ vừa tiếp nhận một trường hợp hy hữu, người bệnh B.T.M (71 tuổi, trú tại Hạ Hòa, Phú Thọ) cùng lúc bị sỏi mật gây tắc ống mật chủ và có giun trong đường mật.

Người bệnh nhập viện tại Khoa Nội Hô hấp – Tiêu hóa trong tình trạng đau tăng dần vùng thượng vị và hạ sườn bên phải, kèm theo vàng da tăng dần, gây mệt mỏi và ảnh hưởng đến ăn uống, sinh hoạt.

Tắc ruột do sỏi túi mật, “quả bom nổ chậm” ít ai ngờ

Sỏi mật để lâu có thể gây ra rất nhiều biến chứng nguy hiểm như viêm thủng túi mật vào tá tràng và rơi xuống ruột non gây tắc...

Ca lâm sàng “hiếm gặp” từ cơn đau bụng bất ngờ

ce11e195-0062-49c3-9c13-f891583f81b6-mceu-87089357911749091840707.jpg

Đọc nhiều nhất

Tin mới