Một khi răng đã xuất hiện các mảng bám đen trên răng đồng nghĩa với việc răng của bạn đã bị xỉn màu nặng rồi đó. Vì thế, việc cần thiết là bạn phải tìm ra cách làm sạch mảng bám đen trên răng. Những vết đen trên răng hình thành từ chính ý thức kém của bạn trong việc vệ sinh răng miệng. Thông thường, những vụn thức ăn không được làm sạch sẽ tích tụ dần và bị vôi hóa nằm sâu dưới nướu răng và trên mặt răng.
![]() |
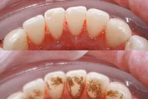
| Ảnh minh họa. |
Ngoài ra, không loại trừ khả năng gây ra hiện tượng răng bị bám đen do lắng đọng của huyết thanh lâu ngày. Tác hại của cao răng là làm hơi thở nặng mùi, gây sâu răng và rất mất thẩm mỹ. Để loại bỏ chúng, chị em hãy áp dụng ngay phương pháp siêu đơn giản sau đây.
Nguyên liệu cần chuẩn bị:
– Chanh
– Rượu trắng
– Soda không đường
Cách thực hiện:
– Lấy 1 lon soda không đường, hòa thêm khoảng 100ml rượu trắng và nước cốt nửa quả chanh. Cho tất cả vào chai, lắc đều, súc miệng nhiều lần sau khi đánh răng, ngậm 30 giây – 1 phút rồi nhổ đi. Làm đều đặn ngày 2 lần. Tương tự như công thức 1, bạn có thể để chai nước đã pha trong tủ lạnh và dùng trong ngày.
Nên kiểm tra răng miệng định kỳ 3 – 6 tháng/lần.
Cách ngăn ngừa cao răng
– Đánh răng đúng cách ngày 2 – 3 lần vào lúc sau khi ngủ dậy buổi sáng và sau mỗi bữa ăn trưa và tối, hoặc trước khi đi ngủ.
– Sử dụng chỉ nha khoa để lấy sạch mảnh vụn thức ăn ở kẽ răng. Sau khi chải răng, nên ngậm nước súc miệng hoặc nước muối pha loãng.
– Kiểm tra răng miệng định kỳ 3 – 6 tháng/lần.
– Hạn chế ăn các thức ăn có đường vào buổi tối trước khi ngủ vì dễ hình thành mảng bám và tạo môi trường tốt cho vi khuẩn trong miệng phát triển.
– Mát-xa lợi để cao răng khó bám vào.
– Bảo đảm chế độ dinh dưỡng thích hợp cho hàm răng khỏe đẹp.
– Nên lấy cao răng ở những phòng khám có uy tín cao.
