Hạt sapoche mắc kẹt trong phế quản người đàn ông 1 năm mà không biết

Dị vật để lâu bám chắc có thể gây hậu quả nặng nề như nhiễm trùng đường hô hấp, áp xe phổi, tràn mủ màng phổi, giãn phế quản.…

Tưởng bệnh hô hấp mãn tính không ngờ dị vật gây ra

Gần một năm nay, ông P.V.K (56 tuổi, ngụ Tây Ninh) đã tìm đến nhiều cơ sở y tế khác nhau để thăm khám và điều trị về tình trạng ho kéo dài nhưng bệnh vẫn không cải thiện.

Cơn ho dai dẳng kéo dài suốt một năm đã khiến ông tưởng chừng mình đang mắc phải căn bệnh hô hấp mãn tính.

Một tháng gần đây, các triệu chứng ngày càng diễn tiến nặng, ông liên tục đau ngực, ho nhiều, sốt cao và buồn nôn.

Lo lắng trước diễn biến sức khoẻ ngày càng xấu của ông K., gia đình đã quyết định đưa ông nhập viện để thăm khám chuyên sâu, với hy vọng tìm ra chính xác nguyên nhân để điều trị dứt điểm.

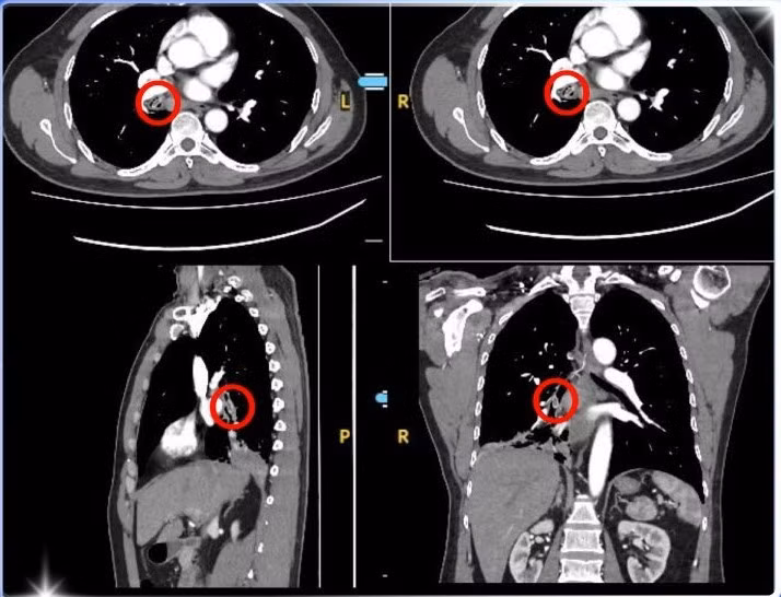
Tại phòng khám khoa Nội Tổng Quát, Bệnh viện Đa khoa Xuyên Á Long An, các bác sĩ tiến hành chụp CT scanner lồng ngực, kết quả cho thấy có dị vật hình bầu dục, kích thước khoảng 5,5 x 7,0 x 14,5 mm nằm trong phế quản gốc bên phải – nghi ngờ là một loại hạt trái cây mắc kẹt từ lâu.

ho-1-nam-4530.jpg
Hình ảnh CT lồng ngực xác định nguyên nhân của việc ho dai dẳng - Ảnh BVCC

Ngay lập tức, người bệnh được chỉ định nội soi phế quản để gắp dị vật, tránh để lâu gây biến chứng nặng nề cho đường hô hấp. Kết quả dị vật đường gắp ra đã hé lộ “thủ phạm” thực sự chính là… hạt sapoche mắc kẹt trong phế quản mà ngay cả bản ông cũng không hề hay biết.

Dị vật nằm lâu biến chứng nặng nề

BS.CKI Trương Minh Hiếu – Trưởng khoa Nội Soi, cho biết, dị vật là một hạt trái cây màu đen, trơn nhẵn, nằm sâu trong phế quản gốc bên phải. Bao quanh hạt là lớp màng trắng, vùng niêm mạc xung quanh phù nề, dễ chảy máu. Do đặc điểm dị vật trơn, dẹt và nằm sâu nên việc gắp ra ngoài gặp nhiều khó khăn.

Tuy nhiên, nhờ sự phối hợp nhịp nhàng của ê-kíp nội soi, chúng tôi đã thành công đưa dị vật ra ngoài an toàn mà không gây tổn thương đến các cơ quan lân cận.

ho.jpg
Thăm khám cho người bệnh - Ảnh BVCC

Sau thủ thuật, các triệu chứng ho, đau tức ngực và khó thở của ông đã thuyên giảm rõ rệt. Ông tiếp tục được theo dõi và điều trị tình trạng viêm phổi tại khoa Nội Tổng Quát. Sau hơn một tuần điều trị tích cực, sức khỏe ổn định và ăn uống trở lại bình thường, ông được xuất viện về với gia đình.

ho-1-nam1.jpg
Hình ảnh hạt sapoche trong đường tiêu hoá khiến bệnh nhân ho dai dẳng - Ảnh BVCC

BS Nguyễn Văn Chiến, Khoa Nội Tổng Quát – Nội Hô Hấp cho biết thêm: Trường hợp này đặc biệt ở chỗ người bệnh không hề biết mình từng bị hóc dị vật, dẫn đến chủ quan, không đi khám ngay. Tới lúc có triệu chứng ho thì việc thăm khám cũng không được thực hiện chuyên sâu nên không tìm được nguyên nhân chính xác.

Nếu tiếp tục để lâu, dị vật có thể bám chắc và sâu hơn gây nên hậu quả nặng nề như: Nhiễm trùng đường hô hấp, áp xe phổi, tràn mủ màng phổi, giãn phế quản.… Tất cả những biến chứng này không chỉ gây khó khăn cho việc điều trị mà còn ảnh hưởng lâu dài tới chức năng hô hấp của người bệnh về sau”.

hat-ra.jpg
Hình ảnh hạt sapoche sau khi lấy ra - Ảnh BVCC

Thời gian qua, Bệnh viện Đa khoa Xuyên Á Long An đã tiếp nhận nhiều ca bệnh liên quan đến hóc dị vật đường thở và đường tiêu hóa, điển hình như mảnh xương, viên thuốc, hạt trái cây hay những vật thể nhỏ dễ nuốt phải.

Đây là tình trạng tiềm ẩn nhiều nguy cơ nguy hiểm, đặc biệt ở trẻ nhỏ và người cao tuổi – những đối tượng dễ gặp tai nạn khi ăn uống.

Để phòng ngừa hóc dị vật, người dân cần cẩn trọng trong quá trình ăn uống, ăn chậm rãi, nhai kỹ, tránh vừa ăn vừa nói chuyện hay cười đùa. Trong trường hợp không may nuốt phải dị vật, cần nhanh chóng đưa người bệnh đến cơ sở y tế uy tín để được xử lý kịp thời và an toàn.

Tuyệt đối không áp dụng mẹo dân gian hay tự ý móc họng tại nhà, vì có thể khiến dị vật mắc sâu hơn hoặc gây tổn thương nghiêm trọng, thậm chí nguy hiểm đến tính mạng.

Xương cá đâm thủng, tạo mủ cả tháng trong dạ dày bệnh nhân 56 tuổi

Khi ăn cá, gà, vịt… có nhiều xương cần gỡ xương thật cẩn thận. Khi bị hóc xương nên đến ngay các cơ sở y tế, bệnh viện để được xử lý sớm.

Suy kiệt, thủng dạ dày, ổ mủ kéo dài cả tháng

Chỉ một chiếc xương cá nhỏ mà suýt lấy đi tính mạng bệnh nhân H.T.N.C. (56 tuổi, ngụ tại Đồng Tháp).

Người đàn ông tổn thương thực quản vì uống nhầm vỏ thuốc cứng

Người bệnh khi tự mua thuốc tại hiệu thuốc thường được chia liều với nhiều loại thuốc cắt nhỏ nhưng còn nguyên vỏ cứng nếu không chú ý sẽ uống thuốc cả vỏ.

Ngày 12/8, Bệnh viện Đa khoa Hà Nam cho biết, khoa Tai Mũi Họng vừa tiếp nhận bệnh nhân T.V.T. 60 tuổi ở Tam Chúc, tỉnh Ninh Bình bị hóc viên thuốc còn vỏ cứng.

Theo bệnh nhân kể, bệnh nhân bị sốt tự mua thuốc tại hiệu thuốc về uống. Do công việc bận rộn và sơ suất, trong khi uống cả liều thuốc, bệnh nhân uống cả viên thuốc còn vỏ cứng được cắt ra từ vỉ thuốc. Ngay sau đó, người bệnh xuất hiện nuốt đau, nghẹn, nuốt vướng nhiều ở vùng ngực.

Đọc nhiều nhất

Lợi ích sức khỏe của táo đỏ

Lợi ích sức khỏe của táo đỏ

Đông y cho rằng táo đỏ có tác dụng bổ khí huyết, kiện tỳ vị, an thần nên thường cho vào các bài thuốc có tác dụng bồi bổ cơ thể.
Vì sao càng mệt càng khó ngủ?

Vì sao càng mệt càng khó ngủ?

Mệt mỏi không đồng nghĩa với buồn ngủ. Khi não bộ còn căng thẳng và hormone stress tăng cao, giấc ngủ dễ bị chập chờn, thậm chí biến mất hoàn toàn.

Tin mới

Vì sao càng mệt càng khó ngủ?

Vì sao càng mệt càng khó ngủ?

Mệt mỏi không đồng nghĩa với buồn ngủ. Khi não bộ còn căng thẳng và hormone stress tăng cao, giấc ngủ dễ bị chập chờn, thậm chí biến mất hoàn toàn.

Lợi ích sức khỏe của táo đỏ

Lợi ích sức khỏe của táo đỏ

Đông y cho rằng táo đỏ có tác dụng bổ khí huyết, kiện tỳ vị, an thần nên thường cho vào các bài thuốc có tác dụng bồi bổ cơ thể.