Gãy kim khi đang tiêm filler xóa rãnh mũi má ở tiệm tóc

Đang tiêm filler xóa rãnh mũi má tại một tiệm tóc, bất ngờ kim tiêm bị gãy, phần đầu kim dài cắm sâu vào má, người phụ nữ U50 phải đến viện gấp.

Sau khi sự cố bất ngờ xảy ra, nữ bệnh nhân 45 tuổi trú ở Phú Thọ được đưa đến một số cơ sở y tế sau đó được chuyển đến một bệnh viện tại tỉnh này, hôm 23/4.
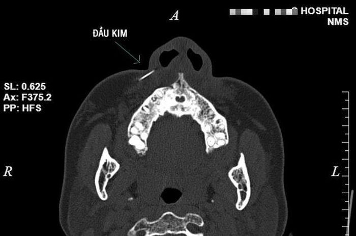
Bệnh nhân được chụp CT scanner cho kết quả hình ảnh dị vật khoảng 1 cm vị trí phần mềm cánh mũi phải. Chỉ định thủ thuật lấy dị vật được đưa ra. Bệnh nhân được về nhà trong ngày.
Gay kim khi dang tiem filler xoa ranh mui ma o tiem toc
Gay kim khi dang tiem filler xoa ranh mui ma o tiem toc-Hinh-2
Hình ảnh đầu kim được lấy ra trên thực tế và hình ảnh chụp CT. Ảnh: BVCC
Thời gian gần đây, nhiều cơ sở y tế liên tục tiếp nhận các ca tai biến sau tiêm filler (chất làm đầy), hầu hết đều thực hiện tại các cơ sở không phép.
Bên cạnh đó, người thực hiện không phải là bác sĩ có chứng chỉ hành nghề, không được đào tạo về tạo hình - thẩm mỹ hoặc da liễu, không được đào tạo bài bản về filler, các biến chứng hay cách phòng tránh biến chứng trong và sau tiêm filler.
Mới nhất, nửa đầu tháng 4, Bệnh viện Việt Đức tiếp nhận nữ bệnh nhân 47 tuổi ở Hà Nội nhập viện cấp cứu trong tình trạng hoa mắt, chóng mặt, co giật, mắt bên trái mất thị giác hoàn toàn sau khi tiêm filler nâng mũi tại cơ sở spa của người quen.
Sau 10 ngày điều trị tích cực, bệnh nhân tỉnh táo, giao tiếp được, thi thoảng có cơn đau đầu. Mắt trái từ mất thị giác hoàn toàn đã dần cảm nhận được ánh sáng khi chiếu đèn.
Tiêm filler có thể gặp các biến chứng nào?
Tiêm filler là một thủ thuật ngoại khoa, có chỉ định, chống chỉ định và có nguy cơ biến chứng nhất định.
Theo các bác sĩ, biến chứng do tiêm filler có thể chia làm 2 nhóm chính: biến chứng liên quan đến kĩ thuật tiêm hoặc biến chứng do sử dụng các chất làm đầy không được cấp phép.
Biến chứng do kĩ thuật tiêm nặng nề nhất có thể gặp phải là tiêm vào mạch máu. Tổ chức filler có thể theo mạch máu gây tắc mạch, tắc mạch não gây nhồi máu não, tắc mạch võng mạc gây mù, tắc mạch máu ở da gây hoại tử da…
Kĩ thuật tiêm không đảm bảo vô khuẩn dẫn đến nhiễm trùng tại chỗ ở vùng tiêm. Những nhiễm trùng này thường lan tỏa theo các đường chọc kim trong quá trình tiêm.
Với nhóm thứ hai là do tiêm các chất không được cấp phép. Những chất như silicon lỏng và các chất làm đầy không rõ nguồn gốc, không được xử lý tốt có thể ngấm vào mô, gây viêm tấy, kích ứng, nhiễm khuẩn, tạo viêm, xơ, loét... Tình trạng này có thể xuất hiện sớm hoặc muộn tùy từng bệnh nhân.
Cơ sở nào được tiêm filler?
Theo Tiến sĩ Phạm Thị Việt Dung, Trưởng Bộ môn Phẫu thuật tạo hình, Trường Đại học Y Hà Nội, làm đẹp nói chung và tiêm filler nói riêng là nhu cầu chính đáng.
Tuy nhiên, trước khi lựa chọn can thiệp bất cứ thủ thuật, phẫu thuật nào, người dân cần tìm hiểu can thiệp đó có thực sự phù hợp, có cần thiết, cân nhắc lợi ích hay biến chứng mà thủ thuật hay kỹ thuật đó mang lại.
Quan trọng nhất, người dân cần lựa chọn những cơ sở chuyên khoa được cấp phép, các bác sĩ có chứng chỉ hành nghề được phép tiêm filler, lựa chọn những loại filler đảm bảo chất lượng đã được cấp phép (FDA, Bộ Y tế).
Bác sĩ Dung nhấn mạnh, các cơ sở được cấp phép không thể là các SPA, chăm sóc da hay các cơ sở cắt tóc gội đầu… mà phải là các phòng khám da liễu, cơ sở phẫu thuật tạo hình thẩm mỹ. Các cơ sở phải có biển niêm yết ghi rõ là Phòng khám chuyên khoa, có niêm yết tên cũng như số giấy phép hành nghề của bác sĩ phụ trách.

Đang mang thai 6 tháng, vợ tương lai nhất quyết đứng tên sổ đỏ mới cưới

Dường như thứ tài sản đó, trong mắt vợ tương lai còn quan trọng hơn hạnh phúc gia đình.

Suốt 3 năm yêu Trâm, tôi không tiết kiệm được đồng nào, dù lương mỗi tháng 40 triệu. Để có được tình yêu của Trâm, tôi đã phải tốn rất nhiều tiền chi cho việc mua quần áo, trang sức và những chuyến du lịch của cô ấy.

Khi mẹ tôi biết được chuyện này, bà rất buồn và không ưng Trâm. Bố mẹ tôi đã đến tận nhà cô ấy để khuyên Trâm rời xa tôi ra. Thế nhưng sự ngăn cản của gia đình càng làm chúng tôi yêu nhau hơn.

Đến khi thai được 6 tháng, chúng tôi mới báo tin cho bố mẹ hai bên biết. Lúc này, bố mẹ tôi không thể bỏ cháu được nên đành chấp nhận chuyện cưới xin của hai đứa.

Dang mang thai 6 thang, vo tuong lai nhat quyet dung ten so do moi cuoi
Ảnh minh họa 

Nghẹt thở cuộc "chạy đua" cứu cô gái mù mắt sau tiêm filler

Các bác sĩ Bệnh viện Hữu nghị Việt Đức vừa cứu thành công một trường hợp mù mắt ngay sau tiêm filler tại spa. Sự hồi phục được coi là kỳ diệu, bởi đa số các ca tương tự đều sẽ mù vĩnh viễn.

Nghe bạn bè giới thiệu một spa có chương trình giảm giá dịch vụ tiêm filler nâng mũi, chị Nguyễn Thị Mai* (27 tuổi, Thái Nguyên) quyết định đăng ký để làm đẹp.

Chị chia sẻ, spa này nằm gần trường Đại học Sư phạm Thái Nguyên. Nhân viên tư vấn cho biết, dịch vụ tiêm filler nâng mũi có giá từ 2-3 triệu đồng, tuy nhiên cơ sở đang giảm giá chỉ còn 1 triệu đồng.

Ăn 5 loại thực phẩm này mùa hè, gan cảm ơn bạn cả đời

Dưới đây là các loại thực phẩm mùa hè mà bạn nên thêm vào chế độ ăn hàng ngày để giúp làm sạch gan một cách tự nhiên và giữ cho gan khỏe mạnh.

Các chuyên gia y tế khuyên bạn nên đặc biệt chăm sóc sức khỏe lá gan để tránh sự gia tăng hàm lượng chất béo trong gan dẫn đến các vấn đề sức khỏe bao gồm viêm gan, xơ gan, sỏi mật,…

An 5 loai thuc pham nay mua he, gan cam on ban ca doi
 Ảnh: istockphoto.com

Đọc nhiều nhất

Tin mới

Top thực phẩm tốt cho tuyến giáp

Top thực phẩm tốt cho tuyến giáp

Bổ sung hạt điều, hạt bí, trái cây tươi và cá biển để duy trì sức khỏe tuyến giáp, giảm nguy cơ viêm nhiễm và cân bằng hormone tự nhiên.