Đột quỵ ở độ cao gần 1000 m, cụ ông 74 tuổi may mắn được cứu sống

Nhờ hành động nhanh chóng của người thân và sự can thiệp kịp thời của các y bác sĩ, bệnh nhân đã được cứu sống ngoạn mục.

Đột quỵ giữa lưng chừng núi, cuộc vui hóa cuộc chạy đua sinh tử

Một chuyến du ngoạn tưởng chừng trọn vẹn đã bất ngờ rẽ sang hướng khác khi cụ ông 74 tuổi bị đột quỵ ở độ cao gần 1000 m.

Từ Bình Định vào TP HCM để thăm con, gia đình ông T.L (74 tuổi) đã lên kế hoạch và khởi hành đến tham quan núi Bà Đen ở Tây Ninh.

dot-quy-do-cao.jpg
Kiểm tra chức năng vận động của bệnh nhân sau can thiệp - Ảnh BVCC

Cứ ngỡ sẽ có một buổi đi chơi trọn vẹn cùng con cháu, thế nhưng niềm vui bỗng chốc biến thành nỗi lo lắng khi đang ở độ cao 986m, ông T.L đột ngột yếu liệt 1/2 người bên trái kèm méo miệng, nói đớ.

Nhận thấy được điều bất thường, gia đình nhanh chóng đưa ông xuống núi bằng cáp treo và cấp tốc chuyển đến cấp cứu tại Bệnh viện Đa khoa Xuyên Á TP HCM.

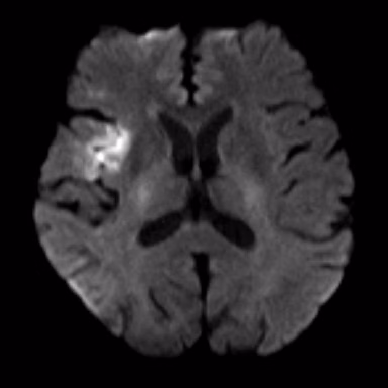
dot-quy-do-cao-1.jpg
dot-quy-do-cao-2.jpg
Hình MRI bệnh nhân T.L bị đột quỵ - Ảnh BVCC

“Báo động đỏ” được kích hoạt, cuộc chiến giành lại từng phút cho não bộ

Tại đây, ngay khi xác định được dấu hiệu đột quỵ, quy trình “báo động đỏ” lập tức được kích hoạt, quy tụ đội ngũ bác sĩ các chuyên khoa Cấp cứu, Nội thần kinh, Chẩn đoán hình ảnh. Trước đây, bệnh nhân có tiền sử tăng huyết áp và bệnh phổi tắc nghẽn mãn tính (COPD) nhưng không điều trị. Kết quả trên phim MRI cho thấy bệnh nhân bị đột quỵ nhồi máu não.

Tuy nhiên, do quãng đường di chuyển khá xa, khi đến bệnh viện đã quá “giờ vàng” sử dụng thuốc tiêu sợi huyết – một loại thuốc tiêm đường tĩnh mạch làm tan cục máu đông gây tắc nghẽn.

dot-quy-cao-3.jpg
Hình DSA cho thấy hẹp nặng đoạn gốc động mạch cảnh trong ngoài sọ trước can thiệp của bệnh nhân đột quỵ.

Trước tình thế nguy cấp, từng giây phút đều quý giá để bảo vệ các tế bào não và tính mạng cho bệnh nhân, bác sĩ khoa Sọ não cột sống 2 cũng được huy động kịp thời.

Song song đó, kết quả chụp CTA ghi nhận ông bị tắc động mạch não giữa M1 bên phải – một động mạch lớn, và hẹp nặng động mạch cảnh trong bên phải đoạn gốc.

dot-quy-cao-4.jpg
Hình DSA tái thông hoàn toàn động mạch não giữa sau can thiệp của bệnh nhân đột quỵ - Ảnh BVCC

Ngay sau chẩn đoán và giải thích với sự đồng thuận của người nhà, bệnh nhân được chỉ định can thiệp mạch lấy huyết khối bằng dụng cụ.

Ca can thiệp đã diễn ra thành công dưới sự thực hiện của BS Lục Đình Phương, Khoa Sọ não cột sống 2, bác sĩ đã tiến hành tái thông động mạch não giữa và nong bóng đoạn hẹp động mạch cảnh trong bên phải cho bệnh nhân bằng phương pháp gây tê.

Sau can thiệp, các động mạch đã được tái thông, bệnh nhân hoàn toàn tỉnh táo, sức cơ cải thiện rõ rệt và được tiếp tục chuyển lên khoa Nội thần kinh để tiếp tục theo dõi và điều trị theo phác đồ nội khoa.

dot-quy-cao-5.jpg
Hình DSA tái thông hoàn toàn động mạch não giữa sau can thiệp của bệnh nhân đột quỵ - Ảnh BVCC

Theo BS.CKI Nguyễn Văn Nhản, Khoa Nội thần kinh chia sẻ: “3 ngày sau ca can thiệp, sức cơ tay chân của bệnh nhân đã đạt 5/5, có thể tự đi lại, vệ sinh cá nhân mà không cần sự hỗ trợ của người nhà.

Hướng điều trị tiếp theo là duy trì sử dụng thuốc kháng kết tập tiểu cầu lâu dài, kiểm soát huyết áp, mỡ máu và thay đổi lối sống lành mạnh hơn để hạn chế tình trạng tái phát đột quỵ”.

Đột quỵ không chừa ai, hãy hành động kịp thời

Thông qua trường hợp này, bác sĩ Nhản cũng khuyến cáo người dân:

“Việc nhận biết sớm dấu hiệu đột quỵ và đưa người bệnh đến bệnh viện có khả năng điều trị, cấp cứu đột quỵ càng sớm càng tốt sẽ quyết định khả năng sống còn và phục hồi sau này”.

Các dấu hiệu nhận biết đột quỵ theo quy tắc FAST:

F (Face – Khuôn mặt): Méo miệng, lệch mặt

A (Arms – Cánh tay): Yếu liệt tay, chân

S (Speech – Lời nói): Nói khó

Nếu có dấu hiệu nghi ngờ, hãy gọi cấp cứu ngay hoặc đến cơ sở y tế gần nhất có đầy đủ phương tiện cấp cấp cứu đột quỵ (tiêu sợi huyết, can thiệp mạch máu não).

T (Time – Thời gian): Đưa bệnh nhân đến bệnh viện gần nhất

Ngư dân đột quỵ não trên vùng biển Trường Sa may mắn được cứu sống

Một ngư dân ở Quảng Ngãi bị đột quỵ não, liệt nửa người khi khai thác hải sản trên vùng biển Trường Sa và được quân y đảo Trường Sa kịp thời cứu sống.

Theo Báo và Đài Phát thanh, Truyền hình Quảng Ngãi, ngày 25/8, trong quá trình khai thác hải sản trên vùng biển Trường Sa, ngư dân Nguyễn Văn Lai (sinh năm 1969, quê quán xã Bình Sơn, tỉnh Quảng Ngãi, thuyền viên tàu cá QNg 90640 TS) bất ngờ xuất hiện triệu chứng mệt, tê bì và yếu nửa người bên phải, khó nói, đau đầu.

Khoảng 11h cùng ngày, bệnh nhân được đưa vào bệnh xá đảo Trường Sa cấp cứu. Qua thăm khám và chẩn đoán, bác sĩ xác định bệnh nhân bị đột quỵ não, liệt nửa người phải do nhồi máu não giờ thứ 11, cần theo dõi chặt chẽ, phân biệt với xuất huyết não.

Bệnh tim mạch ngày càng trẻ hóa, nhận biết thế nào?

Bệnh tim mạch ngày càng trẻ hóa, có thể gây nhồi máu cơ tim, đột quỵ sớm nếu không được phát hiện kịp thời.

Không ít bạn trẻ nghĩ rằng tim mạch chỉ đáng lo khi về già, nhưng thực tế, nhiều trường hợp nhồi máu cơ tim, đột quỵ ở tuổi dưới 40 đã được ghi nhận. Vậy đâu là những dấu hiệu sớm để người trẻ có thể nhận biết và bảo vệ trái tim của mình trước khi quá muộn?

z6938723868594-f27076e4c060b5d15b974b60c2ed11bc.jpg
Ảnh minh họa/ Nguồn internet

Đột quỵ, nhồi máu cơ tim rình rập nam giới sau 35 tuổi

Nam giới sau 35 tuổi dễ gặp các vấn đề về tim mạch và huyết áp do thay đổi sinh lý, lối sống. Phát hiện sớm sẽ giúp phòng ngừa biến chứng nguy hiểm.

Sau tuổi 35, sức khỏe nam giới bắt đầu bước vào giai đoạn suy giảm, đặc biệt là hệ tim mạch. Đây là thời điểm các bệnh lý về huyết áp và tim mạch dễ khởi phát, thậm chí tiến triển âm thầm mà không có dấu hiệu rõ ràng. Nếu không phát hiện và kiểm soát kịp thời, bệnh có thể để lại hậu quả nặng nề.

z6938723902380-710ef0c2c3f30a35490575c05b1e5822.jpg
Ảnh minh họa/ Nguồn internet

Đọc nhiều nhất

Vì sao nọng heo được ưa chuộng?

Vì sao nọng heo được ưa chuộng?

Nọng heo được ưa chuộng vì sự kết hợp độc đáo giữa vị ngọt của thịt nạc và béo ngậy của mỡ, tạo nên hương vị mềm mọng, giòn sật đặc trưng.

Tin mới

Vì sao nọng heo được ưa chuộng?

Vì sao nọng heo được ưa chuộng?

Nọng heo được ưa chuộng vì sự kết hợp độc đáo giữa vị ngọt của thịt nạc và béo ngậy của mỡ, tạo nên hương vị mềm mọng, giòn sật đặc trưng.