Đau ngực dữ dội, thanh niên vội đến bác sĩ và phát hiện gây sốc sau đêm say xỉn

Một thanh niên Trung Quốc phải cầu cứu bác sĩ sau khi bị đau ngực dữ dội và sốc khi biết mình nuốt phải chìa khóa nhà trong bữa nhậu với bạn tối hôm trước.

Ngày 7/6, thanh niên họ Chang, 26 tuổi, ở Quảng Đông, Trung Quốc, đi uống rượu với bạn bè nhân kết thúc một tuần làm việc dài. Khi về nhà vào lúc nửa đêm, Chang tìm chìa khóa nhưng không thấy nên đã gọi người mở cửa. Vì say rượu nên anh ta không nghĩ tới chuyện bị mất chìa khóa và đi thẳng vào giường. Sáng hôm sau, khi tỉnh, Chang bắt đầu cảm thấy đau ngực dữ dội nên tới Bệnh viện Đông Quan để kiểm tra.
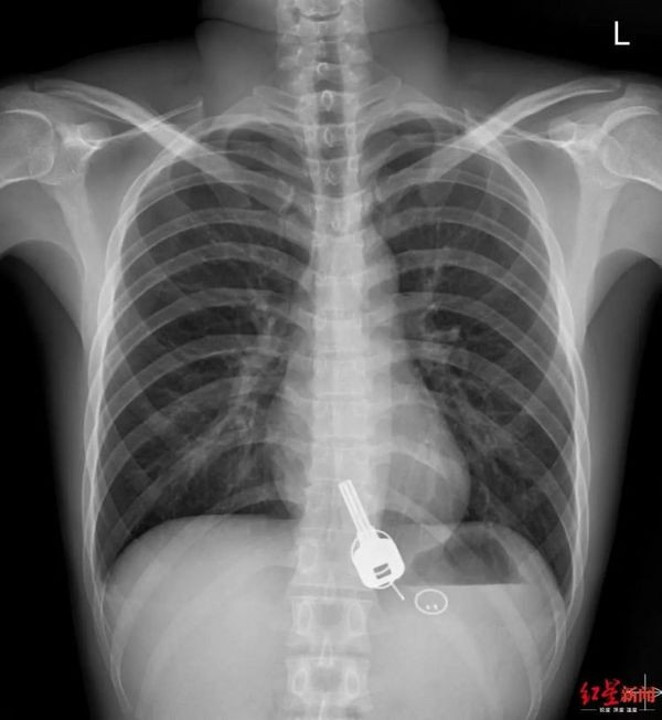
Khi chụp X-quang cho Chang, bác sĩ sốc khi thấy một vật trong giống chiếc chìa khóa trong thực quản của nam thanh niên. Khi hỏi Chang, anh này thừa nhận làm mất chìa khóa nhà vào đêm hôm trước nhưng không thể giải thích vì sao vật này lại ở bên trong cơ thể mình.
Dau nguc du doi, thanh nien voi den bac si va phat hien gay soc sau dem say xin
Chiếc chìa khóa nằm trong cơ thể của bệnh nhân Chang theo ảnh chụp X- quang. Ảnh: Sohu. 
Theo tờ Sohu, Chang vô cùng bất ngờ trước sự việc. Nhân viên tại Bệnh viện Đông Quan đã phân tích tình hình và quyết định can thiệp bằng thủ thuật để đưa chìa khóa ra khỏi hệ thống tiêu hóa của Chang bởi nếu để vật này “chui khỏi” cơ thể bệnh nhân một cách tự nhiên sẽ đem lại rủi ro vì vật cứng có thể làm rách ruột hoặc gây tắc nghẽn đường ruột, đe dọa đến tính mạng. Còn trong trường hợp cố đưa chìa khóa ra khỏi cơ thể bằng thiết bị nội soi có thể làm vỡ thực quản của bệnh nhân. Lựa chọn thứ ba là phẫu thuật khẩn cấp.
Bác sĩ Zhang Yuyu phụ trách ca của Chang nói với phóng viên rằng ban đầu họ thử lấy chìa khóa bằng máy nội soi dạ dày nhưng có một rắc rối khi vật thể không lọt qua phần hẹp nhất ở thực quản của bệnh nhân. Chìa khóa có kích thước lớn và việc kéo mạnh có thể làm rách thực quản, gây ra hậu quả khó lường. Do đó, bác sĩ đã dừng phương án này.
Trường hợp của Chang xảy ra vào đúng ngày nghỉ nhưng may mắn là một bác sĩ gây mê và Phó giám đốc bệnh viện phụ trách khoa tiêu hóa vẫn sẵn sàng làm việc để giúp lấy chìa khóa ra khỏi cơ thể bệnh nhân.
Dau nguc du doi, thanh nien voi den bac si va phat hien gay soc sau dem say xin-Hinh-2
Chiếc chìa khóa được lấy ra thành công. Ảnh: Sohu. 
Sau khi gây mê, các bác sĩ tiêm thuốc giãn cơ bắp cho Chang và sau đó bác sĩ tiêu hóa có thể đưa chìa khóa và móc khóa bằng nhựa ra khỏi thực quản của bệnh nhân.
Chiếc chìa khóa cuối cùng đã được lấy ra khỏi cơ thể Chang một cách thành công nhưng làm thế nào mà anh này lại nuốt chìa khóa vào bụng vẫn là bí ẩn vì anh chàng nói không nhớ bất cứ chuyện gì đã xảy ra vào đêm say rượu.

Lấy kim khâu nằm trong tim bé trai hơn 2 tháng

Cây kim khâu đâm xuyên vào tim bệnh nhi 13 tuổi khiến em đau thắt ngực, khó thở đến ngất xỉu.

Sáng 26/6, các bác sĩ Bệnh viện Nhi Đồng 1 TP. HCM, cho biết vừa mổ lấy cây kim khâu trong tim của bệnh nhi 13 tuổi, quê Bình Phước.

Cứu sống thần kỳ bệnh nhân bị vỡ tim ở vị trí hiểm

Sau cú va chạm với xe tải, nam thanh niên bị vỡ tim, máu phun xối xả, được chuyển vào BV cấp cứu trong tình trạng hết sức nguy kịch.

Vào khoảng 2h sáng nay, trên đường ra sân bay Nội Bài, nam thanh niên 30 tuổi ở Hoàng Mai, Hà Nội va chạm với xe tải phía trước, gây vỡ túi khí trong xe.

Cứu bệnh nhân nhồi máu cơ tim thủng vách liên thất nặng

(Kiến Thức) - Bệnh viện E đã cứu sống được bệnh nhân bị suy tim nặng, thủng vách liên thất (TVLT) kích thước lớn, rối loạn nhịp thất... do nhồi máu cơ tim.

Chỉ nằm để thở cũng không xong

Đọc nhiều nhất

Tin mới