Đa số trường hợp nuốt phải xương cá, dị vật thường được đào thải tự nhiên, nhưng những mảnh xương cá hình dạng dị thường, có thể cắm vào thành ruột non.
Trung tâm Y tế Nam Đàn (Nghệ An) vừa tiếp nhận và xử trí kịp thời cho một bệnh nhân 70 tuổi (trú xã Đại Huệ, Nghệ An) nuốt phải nắp chai khi uống nước.
Pin sử dụng cho các loại đồ chơi trẻ em chủ yếu là loại pin có hình dạng tròn dẹt có kích từ 10-20mm. Với kích thước như vậy trẻ khi cầm chơi viên pin cũng rất dễ dàng nuốt và viên pin có thể mắc lại tại thực quản.
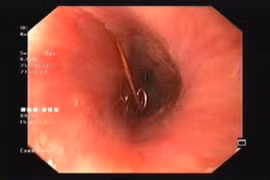
Các bác sĩ Bệnh viện Hữu nghị Việt Nam - Cuba Đồng Hới đã phối kết hợp, thực hiện thành công nội soi phế quản cấp cứu lấy dị vật dưới gây mê cho bệnh nhân 9 tuổi nuốt phải xương cá khi ăn cháo.
Dị vật đường tiêu hoá nếu không được phát hiện sớm và điều trị sẽ gây ra các nguy cơ chảy máu, thủng ruột, tắc ruột, áp xe ổ bụng, nghiêm trọng hơn có thể gây nhiễm khuẩn huyết nguy hiểm đến tính mạng.
Vừa qua, Bệnh viện Sản Nhi tỉnh Quảng Ninh tiếp nhận bệnh nhi L.M.K 21 tháng tuổi, (thị xã Quảng Yên), nhập viện trong tình trạng tỉnh, ho sặc sụa, ho có đờm, thở khò khè.