Bệnh nhân Lê T.T. (44 tuổi, Gia Lâm, Hà Nội) đến BV đa khoa Đức Giang khám do đột ngột đau đầu, nói ngọng. Bệnh nhân đã được các bác sĩ thăm khám, chụp CT sọ não, phát hiện trong não có khối máu tụ.
Tuy nhiên sau nhập viện, tình trạng bệnh nhân xấu đi rất nhanh, rơi vào trạng thái hôn mê kèm liệt nửa người trái. Kết quả chụp CT sọ não lần 2 cho thấy khối máu tụ trong não đã lan rộng, kích thước gấp 3-4 lần so với ban đầu, gây chèn ép các tổ chức xung quanh, sức khoẻ nguy kịch.
Ngay lập tức, BV tổ chức hội chẩn liên khoa, chỉ định mở hộp sọ, giải phép chèn ép não cho bệnh nhân, lấy máu tụ và cầm máu.
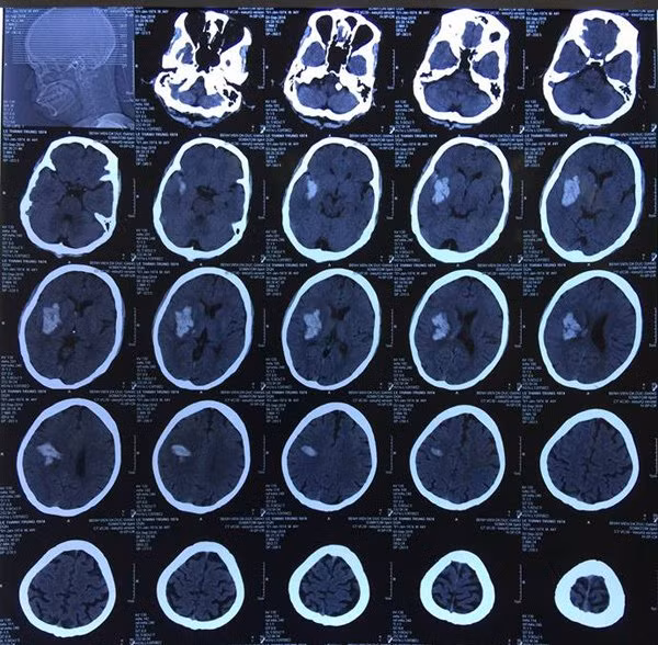
![]() |
| Hình ảnh khối máu tụ trong não bệnh nhân |
BS Trần Minh Tân, người trực tiếp phẫu thuật cho bệnh nhân cho biết, ca mổ kéo dài 3 giờ căng thẳng. Bác sĩ thực hiện mở 1 miếng xương rộng ở bán cầu não, tương ứng vùng chảy máu não, đồng thờ mở nhu mô não lấy ra được nhiều máu tụ và tìm được vị trí chảy máu để cầm máu.
Mảnh xương cắt rời khỏi hộp sọ bệnh nhân đã được nuôi dưỡng ở trung tâm bảo quản mô, khi bệnh nhân hồi phục sẽ tiến hành mổ lần 2 để ghép lại.
Theo BS Tân, đây là cuộc mổ lớn rất nhiều nguy cơ, nếu không kịp thời phẫu thuật mở sọ giải áp và lấy bỏ khối máu tụ, bệnh nhân sẽ khó giữ được tính mạng. Chưa kể, bệnh nhân có tiền sử nghiện rượu, gan đã có dấu hiệu bị xơ, xét nghiệm trước mổ cho thấy tiểu cầu xuống thấp, còn 80, trong khi người bình thường từ 150-450, nên khó đông máu, dễ xảy ra chảy máu không kiểm soát được trong và sau khi phẫu thuật.
Chính vì vậy, song song với việc phẫu thuật, bác sĩ phải truyền tiểu cầu và truyền máu cho bệnh nhân.
Sau mổ 1 tuần, bệnh nhân cai được máy thở, tri giác tỉnh táo, nhận biết được người thân, sau 10 ngày, anh T. đã có thể ăn dù còn yếu. Và đến nay, sau gần 1 tháng phẫu thuật, bệnh nhân hồi phục tốt, chờ phẫu thuật lần 2.

