Bơm xi măng sinh học cho cụ bà 98 tuổi bị xẹp đốt sống tránh bị liệt

Bệnh viện Đồng Nai 2 vừa can thiệp bơm xi măng sinh học điều trị xẹp đốt sống D12 cho cụ bà 98 tuổi, tránh nguy cơ tàn phế.

Các bác sĩ Bệnh viện Đồng Nai -2 (phường Tam Hiệp, tỉnh Đồng Nai) vừa thực hiện bơm xi măng sinh học cho cụ bà 98 tuổi bị xẹp đốt sống, không đi lại được.

Cụ bà 98 tuổi nhập viện trong tình trạng đau lưng dữ dội, gần như không thể tự ngồi dậy hay đi lại. Cơn đau kéo dài khiến cụ mất ngủ nhiều ngày và phụ thuộc hoàn toàn vào sự chăm sóc của gia đình. Các điều trị nội khoa trước đó không mang lại hiệu quả.

1-984.jpg
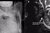
Bơm xi măng sinh học vào cột sống đảm bảo độ vững chắc cho đốt sống. Ảnh BV

Kết quả thăm khám và chẩn đoán hình ảnh cho thấy cụ bị xẹp đốt sống D12 trên nền loãng xương nặng. Đây là bệnh lý phổ biến ở người cao tuổi, đặc biệt là phụ nữ sau mãn kinh; nếu không can thiệp sớm có thể gây biến dạng cột sống, suy giảm vận động và thậm chí tàn phế.

Sau hội chẩn, ê-kíp do BS.CKII Trịnh Văn Phương, Đơn vị Ngoại thần kinh, thực hiện bơm xi măng sinh học (vertebroplasty) để cố định thân đốt sống và giảm đau. Ca can thiệp diễn ra khoảng 30 phút, dưới gây tê tại chỗ. Xi măng sinh học được đưa vào thân đốt sống qua kim dẫn chuyên dụng, giúp tăng độ vững cột sống và giảm áp lực lên cấu trúc thần kinh.

Sau phẫu thuật, cụ bà giảm đau rõ rệt, có thể ngồi dậy và vận động sớm, đồng thời hạn chế phải dùng thuốc giảm đau liều mạnh vốn dễ gây tác dụng phụ ở người cao tuổi.

Bác sĩ Phương cho biết, bơm xi măng sinh học là kỹ thuật ít xâm lấn, mang lại hiệu quả phục hồi nhanh, rất phù hợp với bệnh nhân lớn tuổi hoặc có bệnh nền phức tạp. Phương pháp được khuyến nghị trong các trường hợp xẹp đốt sống do loãng xương gây đau nhiều, không đáp ứng điều trị nội khoa và không có chèn ép tủy nặng.

Tuổi tác là nguyên nhân chính của tình trạng loãng xương và đây là nguyên nhân hàng đầu gây ra tình trạng xẹp đốt sống. Khi xương trở nên xốp, mềm theo thời gian, các đốt sống không còn đủ cứng để hỗ trợ cột sống trong các hoạt động hàng ngày.

Để phòng tránh xẹp cột sống, bác sĩ khuyến cáo, người cao tuổi nên tầm soát loãng xương định kỳ, ăn uống cân đối và đầy đủ các chất dinh dưỡng, tập trung vào chế độ dinh dưỡng giàu canxi, vitamin D và vận động hợp lý, nhẹ nhàng. Các biện pháp khác bao gồm tránh các thói quen xấu như hút thuốc, uống rượu bia và tránh các chất kích thích, hạn chế nâng vác vật nặng... Khi phát hiện các triệu chứng bất thường của đốt sống, người bệnh nên đến các cơ sở y tế chuyên khoa, uy tín, càng sớm càng tốt để đảm bảo hiệu quả điều trị, tiết kiệm chi phí và tránh gặp biến chứng nguy hiểm.

Tầm quan trọng của tập vận động đối với bệnh viêm cột sống dính khớp

Việc tập luyện không chỉ giúp người bệnh giảm triệu chứng đau mà còn giúp cải thiện tư thế, tăng cường sức khoẻ của tim mạch, phổi và hệ tiêu hoá.

Viêm cột sống dính khớp là bệnh viêm hệ thống mạn tính với tổn thương nổi bật ở khớp cùng chậu, cột sống, các khớp trục và kèm theo có thể có tổn thương ở khớp ngoại vi và toàn thân. Việc tập luyện không chỉ giúp người bệnh giảm triệu chứng đau mà còn giúp cải thiện tư thế và tăng cường sức khoẻ của tim mạch, phổi và hệ tiêu hoá.

Về lâu dài tập luyện sẽ giúp cho hệ xương cột sống của người bệnh viêm cột sống dính khớp được dẻo dai và linh hoạt hơn, hạn chế các biến chứng cứng và dính cột sống do bệnh viêm cột sống gây ra.

Người phụ nữ 48 tuổi tái phát khối u cột sống hiếm gặp

Sau 13 năm tưởng chừng bình yên, người phụ nữ 48 tuổi tái phát khối u cột sống hiếm gặp, được xác định là ung thư ác tính thần kinh ngoại biên.

Bệnh viện Nhân dân 115 (TP Hồ Chí Minh) vừa phẫu thuật thành công cho bệnh nhân nữ 48 tuổi bất ngờ tái phát khối u ác tính vùng cột sống thắt lưng.

13 năm trước, nữ bệnh nhân từng được mổ lấy u sợi thần kinh lành tính (Schwannoma) tại vị trí L5–S1. Gần đây, chị xuất hiện đau lưng dữ dội, tê yếu chân trái, đặc biệt khi vận động. Bệnh nhân đến Bệnh viện Nhân dân 115 để điều trị.

Hiếm gặp: Rò động tĩnh mạch cột sống liệt tứ chi trên nền gù vẹo nặng

Bệnh viện Đa khoa Quốc tế S.I.S Cần Thơ vừa can thiệp mạch hiếm gặp cứu sống người đàn ông gù vẹo cột sống 30 năm, liệt tứ chi do rò động tĩnh mạch cột sống.

Rò động tĩnh mạch cột sống

Anh V.V.N. (38 tuổi, ngụ An Giang) mang dị tật gù vẹo cột sống bẩm sinh, kèm u sợi thần kinh. Hai tháng trước khi nhập viện tại Bệnh viện Đa khoa Quốc tế S.I.S Cần Thơ, anh N. bắt đầu xuất hiện đau cổ, tê yếu tay chân, khó vận động, tiến triển nhanh đến liệt gần như hoàn toàn tứ chi.

Đọc nhiều nhất

Lợi ích sức khỏe của táo đỏ

Lợi ích sức khỏe của táo đỏ

Đông y cho rằng táo đỏ có tác dụng bổ khí huyết, kiện tỳ vị, an thần nên thường cho vào các bài thuốc có tác dụng bồi bổ cơ thể.

Tin mới

Lợi ích sức khỏe của táo đỏ

Lợi ích sức khỏe của táo đỏ

Đông y cho rằng táo đỏ có tác dụng bổ khí huyết, kiện tỳ vị, an thần nên thường cho vào các bài thuốc có tác dụng bồi bổ cơ thể.