![]() |
| Ảnh minh họa. |
Trước đó lý giải về nguyên nhân hàng loạt trường hợp trẻ tử vong sau tiêm vắc-xin, đại diện ngành y tế đã đưa ra nhiều dẫn chứng, lập luận để khẳng định vắc-xin quinvaxem 5 trong 1 vô can và an toàn.
![]() |
| Ảnh minh họa. |
Trước đó lý giải về nguyên nhân hàng loạt trường hợp trẻ tử vong sau tiêm vắc-xin, đại diện ngành y tế đã đưa ra nhiều dẫn chứng, lập luận để khẳng định vắc-xin quinvaxem 5 trong 1 vô can và an toàn.
![]() |
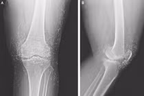
| Người phụ nữ Hàn Quốc, 65 tuổi, đã có hàng trăm kim châm cứu nhỏ trong mô đầu gối. Người ta cho rằng chúng được cố ý bỏ lại bởi chuyên gia châm cứu đang điều trị viêm xương khớp cho bà. |
| Ảnh minh họa. |
Vụ cháy tàu nếu có vi phạm kỹ thuật có thể phát sinh trách nhiệm hành chính hoặc hình sự, luật sư Chu Quỳnh Vương (Đoàn Luật sư TP Hà Nội) khẳng định.
UBND TP Huế chỉ đạo kiểm tra clip tài xế tố quán bún bò “đuổi khách” lan truyền trên mạng. Nếu có sai phạm sẽ xử lý, ngược lại sẽ xử lý người đăng tin sai.
Hai gói thầu hạ tầng giao thông có tổng giá trị gần 9 tỷ đồng tại phường An Tịnh, Tây Ninh vừa công bố kết quả lựa chọn nhà thầu. Đáng chú ý, cả hai gói thầu này đều về tay một nhà thầu duy nhất tham dự với tỷ lệ tiết kiệm cho ngân sách nhà nước ở mức dưới 2%.
Công ty Bình Hưng "một mình một ngựa" trúng gói thầu hơn 12 tỷ đồng tại Trung tâm Quản lý Giao thông và Hạ tầng kỹ thuật TP.HCM với tỷ lệ tiết kiệm đạt 1,37%
Vượt qua đối thủ giá thấp, Công ty phần mềm Quang Trung trúng gói tại gói thầu công nghệ tại xã Châu Pha trị giá 3,234 tỷ, tiết kiệm ngân sách 30 triệu đồng
Theo biên bản mở thầu ngày 27/02/2026 gói thầu xây lắp dự án Trường tiểu học Trương Văn Ba do Phòng Kinh tế xã An Bình làm chủ đầu tư, ghi nhận sự tham gia của ba nhà thầu
Sự đồng hành xuyên suốt của Công ty TNHH Một thành viên Lộc Phú Trung trong vai trò tư vấn mời thầu tại các gói thầu của Công ty TNHH Một thành viên Hưởng Phúc đặt ra câu hỏi về tính khách quan.
Phòng Kinh tế xã Nhu Gia vừa hoàn thành mở thầu gói xây lắp đường Khu 2, theo biên bản mở thầu ghi nhận sự xuất hiện của 2 nhà thầu tham dự Công ty Thuận Đức Phát và Công ty Tấn Phượng
Phân tích dữ liệu lịch sử đấu thầu của Công ty TNHH Xây dựng Lê Nguyên lộ diện danh sách các nhà thầu đối thủ nhưng thường xuyên đóng vai trò “lót đường”.
Với quy mô của một doanh nghiệp nhỏ, việc trúng liên tiếp nhiều gói thầu trong thời gian ngắn khiến dư luận đặt câu hỏi về năng lực thực tế của Công ty TNHH Khâm Đức.
Phân tích dữ liệu lịch sử đấu thầu của Công ty TNHH Xây dựng Lê Nguyên lộ diện danh sách các nhà thầu đối thủ nhưng thường xuyên đóng vai trò “lót đường”.
Hai gói thầu hạ tầng giao thông có tổng giá trị gần 9 tỷ đồng tại phường An Tịnh, Tây Ninh vừa công bố kết quả lựa chọn nhà thầu. Đáng chú ý, cả hai gói thầu này đều về tay một nhà thầu duy nhất tham dự với tỷ lệ tiết kiệm cho ngân sách nhà nước ở mức dưới 2%.
Với quy mô của một doanh nghiệp nhỏ, việc trúng liên tiếp nhiều gói thầu trong thời gian ngắn khiến dư luận đặt câu hỏi về năng lực thực tế của Công ty TNHH Khâm Đức.
Sự đồng hành xuyên suốt của Công ty TNHH Một thành viên Lộc Phú Trung trong vai trò tư vấn mời thầu tại các gói thầu của Công ty TNHH Một thành viên Hưởng Phúc đặt ra câu hỏi về tính khách quan.
Gói thầu thi công lộ khu dân cư An Lạc (Cần Thơ) đã xác định được đơn vị trúng thầu là Công ty Miền Biển với giá trúng hơn 6,7 tỷ sau khi vượt qua 4 đối thủ
Công ty Bình Hưng "một mình một ngựa" trúng gói thầu hơn 12 tỷ đồng tại Trung tâm Quản lý Giao thông và Hạ tầng kỹ thuật TP.HCM với tỷ lệ tiết kiệm đạt 1,37%
Theo biên bản mở thầu ngày 27/02/2026 gói thầu xây lắp dự án Trường tiểu học Trương Văn Ba do Phòng Kinh tế xã An Bình làm chủ đầu tư, ghi nhận sự tham gia của ba nhà thầu
UBND TP Huế chỉ đạo kiểm tra clip tài xế tố quán bún bò “đuổi khách” lan truyền trên mạng. Nếu có sai phạm sẽ xử lý, ngược lại sẽ xử lý người đăng tin sai.
Phòng Kinh tế xã Nhu Gia vừa hoàn thành mở thầu gói xây lắp đường Khu 2, theo biên bản mở thầu ghi nhận sự xuất hiện của 2 nhà thầu tham dự Công ty Thuận Đức Phát và Công ty Tấn Phượng
Vượt qua đối thủ giá thấp, Công ty phần mềm Quang Trung trúng gói tại gói thầu công nghệ tại xã Châu Pha trị giá 3,234 tỷ, tiết kiệm ngân sách 30 triệu đồng
Phân tích từ hồ sơ cho thấy, hàng loạt gói thầu mà Công ty Công nghệ mạng và Truyền thông Sài Gòn vừa trúng có tỷ lệ tiết kiệm cho ngân sách dưới 1,5%.
Vụ cháy tàu nếu có vi phạm kỹ thuật có thể phát sinh trách nhiệm hành chính hoặc hình sự, luật sư Chu Quỳnh Vương (Đoàn Luật sư TP Hà Nội) khẳng định.
Tàu Signature Royal QN-7269 đang hoạt động hợp pháp, đã được cấp phép rời bến, bất ngờ xảy ra cháy giữa hành trình khiến dư luận đặt ra vấn đề về quy trình vận hành.
Lễ hội mùa xuân Bính Ngọ 2026 ghi nhận nhiều kỷ lục về lượng khách hành hương, tham quan, chiêm bái, trải nghiệm.
Gói thầu nâng cấp, mở rộng đường Cơ Nhì do Phòng Kinh tế, Hạ tầng và Đô thị phường Vĩnh Phước làm chủ đầu tư vừa hoàn thành mở thầu, theo biên bản mở thầu ghi nhận sự tham dự của 2 nhà thầu
Phòng Kinh tế xã Tân Hòa vừa hoàn thành mở thầu gói thầu thi công xây dựng đường ĐH.808 (Giai đoạn 2). Với giá dự toán hơn 4,9 tỷ đồng, gói thầu đã thu hút 4 nhà thầu tham gia
Vượt qua đối thủ duy nhất tại vòng đánh giá tính hợp lệ, Công ty Xây dựng Sông Hồng đã trúng gói thầu chỉnh trang phòng học với tỷ lệ tiết kiệm ngân sách khoảng 0,25%
Chuỗi trúng thầu của Công ty TNHH Sản xuất Thương mại Minh Tường Phát với tỷ lệ tiết kiệm "khiêm tốn" đang đặt ra yêu cầu bức thiết về việc nâng cao hiệu quả sử dụng ngân sách.
Công ty Quang Hưng vừa được công bố trúng Gói thầu mua sắm thiết bị CNTT tại TP HCM, tỷ lệ tiết kiệm nhỏ giọt, đặt ra dấu hỏi về tính hiệu quả kinh tế trong sử dụng ngân sách
Dữ liệu đấu thầu cho thấy Công ty TNHH Xây dựng Lê Nguyên trúng thầu với tỷ lệ tiết kiệm trung bình chỉ ở mức 1.89%, thậm chí có những gói thầu tỷ lệ tiết kiệm là 0 đồng.