|
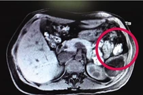
| Bác sĩ Nguyễn Hữu Chí - Trưởng khoa chẩn đoán hình ảnh, Bệnh viện Nhi đồng 1 (TP.HCM) kiểm tra lại lá lách của bé trai T.G.B. (3,5 tuổi, ngụ quận 8, TP.HCM) - Ảnh: H.Q |
|
| Bác sĩ Nguyễn Hữu Chí - Trưởng khoa chẩn đoán hình ảnh, Bệnh viện Nhi đồng 1 (TP.HCM) kiểm tra lại lá lách của bé trai T.G.B. (3,5 tuổi, ngụ quận 8, TP.HCM) - Ảnh: H.Q |
Không chỉ luộc hay nướng, khoai lang còn có thể “biến hình” thành nhiều món ăn vặt thơm ngon, giòn béo, chua ngọt hấp dẫn, ai ăn cũng mê.
Duy trì massage dẫn lưu bạch huyết 5-10 phút mỗi tối giúp giảm sưng mặt, bọng mắt, hỗ trợ da sáng hơn và gương mặt gọn gàng khi thức dậy.
Điều chỉnh thói quen, tạo không khí vui vẻ và đặt ra mục tiêu nhỏ giúp trẻ cảm thấy thoải mái, hào hứng khi trở lại trường sau Tết.
Phát hiện sớm, kiểm soát đường huyết giúp mẹ và bé tránh biến chứng nguy hiểm, đảm bảo thai kỳ an toàn.
Uống nước đúng cách giúp bảo vệ thận, tránh sỏi, suy thận. Tìm hiểu những sai lầm phổ biến và cách duy trì lượng nước hợp lý hàng ngày.
Không chỉ giàu dinh dưỡng, thanh mát và dễ chế biến, đậu phụ còn có thể biến tấu thành vô vàn món ăn hấp dẫn.
Sau Tết, nhiều gia đình còn dư bánh chưng nhưng ăn dễ ngấy. Chỉ cần biến tấu khéo léo, bạn có thể làm mới món quen thành nhiều món ngon lạ miệng, hấp dẫn.
Tạm dừng cà phê trong một tuần, nhiều người trải qua cảm giác uể oải ban đầu nhưng dần nhận ra giấc ngủ và tinh thần ổn định hơn.
Không gian xanh giúp thư giãn tinh thần, nạp năng lượng, giảm căng thẳng và cải thiện sức khỏe, như một vitamin miễn phí tự nhiên cho cơ thể.
Điều chỉnh thói quen, tạo không khí vui vẻ và đặt ra mục tiêu nhỏ giúp trẻ cảm thấy thoải mái, hào hứng khi trở lại trường sau Tết.
Tạm dừng cà phê trong một tuần, nhiều người trải qua cảm giác uể oải ban đầu nhưng dần nhận ra giấc ngủ và tinh thần ổn định hơn.
Sau Tết, nhiều gia đình còn dư bánh chưng nhưng ăn dễ ngấy. Chỉ cần biến tấu khéo léo, bạn có thể làm mới món quen thành nhiều món ngon lạ miệng, hấp dẫn.
Phát hiện sớm, kiểm soát đường huyết giúp mẹ và bé tránh biến chứng nguy hiểm, đảm bảo thai kỳ an toàn.
Uống nước đúng cách giúp bảo vệ thận, tránh sỏi, suy thận. Tìm hiểu những sai lầm phổ biến và cách duy trì lượng nước hợp lý hàng ngày.
Không chỉ luộc hay nướng, khoai lang còn có thể “biến hình” thành nhiều món ăn vặt thơm ngon, giòn béo, chua ngọt hấp dẫn, ai ăn cũng mê.
Duy trì massage dẫn lưu bạch huyết 5-10 phút mỗi tối giúp giảm sưng mặt, bọng mắt, hỗ trợ da sáng hơn và gương mặt gọn gàng khi thức dậy.
Không gian xanh giúp thư giãn tinh thần, nạp năng lượng, giảm căng thẳng và cải thiện sức khỏe, như một vitamin miễn phí tự nhiên cho cơ thể.
Không chỉ giàu dinh dưỡng, thanh mát và dễ chế biến, đậu phụ còn có thể biến tấu thành vô vàn món ăn hấp dẫn.
Buổi tối là “khoảng lặng” để cơ thể và làn da phục hồi. Duy trì những thói quen thư giãn trước khi ngủ giúp dễ vào giấc, ngủ sâu và da khỏe hơn.
Xông hơi giúp giảm cảm cúm, cải thiện tuần hoàn, thải độc và thư giãn tinh thần, nhưng cần tuân thủ nguyên tắc và lưu ý an toàn.
Bổ sung hạt điều, hạt bí, trái cây tươi và cá biển để duy trì sức khỏe tuyến giáp, giảm nguy cơ viêm nhiễm và cân bằng hormone tự nhiên.
Chỉ cần chọn đúng kiểu tóc ngắn ngang vai, chị em có thể “hack” tuổi hiệu quả, giúp gương mặt trẻ trung hơn và khắc phục nhược điểm tóc mỏng, xẹp.
Bệnh Kawasaki là tình trạng viêm mạch máu cấp tính, phổ biến ở trẻ dưới 5 tuổi, đặc trưng bởi sốt cao kéo dài (trên 5 ngày), phát ban, viêm kết mạc và đỏ môi.
Thức khuya kéo dài khiến da xỉn màu, tinh thần mệt mỏi. Chỉ sau 7 ngày đi ngủ sớm, nhiều người đã cảm nhận rõ sự thay đổi tích cực từ bên trong.
Sau Tết ăn nhiều dầu mỡ, rượu bia, cơ thể dễ mệt mỏi và tăng cân. Thực đơn thanh đạm với kombucha, món luộc và gạo lứt giúp nhẹ bụng, nhanh lấy lại năng lượng.
Bánh chưng rất dễ hỏng nếu bảo quản sai cách. Khi bóc bánh thấy mốc, nhớt, mùi lạ hay đổi màu, tuyệt đối không ăn kẻo rước bệnh vào người.
Không cần đến giày cao gót chênh vênh hay “dao kéo” vóc dáng, bạn vẫn có thể trông cao ráo hơn chỉ nhờ một bí quyết đơn giản: phối tất và giày đúng cách.
Mệt mỏi không đồng nghĩa với buồn ngủ. Khi não bộ còn căng thẳng và hormone stress tăng cao, giấc ngủ dễ bị chập chờn, thậm chí biến mất hoàn toàn.
Chỉ cần chọn đúng màu son theo sắc độ áo dài, bạn có thể “nâng tầm” diện mạo ngày xuân mà không cần trang điểm cầu kỳ.