Theo thông tin từ người nhà cho biết, trước đó cậu bé đang chơi với mặt dây chuyền hình thánh giá thì bất ngờ bỏ vào miệng nuốt. Ngay sau đó, cậu bé bắt đầu nôn ói, không ăn uống được, người thân vội chuyển bệnh nhi vào bệnh viện cấp cứu.
![]() |
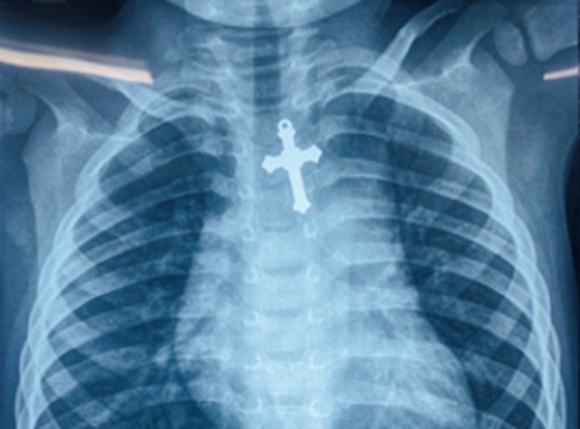
| Cây thánh giá kẹt ở thực quản, nguy cơ xuyên vào trung thất đe dọa trực tiếp đến tính mạng bệnh nhi. (Ảnh: Gia đình) |
Các bác sĩ đã tiến hành hội chẩn nhanh và xác định, đây là một trường hợp dị vật thực quản phức tạp, nguy hiểm. Cây thánh giá có hình dáng góc cạnh, sắc nguy cơ gây tổn thương thành thực quản, xuyên thủng vào trung thất, tổn thương các mạch máu và các cơ quan lân cận đe dọa trực tiếp đến tính mạng bệnh nhi. Các bác sĩ quyết định thực hiện phương pháp gây mê và nội soi gắp dị vật.
![]() |
| Phụ huynh tuyệt đối không cho trẻ chơi những món đồ có thể bỏ lọt vào khoang miệng và những lỗ tự nhiên trên cơ thể (Ảnh: Dân Trí) |
Sau hơn 45 phút trong phòng nội soi các bác sĩ đã gắp thành công cây thánh giá ra ngoài qua đường miệng giúp bệnh nhi vượt qua cơn nguy kịch. Kiểm tra sau nội soi ghi nhận, lòng thực quản bệnh nhi có vài điểm trầy xước, sung huyết nhưng may mắn không thủng và không có tai biến, biến chứng nguy hiểm xảy ra.
Bác sĩ Chuyên khoa 2 Phạm Đoàn Tấn Tài khuyến cáo cộng đồng, trẻ nhỏ thường có tâm lý thích khám phá thế giới xung quanh và khám phá chính bản thân mình bằng mọi giác quan. Tuy nhiên, các bé chưa nhận thức được những nguy hiểm có thể xảy ra.
Hóc dị vật có thể gây tắc nghẽn đường thở cướp đi sinh mạng của trẻ trong thời gian rất ngắn, ngoài việc chủ động phòng tránh, phụ huynh cần trang bị cho mình những kiến thức cơ bản về sơ cấp cứu để kịp thời can thiệp, hỗ trợ con trẻ trong những tình huống khẩn nguy.
Để tránh nguy hiểm do hóc sặc dị vật ở trẻ các phụ huynh tuyệt đối không nên cho các bé chơi những món đồ nhỏ có thể bỏ lọt vào khoang miệng, không để những vật nhỏ, gọn trong tầm tay trẻ.
>>> Mời các bãn em thêm video: Bé gái 3 tuổi suýt chết vì nuốt phải dị vật
Nguồn: Truyền hình Công an Nhân dân


