Cuộc sống hiện đại, tỷ lệ người mắc bệnh tim mạch ngày càng tăng cao. Tại các nước phương Tây, cứ 4 người có 1 người chết vì bệnh tim mạch. Một trong những vấn đề đáng quan ngại là nhiều người chỉ phát hiện bệnh tim khi đã bộc phát cơn đau tim. Vì vậy, phát hiện sớm các vấn đề về tim mạch là điều vô cùng quan trọng.
Dưới đây là một số dấu hiệu bệnh tim mạch bạn nên đề phòng.
Nếp gấp ở thùy tai
Một trong những dấu hiệu bệnh tim mạch là xuất hiện nếp gấp ở thùy tai, hay còn có tên gọi là dấu hiệu của Frank – được đặt theo tên của Sanders Frank, bác sĩ người Mỹ đầu tiên phát hiện ra dấu hiệu này.
![]() |
Hơn 40 nghiên cứu đã chỉ ra mối liên hệ giữa nếp nhăn nhìn thấy trên thùy tai với sự tăng nguy cơ xơ vữa động mạch. Hiện vẫn không rõ nguyên nhân dẫn đến mối liên hệ này.
U mỡ
Một dấu hiệu khác của bệnh tim mạch là các u mỡ màu vàng được gọi làxanthomas xuất hiện trên khuỷu tay, đầu gối, mông hoặc mí mắt. Bản thân các u mỡ này là vô hại nhưng sự xuất hiện của chúng có thể chỉ ra những vấn đề lớn hơn.
![]() |
Xanthomas thường gặp ở những người mang một bệnh di truyền gọi là tăng cholesterol máu gia đình. Những người mắc bệnh này có cholesterol xấu ở mức cao trong cơ thể. Lượng cholesterol này nhiều đến mức chúng tích tụ trong da tạo nên các u mỡ. Bên cạnh đó, cholesterol cũng tích tụ trong các động mạch nuôi dưỡng tim.
Ngón tay dùi trống
Móng tay dùi trống (Clubbed fingernail) cũng là một dấu hiệu cho thấy trái tim của bạn đang hoạt động không tốt.
![]() |
Đây là tình trạng móng tay bị thay đổi hình dạng, trở nên dày hơn và rộng hơn do có nhiều mô được sản xuất. Sự thay đổi này thường không gây đau và xảy ra ở cả hai tay.
Sự thay đổi này có liên quan đến vấn đề về tim là do máu đã oxy hóa không đến được các ngón tay đúng cách, vì vậy các tế bào tạo ra một yếu tố thúc đẩy tăng trưởng để thử và khắc phục vấn đề.
Hiện tượng móng tay dùi trống được Hippocrates phát hiện vào thế kỷ thứ 5 trước Công Nguyên. Đó là lý do vì sao tình trạng này còn được gọi là ngón tay Hippocratic.
Mống mắt có quầng
Chất béo có thể được nhìn thấy trong mắt, thể hiện là một quầng màu xám bao quanh mống mắt. Tình trạng này được gọi là đục rìa giác mạc (Arcus senilis), nó bắt đầu ở phía trên và dưới cùng của mống mắt trước khi hình thành một vòng tròn hoàn chỉnh. Đục rìa giác mạc không ảnh hưởng tới thị lực.
![]() |
Khoảng 45% người trên 40 tuổi có quầng mỡ quanh mống mắt, tỷ lệ này ở người trên 60 tuổi là khoảng 70%. Sự xuất hiện của quầng mỡ này đã được chứng minh là có liên quan đến một số yếu tố nguy cơ của bệnh tim mạch vành.
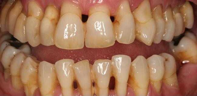
Viêm lợi và mất răng
Tình trạng sức khỏe răng miệng của bạn cũng có thể là yếu tố tiên đoán tốt tình trạng sức khỏe tim mạch của bạn.
![]() |
Vi khuẩn xấu có thể xâm nhập từ miệng vào máu và gây viêm các mạch máu, dẫn đến bệnh tim mạch.
Nhiều nghiên cứu cũng đã chỉ ra rằng mất răng và viêm lợi (viêm nha chu) là những dấu hiệu bệnh tim mạch.
Môi xanh tái
Đôi môi thường có màu đỏ nhưng với những người có vấn đề về tim thì môi có màu xanh tái. Đó là do hệ thống tim mạch gặp trục trặc trong việc cung cấp máu cho môi.
![]() |
Môi xanh cũng có thể xảy ra khi cơ thể gặp nhiệt độ cực lạnh hoặc ở vùng cao. Trường hợp này chỉ là do thiếu do oxy tạm thời và có thể được giải quyết nhanh chóng.






