Nhìn mờ chỉ định chữa mộng mắt không khỏi, hóa ra huyết khối tĩnh mạch não

Bệnh không có triệu chứng điển hình, thường tiến triển âm thầm và bộc phát bất ngờ. Nếu thấy những biểu hiện như mờ mắt, buồn nôn, đau đầu... cần đi khám ngay.

Bà V.T.H (57 tuổi, Hải Dương) đột ngột xuất hiện biểu hiện nhìn mờ mắt phải, suy giảm rõ rệt khiến bà H chóng mặt, mất thăng bằng, đi lại khó khăn.

Bệnh nhân đã đi khám tại một cơ sở y tế, được chẩn đoán mộng mắt gây suy giảm thị lực và phẫu thuật bóc mộng mắt phải.

Tuy nhiên, sau phẫu thuật tình trạng không cải thiện mà còn xuất hiện thêm biểu hiện đau đầu bên phải ngày càng nặng, đau âm ỉ kéo dài cả ngày. Bệnh nhân tự ý dùng thuốc giảm đau thông thường nhưng không thuyên giảm.

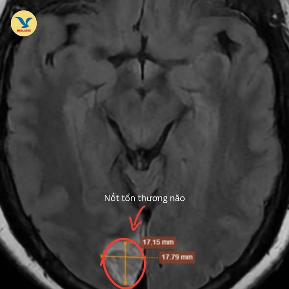
3 tuần sau, bà H. đến Phòng khám Đa khoa Medlatec Tây Hồ để thăm khám. Kết quả xét nghiệm thấy chỉ số mỡ máu tăng cao. Hình ảnh chụp MRI sọ não phát hiện nốt tổn thương vùng chẩm bên phải nghĩ tới tổn thương huyết khối mạn tính hội lưu tĩnh mạch lan vào nhánh nhỏ tĩnh mạch vỏ não lân cận.

nhin-mo.jpg
Hình ảnh MRI phát hiện tổn thương vùng chẩm - Ảnh BVCC

Bác sĩ chẩn đoán xác định bệnh nhân có nhồi máu vùng chẩm mạn tính do huyết khối hội lưu tĩnh mạch, đây là nguyên nhân gây ra biểu hiện suy giảm thị lực bên phải của bà H.

BSCKI Hoàng Anh Tuấn, Chuyên khoa Thần kinh, Phòng khám Đa khoa Medlatec Tây Hồ cho biết: “Huyết khối tĩnh mạch não có tỷ lệ tái phát và nguy cơ để lại di chứng vĩnh viễn như đau đầu kéo dài, rối loạn nhận thức nhẹ (suy giảm trí nhớ, khó tập trung), co giật tái phát (cần điều trị lâu dài bằng thuốc chống co giật).

Bệnh không có triệu chứng lâm sàng điển hình, thường tiến triển âm thầm và bộc phát bất ngờ. Nếu thấy những biểu hiện như mờ mắt, buồn nôn và nôn, đau nhức đầu dữ dội; Rối loạn ngôn ngữ như nói ngọng, liệt nửa người, suy kiệt cơ thể, yếu người và không còn tỉnh táo; Co giật, ngất xỉu, hôn mê,... Cần đi khám ngay lập tức để tránh gây biến chứng nguy hiểm đe dọa tính mạng.

Hút huyết khối tĩnh mạch não hiếm gặp cứu thanh niên 19 tuổi

Đây là trường hợp hiếm gặp và nặng, với nguy cơ tổn thương não và di chứng thần kinh nếu không xử trí kịp thời.

Một bệnh nhân nam 19 tuổi vừa được các bác sĩ Bệnh viện Hữu nghị Việt Đức can thiệp cấp cứu lấy huyết khối xoang tĩnh mạch thành công, tái thông toàn bộ các xoang tĩnh mạch lớn trong não sau khi điều trị nội khoa không hiệu quả.

Bệnh nhân N.A.T, ở Phú Thọ, nhập viện trong tình trạng đau đầu dữ dội kéo dài một tuần, kèm theo nhìn đôi. Trước đó, tại bệnh viện tuyến dưới, T được chẩn đoán huyết khối tĩnh mạch não và điều trị bằng thuốc kháng đông liều chuẩn. Tuy nhiên, sau 5 ngày, tình trạng không cải thiện, các triệu chứng thậm chí tăng nặng, buộc bệnh nhân phải chuyển lên tuyến trên.

Cứu sống bệnh nhân 38 tuổi bị huyết khối tĩnh mạch não

Bệnh nhân 38 tuổi mắc huyết khối tĩnh mạch não hiếm gặp nhưng nguy hiểm, được chẩn đoán chính xác nhờ MRI tĩnh mạch não.

Bệnh nhân N.T.T., 38 tuổi, trú tại xã Tu Vũ, tỉnh Phú Thọ, nhập viện trong tình trạng đau đầu dữ dội, méo miệng, sụp mí mắt và liệt nửa người trái. Trước đó, người bệnh được chụp cộng hưởng từ (MRI) để đánh giá hệ động mạch não nhưng không phát hiện tổn thương bất thường.

Nhận định khả năng bị huyết khối tĩnh mạch não, các bác sĩ chỉ định chụp MRI tĩnh mạch não có thuốc cản quang. Kết quả phát hiện huyết khối bán phần tĩnh mạch cảnh trong và xoang tĩnh mạch ngang bên phải. Nếu chậm trễ, người bệnh có thể đối mặt nguy cơ liệt vĩnh viễn hoặc tử vong.

Ai có nguy cơ mắc huyết khối tĩnh mạch não?

Huyết khối tĩnh mạch não là bệnh lý mạch máu não tuy hiếm gặp nhưng tiềm ẩn nhiều nguy cơ nghiêm trọng nếu không được phát hiện và điều trị kịp thời.

Huyết khối tĩnh mạch não khác biệt ra sao với đột quỵ thông thường

ThS.BS. Đinh Trung Hiếu, Trung tâm Đột Quỵ, Bệnh viện Bạch Mai cho biết: "Huyết khối tĩnh mạch não (HKTMN) là tình trạng hình thành cục máu đông bên trong hệ thống tĩnh mạch của não.

Đọc nhiều nhất

Tin mới