Bé gái nghiện nhai tóc Phi Phi ở Quảng Đông, miền nam Trung Quốc, đã tự nhổ tóc và ăn chúng Btừ khi lên 2 tuổi. Giờ đây, khi đã 8 tuổi, cô bé nói với mẹ rằng em đã ngừng thói quen này từ đầu năm nay.
Nhưng tới đầu tháng 2, Phi Phi bị ốm trong một tuần với các triệu chứng như nôn mửa và đau bụng dữ dội.
Mẹ của cô bé thấy bụng con gái bị sưng nên nhanh chóng đưa em tới bệnh viện Donghua ở Quảng Đông để điều trị.
Bác sĩ Tang Shilong đã rửa dạ dày trên của Phi Phi nhưng không thể tìm thấy bất kỳ dư lượng thực phẩm nào, theo South Metropolitan Daily.
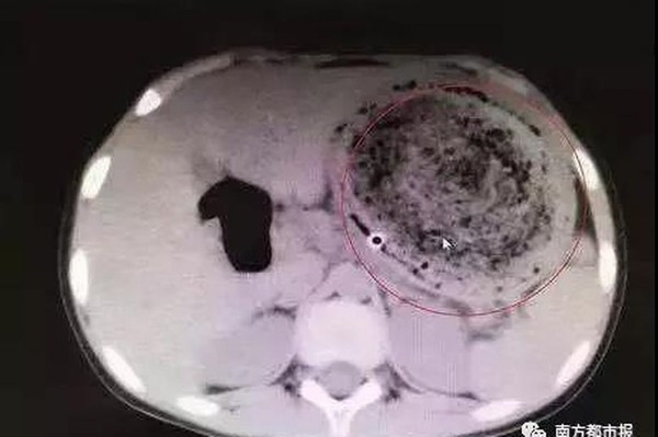
Bác sĩ đã rất ngạc nhiên khi chụp CT và phát hiện một búi tóc khổng lồ lẫn với cặn thức ăn. Tuy nhiên, búi tóc to bằng quả bóng này không thể được loại bỏ thông qua nội soi vì có dấu hiệu vôi hóa.
![]() |
| Hình ảnh búi tóc rối trong dạ dày của Phi Phi. |
Cuối cùng, bác sĩ Tang phải tiến hành phẫu thuật, lấy “quả bóng tóc” nặng 1,5 kg ra khỏi dạ dày của Phi Phi.
“Quả bóng tóc đã có trong dạ dày của bệnh nhân trong nhiều năm. Thói quen ăn tóc là một triệu chứng điển hình của pica, chứng rối loạn ăn uống khiến những người có xu hướng ăn những thứ không có dinh dưỡng”, bác sĩ giải thích.
Mẹ của Phi Phi giờ đây phải liên tục nhắc nhở cô bé không cho tóc vào miệng. Cô bé hiện đang hồi phục và bắt đầu ăn thức ăn.
