Những hé lộ bất ngờ về chuyện mổ xác người trong lịch sử

Những hé lộ bất ngờ về chuyện mổ xác người trong lịch sử

Mổ xác người là hoạt động cơ bản trong quá trình tích lũy kiến thức cho ngành khoa học giải phẫu. Công việc này đã thay đổi như thế nào trong lịch sử?

Năm 1.600 TCN, ở Ai Cập cổ đại, nội tạng được lấy khỏi xác người chết trước khi ướp vì lý do tôn giáo. Việc mổ xác người này đã đem lại những kiến thức sơ khai về giải phẫu học trong buổi đầu lịch sử nhân loại.
Năm 1.600 TCN, ở Ai Cập cổ đại, nội tạng được lấy khỏi xác người chết trước khi ướp vì lý do tôn giáo. Việc mổ xác người này đã đem lại những kiến thức sơ khai về giải phẫu học trong buổi đầu lịch sử nhân loại.
Năm 500 TCN, do luật phát không cho mổ tử thi, danh y Hy Lạp cổ Hippocrates đã khuyến khích các nhà y khoa mổ xác động vật nhằm tìm hiểu về cơ thể con người, do con người và các loài vật có nhiều sự tương đồng về giải phẫu học.
Năm 500 TCN, do luật phát không cho mổ tử thi, danh y Hy Lạp cổ Hippocrates đã khuyến khích các nhà y khoa mổ xác động vật nhằm tìm hiểu về cơ thể con người, do con người và các loài vật có nhiều sự tương đồng về giải phẫu học.
Năm 180 TCN, thầy thuốc gốc Hy Lạp Galen đưa ra nhiều quan điểm về giải phẫu học cơ thể người thông qua việc giải phẫu khỉ Barbary. Không phải mọi nhận định của ông đều đúng, nhưng nó đã trở thành nền tảng cho khoa học giải phẫu trong nhiều thế kỷ.
Năm 180 TCN, thầy thuốc gốc Hy Lạp Galen đưa ra nhiều quan điểm về giải phẫu học cơ thể người thông qua việc giải phẫu khỉ Barbary. Không phải mọi nhận định của ông đều đúng, nhưng nó đã trở thành nền tảng cho khoa học giải phẫu trong nhiều thế kỷ.
Thế kỷ 12, việc mổ xác người không bị cấm ở thế giới Hồi giáo và châu Âu. Các thầy thuốc lớn như Inn Zuhr của Ả Rập đã thường xuyên thực hành trên thi thể và chỉnh lý nhiều phần trong kiến thức của Galen.
Thế kỷ 12, việc mổ xác người không bị cấm ở thế giới Hồi giáo và châu Âu. Các thầy thuốc lớn như Inn Zuhr của Ả Rập đã thường xuyên thực hành trên thi thể và chỉnh lý nhiều phần trong kiến thức của Galen.
Khoảng năm 1315, thấy thuốc Italia Mondino de Luzzi thực hiện ca mổ xác công khai đầu tiên. Ông cũng viết một cuốn sách về giải phẫu học, nhưng nhiều quan điểm trong đó sai lầm và lỗi thời.
Khoảng năm 1315, thấy thuốc Italia Mondino de Luzzi thực hiện ca mổ xác công khai đầu tiên. Ông cũng viết một cuốn sách về giải phẫu học, nhưng nhiều quan điểm trong đó sai lầm và lỗi thời.
Cuối thế kỷ 15, khi giới y học ngày càng chối bỏ Galen, Loenardo da Vinci bắt đầu nghiên cứu giải phẫu học cơ thễ người. Thầy thuốc Italia Berengario da Carpi viết cuốn Anatomia Carpi, mở ra kỷ nguyên mới chú trọng đến việc quan sát trực tiếp cơ thể người.
Cuối thế kỷ 15, khi giới y học ngày càng chối bỏ Galen, Loenardo da Vinci bắt đầu nghiên cứu giải phẫu học cơ thễ người. Thầy thuốc Italia Berengario da Carpi viết cuốn Anatomia Carpi, mở ra kỷ nguyên mới chú trọng đến việc quan sát trực tiếp cơ thể người.
Năm 1543, các họa sĩ đã đến quan sát các buổi mổ xác của Andreas Vesalius, nhà giải phẫu học người Flanders, để vẽ nên những bức minh họa cực chính xác cho tác phẩm Corporis Fabrica của ông.
Năm 1543, các họa sĩ đã đến quan sát các buổi mổ xác của Andreas Vesalius, nhà giải phẫu học người Flanders, để vẽ nên những bức minh họa cực chính xác cho tác phẩm Corporis Fabrica của ông.
Năm 1665, lần đầu tiên các nhà giải phẫu học dùng kính hiển vi quang học dể nghiên cứu cấu trúc của tế bào, mao mạch và các mô trong cơ thể.
Năm 1665, lần đầu tiên các nhà giải phẫu học dùng kính hiển vi quang học dể nghiên cứu cấu trúc của tế bào, mao mạch và các mô trong cơ thể.
Năm 1770, dụng cụ vi phẫu được phát minh nhằm mục đích cắt các mô thành những mảnh thật mỏng, gần như có thể nhìn xuyên qua, để quan sát dưới kính hiển vi.
Năm 1770, dụng cụ vi phẫu được phát minh nhằm mục đích cắt các mô thành những mảnh thật mỏng, gần như có thể nhìn xuyên qua, để quan sát dưới kính hiển vi.
Giữa thế 19, giải phẫu học so sánh ra đời dưới ánh sáng thuyết Tiến hóa của Charles Darwin.
Giữa thế 19, giải phẫu học so sánh ra đời dưới ánh sáng thuyết Tiến hóa của Charles Darwin.
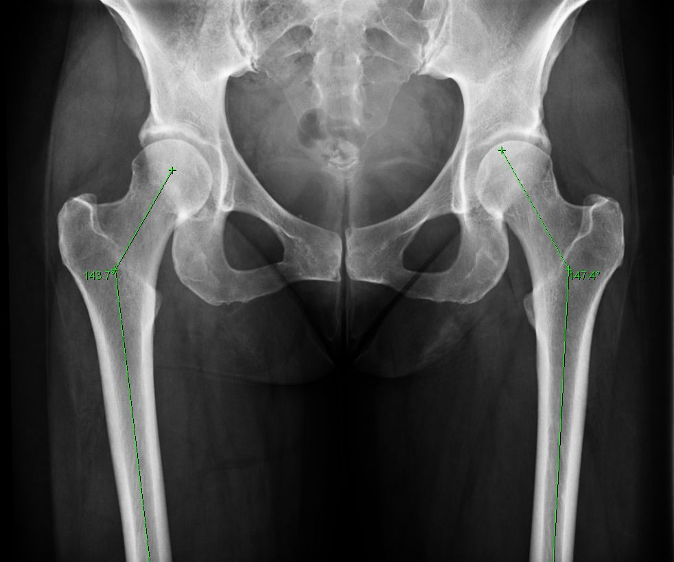
Năm 1895, nhà vật lý Đức Wilhelm Rontgen phát minh ra tia X, giúp khám phá cấu trúc xương bên trong cơ thể mà không cần phải mổ banh xác ra như trước.
Năm 1895, nhà vật lý Đức Wilhelm Rontgen phát minh ra tia X, giúp khám phá cấu trúc xương bên trong cơ thể mà không cần phải mổ banh xác ra như trước.
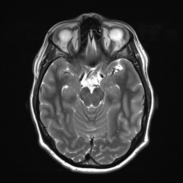
Thập niên 1940-1950, máy quét MRI ra đời, giúp các nhà y khoa chụp được hình ảnh của những cấu trúc mềm bên trong cơ thể sống.
Thập niên 1940-1950, máy quét MRI ra đời, giúp các nhà y khoa chụp được hình ảnh của những cấu trúc mềm bên trong cơ thể sống.
Những thập niên cuối thế kỷ 20, kỹ thuật nội soi trở nên phổ biến dựa trên công nghệ robot và máy quay video đã khiến ngành giải phẫu phát triển đến tầm cao mới, mở ra thế kỷ 21 với nhiều kỳ vọng cho ngành y khoa...
Những thập niên cuối thế kỷ 20, kỹ thuật nội soi trở nên phổ biến dựa trên công nghệ robot và máy quay video đã khiến ngành giải phẫu phát triển đến tầm cao mới, mở ra thế kỷ 21 với nhiều kỳ vọng cho ngành y khoa...
Mời quý độc giả xem video: Ai Cập phát hiện thêm kho báu cổ đại với hơn 100 quan tài chứa xác ướp 2.500 năm | VTV24.

GALLERY MỚI NHẤT