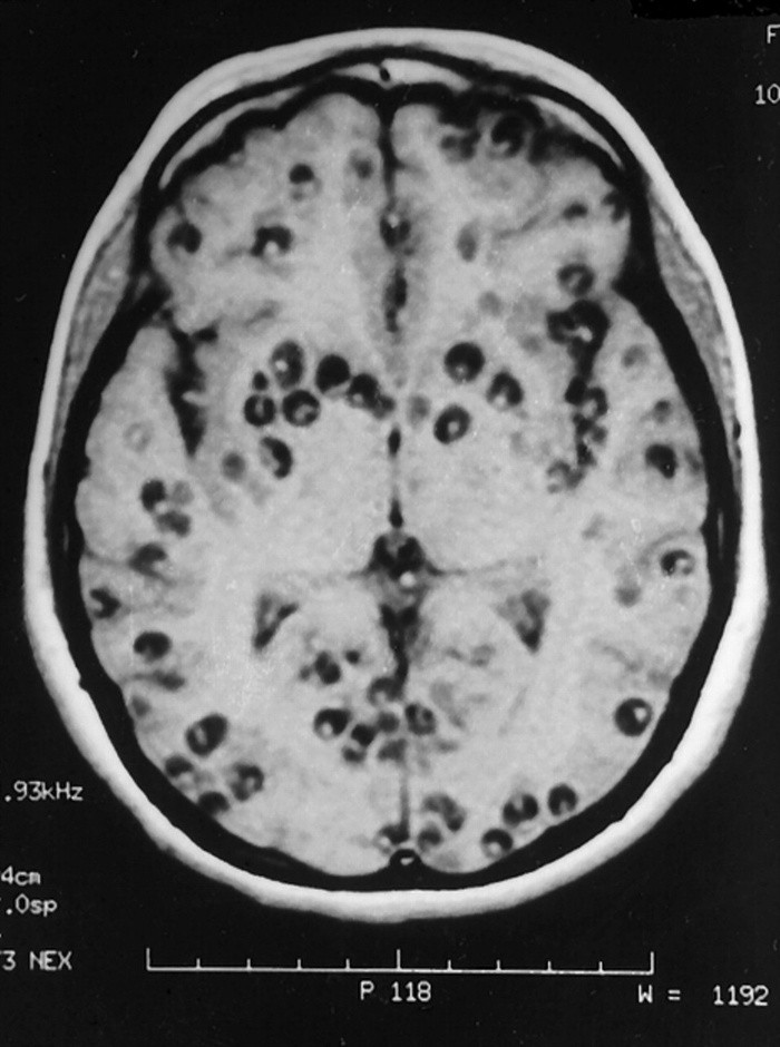
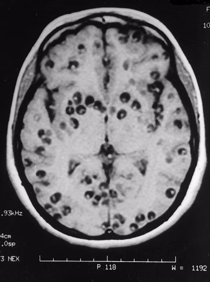
Tiến sĩ Praveen Gupta - Trưởng khoa thần kinh tại Bệnh viện Fortis ở Gurga (Ấn Độ) cho biết: “Qua phim chụp, chúng tôi phát hiện não bé gái có 100 trứng sán dây. Cô bé đã vô tình ăn thức ăn bị nhiễm sán dây. Bé liên tục bị đau đầu dữ dội, co giật và động kinh trong 6 tháng qua. Khi nhập viện, cô bé gần như bất tỉnh do u nang và não bị sưng lên”.
![]() |
Các bác sĩ đã chẩn đoán cô bé bị nhiễm ấu trùng sán lợn hệ thần kinh trung ương. Đây là bệnh ký sinh trùng phổ biến nhất của hệ thần kinh và là nguyên nhân chính gây bệnh động kinh ở các nước đang phát triển.
Người bị mắc nhiễm ấu trùng sán lợn hệ thần kinh trung ương là do tình cờ nuốt phải trứng của sán dải heo. Ăn thịt lợn có trứng sán, ấu trùng nở ra ký sinh ở thành ruột, vào máu, và đi đến hầu hết các mô, tạo nang sán.
![]() |
Bác sĩ Gupta chia sẻ: “Để não bớt sưng, chúng tôi đã tiến hành thông mũi và dùng steroid sau đó mới dùng thuốc đặc trị sán dải heo". Cuối cùng, cô bé đã có thể đi bộ và tiếp tục đi học.
Cha của bé gái này nói: “Chúng tôi hoàn toàn không biết rằng con gái có thể bị mắc căn bệnh nhiễm trùng như vậy. May mắn thay, con bé đã được điều trị trước khi trứng nở ra và làm tổn thương não bộ”.

