Đột quỵ, thở oxy sau khi khỏi COVID-19

Những trường hợp gặp các di chứng hậu COVID-19 mức độ nặng không phổ biến. Đa số họ từng điều trị hồi sức tích cực khi dương tính.

Di chứng hậu COVID-19 không dừng lại ở những dấu hiệu thần kinh như mất ngủ, rối loạn lo âu hay kiệt sức, mệt mỏi. Ở một số trường hợp, người bệnh còn gặp triệu chứng nặng, phải cấp cứu và điều trị nội trú thời gian dài.

Những di chứng nặng hậu COVID-19

Tại khu điều trị nội trú của Phòng khám di chứng hậu COVID-19, Bệnh viện Quân y 175 (Bộ Quốc phòng), khoảng 30 bệnh nhân có tình trạng nặng đang được điều trị do các rối loạn hậu COVID-19.

Thạc sĩ, bác sĩ Nguyễn Hải Công, Trưởng khoa Lao và Bệnh phổi kiêm Trưởng phòng khám di chứng hậu COVID-19, Bệnh viện Quân y 175 (Bộ Quốc phòng), cho biết một số người đến khám do tình trạng hậu COVID-19 có biểu hiện ở mức độ nặng.

Họ gặp các di chứng về hô hấp, khó thở, suy hô hấp phải phụ thuộc vào thở oxy. Một số bệnh nhân gặp rối loạn ý thức, vận động hoặc di chứng xơ phổi, thuyên tắc phổi gây ra tình trạng phụ thuộc vào oxy và suy hô hấp kéo dài.

Dot quy, tho oxy sau khi khoi COVID-19

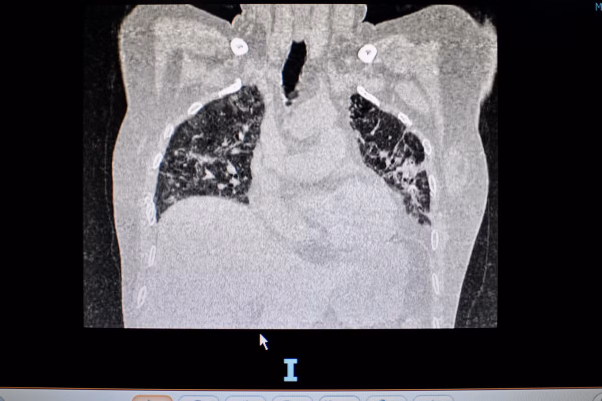
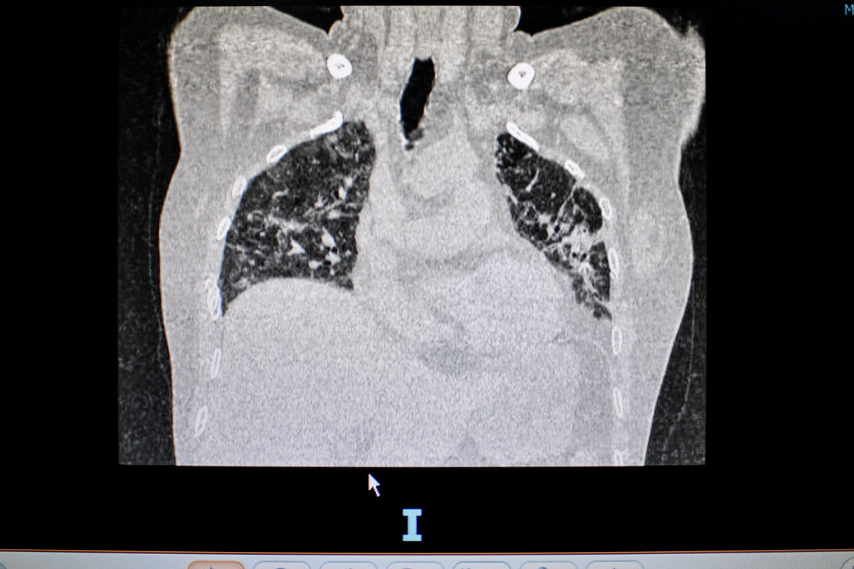
Bác sĩ Nguyễn Hải Công kiểm tra phim chụp phổi của một bệnh nhân điều trị di chứng hậu COVID-19. Ảnh: Bích Huệ.

Một số trường hợp khác có tình trạng huyết khối động mạch não gây đột quỵ não. Trong khi đó, hiện nay, di chứng đột quỵ thường khó phục hồi.

"Trong số 30 bệnh nhân điều trị nội trú do vấn đề hậu COVID-19, độ tuổi hầu hết trên 45, có bệnh nền. Điểm chung của họ là hầu hết từng bị COVID-19 mức độ nặng, nguy kịch, phải điều trị ICU", bác sĩ Công thông tin thêm.

Các di chứng hậu COVID-19 mức độ nặng từng được TS.BS Nguyễn Anh Dũng, Phó giám đốc Sở Y tế TP.HCM, đưa ra cảnh báo trong một báo cáo tại Hội nghị triển khai các hoạt động trọng tâm của ngành y tế năm 2022.

Trong đó, TS Dũng chia sẻ trường hợp một người đàn ông 48 tuổi, từng nhập viện vì viêm phổi COVID-19. Sau 8 tuần xuất viện, bệnh nhân vẫn bị khó thở dai dẳng và mệt mỏi.

Trên phim chụp phổi cắt lớp vi tính, các bác sĩ phát hiện người đàn ông bị tổn thương phổi dạng xơ hóa, giãn phế quản. Đây là di chứng vĩnh viễn, dù điều trị nhưng khó trở về bình thường.

Dot quy, tho oxy sau khi khoi COVID-19-Hinh-2

Phim X-quang phổi của bệnh nhân 52 tuổi, bị suy hô hấp nặng sau khi khỏi COVID-19. Ảnh: Duy Hiệu.

Tại phòng khám di chứng hậu COVID-19 của Bệnh viện Đại học Y Dược TP.HCM, mỗi ngày có khoảng 200 lượt người đến tư vấn, khám do vấn đề hậu COVID-19. TS.BS Nguyễn Như Vinh, Trưởng khoa Thăm dò chức năng hô hấp, cho biết thỉnh thoảng, đơn vị này tiếp nhận một vài trường hợp gặp các biểu hiện hậu COVID-19 nặng.

Mới đây nhất, một phụ nữ 52 tuổi đến khám trong tình trạng suy hô hấp mạn tính, phải mang theo bình oxy dù khỏi COVID-19 gần một tháng. Trên phim X-quang, hai bên phổi của bệnh nhân mờ đục, diện tích tổn thương nhiều.

"Sau 10 ngày điều trị, tình trạng bệnh nhân này ổn định hơn, cai được oxy, phim X-quang phổi cũng cải thiện đáng kể", TS Vinh vui mừng chia sẻ.

4 trường hợp dễ gặp di chứng COVID-19 nặng

ThS.BS Nguyễn Hải Công nhận định nếu trong khi mắc COVID-19, F0 có tổn thương phổi nặng, giai đoạn hậu COVID-19, người bệnh dễ gặp di chứng xơ phổi, huyết khối mạn tính ở phổi, suy giảm chức năng phổi. Di chứng này khiến cơ quan phổi hồi phục chậm hoặc một số ít trường hợp không hồi phục được.

"Di chứng hậu COVID-19 và tổn thương trong giai đoạn mắc COVID-19 có liên quan với nhau", bác sĩ Công nhận định.

F0 có tình trạng nhẹ có thể gặp các di chứng hậu COVID-19 nhẹ, các rối loạn này có thể tự điều chỉnh hoặc điều trị ngoại trú. Tuy nhiên, với trường hợp mắc COVID-19 trong giai đoạn cấp nặng, phải điều trị ICU, sau khi khỏi bệnh, họ có nguy cơ gặp di chứng hậu COVID-19 nặng hơn người khác.

Dot quy, tho oxy sau khi khoi COVID-19-Hinh-3

Một bệnh nhân điều trị di chứng hậu COVID-19 mức độ nặng tại Bệnh viện Quân y 175. Ảnh: BSCC.

Những bệnh nhân trong giai đoạn cấp tính khi mắc COVID-19 có nhiều triệu chứng, thông thường có khoảng 5 triệu chứng trở lên hoặc giai đoạn nhập viện có nhiều bất thường, chẳng hạn rối loạn đông máu, bạch cầu giảm... cũng có nguy cơ gặp di chứng hậu COVID-19 nặng hơn.

Bên cạnh đó, người mắc thuộc nhóm nguy cơ (cao tuổi, người có bệnh nền như huyết áp, tiểu đường, ung thư, phổi tắc nghẽn mạn tính, hen, suy tim...) là những đối tượng đầu tiên dễ mắc di chứng hậu COVID-19.

Bác sĩ Nguyễn Hải Công cho biết những bệnh nhân có di chứng hậu COVID-19 mức độ nặng thường có tiên lượng hồi phục chậm hơn so với bệnh lý tổn thương phổi thông thường khác.

Một số trường hợp người bệnh lệ thuộc hoàn toàn vào chăm sóc y tế, khiến chất lượng cuộc sống của họ và gia đình suy giảm nghiêm trọng.

"Trong đợt bùng phát dịch ở TP.HCM, có rất nhiều người phải nhập viện điều trị do chuyển nặng, do đó, những di chứng hậu COVID-19 để lại cũng khá cao cùng với đó là gánh nặng y tế có thể còn kéo dài trong nhiều tháng, nhiều năm", bác sĩ Công nói.

Ông khuyến cáo với F0 khỏi bệnh, khi nhận thấy cơ thể có triệu chứng bất thường nhưng không liên quan tới những bệnh trước đây, ảnh hưởng chất lượng sống, nên đi khám sớm tại cơ sở y tế uy tín.

"Ngoài được thăm khám phát hiện dấu hiệu bất thường, điều quan trọng hơn là người bệnh được tư vấn, giải tỏa tâm lý lo lắng. Với các rối loạn nhẹ như mất ngủ, đau đầu, mất tập trung... người bệnh sẽ được tư vấn, chăm sóc và hướng dẫn phương pháp điều chỉnh, phục hồi tốt nhất", bác sĩ Công khuyến cáo.

5 thắc mắc phổ biến của các F0 điều trị tại nhà

Bị mất khứu giác, vị giác có phải là dấu hiệu bệnh trở nặng hay phải làm gì khi ho, sốt kéo dài… là thắc mắc của nhiều F0 khi tự theo dõi, điều trị tại nhà.

Dưới đây bác sĩ Nguyễn Huy Hoàng, Trung tâm Nhiệt đới Việt Nga, thành viên nhóm Bác sĩ quân y hỗ trợ chăm sóc F0 tại nhà giải đáp 5 thắc mắc thường gặp của F0 điều trị tại nhà:

Phát hiện mới đáng lo ngại về biến chủng Omicron

Theo nghiên cứu mới, biến chủng Omicron có thời gian tồn tại trên bề mặt da người và nhựa lâu hơn đáng kể so với các biến thể khác.

Forbes đưa tin, các nhà khoa học đến từ Đại học Y tỉnh Kyoto (Nhật Bản) đã tiến hành nghiên cứu để xác định thời gian tồn tại của virus SARS-CoV-2 trên bề mặt da người và nhựa. Họ chọn các tấm polystyrene và mảnh da của tử thi để làm thí nghiệm.
Nhóm nghiên cứu lấy mẫu của các biến thể khác nhau của SARS-CoV-2 từ Viện Quốc gia về các bệnh truyền nhiễm ở Tokyo, Nhật Bản, nuôi cấy các mẫu này rồi đặt vào bề mặt nhựa và da người.

Phân bổ hơn 1,73 triệu liều vắc xin AstraZeneca

Cơ quan chuyên môn của Bộ Y tế vừa phân bổ vắc xin phòng Covid-19 AstraZeneca để phục vụ nhu cầu tiêm chủng của các địa phương.

Đây là đợt phân bổ thứ 123 kể từ khi vắc xin về Việt Nam tháng 2/2021. Đến nay, Việt Nam đã phân bổ 196 triệu liều vắc xin phòng Covid-19 các loại, trong tổng số hơn 213,6 triệu liều đã tiếp nhận.

Cũng theo Bộ Y tế, trong số các vắc xin đã tiếp nhận tại Việt Nam tính đến ngày 8/2, Pfizer có số lượng nhiều nhất với tổng số trên 77,3 triệu liều; thứ 2 là AstraZeneca với trên 63,1 triệu liều.

Đọc nhiều nhất

Tin mới

Mẹo tăng sức đề kháng trong mùa đông

Mẹo tăng sức đề kháng trong mùa đông

Để tăng cường sức đề kháng trong mùa đông, cần chế độ dinh dưỡng giàu vitamin, uống đủ nước ấm, tập thể dục đều đặn, giữ ấm cơ thể, ngủ đủ giấc...

Vì sao nọng heo được ưa chuộng?

Vì sao nọng heo được ưa chuộng?

Nọng heo được ưa chuộng vì sự kết hợp độc đáo giữa vị ngọt của thịt nạc và béo ngậy của mỡ, tạo nên hương vị mềm mọng, giòn sật đặc trưng.