Bệnh nhân N.T.H.H (47 tuổi, huyện Củ Chi, TP HCM) nhập viện với tình trạng dần hôn mê, yếu nửa người bên phải. Trước nhập viện người bệnh đã tắm, sau đó đột ngột đau đầu dữ dội, nôn ói, đặc biệt đây là cơn đau chưa bao giờ bệnh nhân trải qua trước đây. Bệnh nhân được người nhà đưa đến Bệnh viện Đa khoa Xuyên Á để cấp cứu.
Tại Khoa Cấp cứu, các bác sĩ chỉ định chụp CT sọ não phát hiện xuất huyết dưới nhện. Đồng thời, dựa trên kinh nghiệm xử lý hàng ngàn trường hợp xuất huyết não mỗi năm, các bác sĩ nghi ngờ tình trạng xuất huyết do vỡ túi phình mạch máu não nên tiếp tục cho người bệnh chụp CT mạch máu não kỹ thuật cao (CTA) và phát hiện túi phình mạch máu não kích thước lớn.
Dựa trên tình trạng lâm sàng và hình ảnh xuất huyết dưới nhện, các bác sĩ tiên lượng đây là một trường hợp rất xấu, nguy cơ tử vong lên đến khoảng 70%, cần phẫu thuật cấp cứu kẹp túi phình, ngăn chặn nguy cơ tái vỡ.
Sau khi hội chẩn và cân nhắc các nguy cơ, ca phẫu thuật được thực hiện bởi BS. CKII. Trương Thái Dương cùng ê-kíp các bác sĩ Khoa Sọ não Cột sống 1. Sau 3 giờ phẫu thuật căng thẳng, cẩn trọng trong từng thao tác, túi phình mạch máu não đã được kẹp và kiểm soát hoàn toàn. Hiện tại, tình trạng sức khỏe bệnh nhân đã ổn định, không còn đau đầu, tay chân vận động tốt.
Theo BS.CKII. Trương Thái Dương – Trưởng khoa Sọ não Cột sống 1 BVĐK Xuyên Á cho biết: "Đây là một trường hợp khó, túi phình có kích thước lớn, cổ rộng, nằm ở vị trí không thuận lợi, nguy cơ vỡ cao, ranh giới giữa sự sống và cái chết chỉ trong tích tắc. Nhưng với kinh nghiệm vốn có, bác sĩ cùng ê-kíp đã khống chế thành công cổ túi phình, loại bỏ hoàn toàn nguy cơ tái vỡ. Sau phẫu thuật bệnh nhân tiếp tục được điều trị tích cực, kiểm soát các biến chứng do xuất huyết dưới nhện, phối hợp điều trị vật lý trị liệu và đã hoàn toàn hồi phục".
Qua trường hợp trên, các bác sĩ khuyến cáo người dân khi phát hiện tình trạng đau đầu, đặc biệt đau đầu cổ đột ngột, dữ dội thì nên thăm khám để phát hiện và điều trị kịp thời.
Các bác sĩ cho biết, vỡ túi phình mạch máu não gây xuất huyết dưới nhện còn có thể dẫn đến các hậu quả nặng nề như nhồi máu não, giãn não thất làm tổn thương hệ thần kinh của người bệnh. Vỡ túi phình mạch máu não là bệnh lý nguy hiểm có tỷ lệ tử vong rất cao nếu không được điều trị kịp thời.
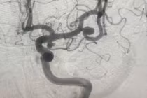
![]() |
| Hình ảnh vị trí túi phình. (Ảnh: BVCC) |
Theo Bệnh viện Thống Nhất (TP HCM), trước đó, bệnh viện cũng đã cứu sống 2 bệnh nhân có túi phình mạch máu não khổng lồ, dọa đột tử.
Trường hợp thứ nhất là nữ bệnh nhân 78 tuổi, xuất hiện triệu chứng đau đầu, dùng thuốc nhiều lần nhưng không hiệu quả. Kết quả chụp CT mạch máu não phát hiện hai túi phình có kích thước 19x20mm mỗi bên động mạch cảnh. Trong đó, túi phình bên phải có nguy cơ vỡ rất cao, nếu không kịp thời điều trị có thể đột tử bất kỳ lúc nào.
Trường hợp thứ hai là nữ bệnh nhân 68 tuổi bị xuất huyết não thể nhẹ. Tuy nhiên, khi thực hiện các cận lâm sàng phát hiện túi phình ở vị trí khác có kích thước 14x11mm. Bệnh nhân có tiền căn huyết áp cao, đái tháo đường.
Cả hai bệnh nhân đều có triệu chứng đau đầu dai dẳng, tăng lên mỗi ngày. Túi phình khổng lồ được bác sĩ chẩn đoán dọa vỡ, khả năng cứu sống dưới 1% nếu điều trị không kịp thời.
BS.CK1 Huỳnh Tấn Khảo, Phụ trách Đơn vị đột quỵ, khoa Tim mạch, Bệnh viện Lê Văn Thịnh (TP HCM) cho biết, sau khi tiếp nhận hai nữ bệnh nhân lớn tuổi, cả 2 đều có túi phình mạch máu não khổng lồ, nguy cơ vỡ cao. Do vậy, Bệnh viện Lê Văn Thịnh đã chuyển bệnh nhân về Bệnh viện Thống Nhất để can thiệp kịp thời. Trong đó, với bệnh nhân 68 tuổi, Bệnh viện Thống Nhất tiến hành điều trị xuất huyết não ổn định mới xử lý túi phình.
ThS.BS Trang Mộng Hải Yên - Trưởng Đơn vị can thiệp thần kinh, Khoa Can thiệp Cấp cứu và Tim mạch, Bệnh viện Thống Nhất cho biết, hai bệnh nhân được điều trị bằng phương pháp stent chuyển dòng chảy. Phương pháp này giúp hạn chế dòng máu chảy vào túi phình và dòng máu từ túi phình đi ra. Stent chuyển dòng chảy giúp điều hướng chảy một dòng duy nhất. Sau một thời gian, máu trong túi phình sẽ đông lại và xẹp dần.
Ưu điểm của phương pháp này là không cần gây mê, chỉ cần gây tê tại vị trí đâm kim. Quá trình can thiệp chỉ mất 30 phút để bung stent trong mạch máu. Những phương pháp cũ không thể can thiệp trên túi phình khổng lồ. Với phương pháp này, tỷ lệ thành công trên 80%.

