Điều kỳ diệu ca phẫu thuật lấy máu tụ dưới màng cứng ở người bệnh 89 tuổi

Khi quyết định phẫu thuật, tiên lượng những khó khăn phía trước là rất lớn, nguy cơ ngừng tim có thể xảy ra bất cứ lúc nào do bệnh lý tim mạch nền nặng.

Một ca bệnh đặc biệt vừa được các bác sĩ Khoa Ngoại Thần kinh – Bệnh viện Đa khoa Bắc Ninh số 1 điều trị thành công, mang lại niềm vui và hy vọng cho gia đình cụ ông Ngô Quang N. (89 tuổi, trú tại phường Cảnh Thuỵ, tỉnh Bắc Ninh).

Bệnh nhân nhiều bệnh nền, 6 tháng ròng rã điều trị liên tục

Cụ N có tiền sử bệnh lý phức tạp, tăng huyết áp, suy tim, suy thận, gout, viêm phổi, nhiễm khuẩn huyết, xuất huyết tiêu hoá (2024), từng mổ u gout (6/2025), đặt máy tạo nhịp tim (8/2025) và điều trị nhiễm khuẩn huyết – viêm phổi (9/2025).

Tháng 10/2025, cụ N. nhập viện điều trị nội trú tại Trung tâm Bệnh Nhiệt đới trong tình trạng sốt chưa rõ nguyên nhân, đau đầu, lơ mơ, tiểu không tự chủ.

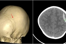
Kết quả chụp CT sọ não phát hiện tụ máu dưới màng cứng bán cầu phải. Bệnh nhân được chuyển sang Khoa Ngoại Thần kinh theo dõi và điều trị nội khoa tích cực.

Sau 13 ngày, diễn biến nặng lên, khối máu tụ tăng kích thước, gây chèn ép não, đe dọa tính mạng. Nhận định đây là ca bệnh cực kỳ nguy kịch, ThS.BS Dương Văn Tuyên – phẫu thuật viên chính – cùng ê-kíp đã hội chẩn và thống nhất chỉ định phẫu thuật lấy máu tụ dưới màng cứng bán cầu phải.

lay-mau-mang-cung.jpg
Người bệnh hồi phục sau phẫu thuật - Ảnh BVCC

2 lần chỉ định chuyển tuyến trên gia đình xin ở lại điều trị

Trong quá trình điều trị, hai lần bệnh viện đã có chỉ định chuyển tuyến trên, song gia đình đều xin ở lại vì tin tưởng vào năng lực chuyên môn và tinh thần tận tâm của đội ngũ y bác sĩ nơi đây.

“Gia đình chúng tôi đã chứng kiến nhiều lần cụ bệnh nặng tưởng không qua khỏi, nhưng các bác sĩ ở đây đã hết lòng cứu chữa. Lần này, chúng tôi tiếp tục đặt trọn niềm tin và thật may mắn khi cụ đã hồi phục”, người nhà bệnh nhân xúc động chia sẻ.

Sau 9 ngày phẫu thuật, cụ N. tỉnh táo, ăn uống tốt, vết mổ khô và liền đẹp, được xuất viện trong niềm vui của gia đình và tập thể y bác sĩ.

“Khi quyết định phẫu thuật, chúng tôi tiên lượng những khó khăn phía trước là rất lớn. Nguy cơ ngừng tim có thể xảy ra bất cứ lúc nào do bệnh lý tim mạch nền nặng của bệnh nhân.

Thành công của ca mổ phụ thuộc gần như hoàn toàn vào khả năng kiểm soát tình huống trong từng giây của ê-kíp phẫu thuật. Nhưng thật may mắn, điều kỳ diệu đã đến”, ThS.BS Dương Văn Tuyên, Khoa Ngoại Thần kinh chia sẻ.

Trường hợp cụ Ngô Quang N. là một minh chứng rõ nét cho năng lực chuyên môn và tấm lòng y đức của đội ngũ thầy thuốc Bệnh viện Đa khoa Bắc Ninh số 1 – nơi những “điều kỳ diệu” không chỉ đến từ y học hiện đại, mà còn từ niềm tin, sự kiên trì và tinh thần tận tâm cứu người.

Tay sưng nề đau tức vì biến chứng chèn ép khoang hiếm gặp do sốt xuất huyết

Sốt xuất huyết gây ra nhiều biến chứng nguy hiểm như sốc, xuất huyết nội tạng hay suy tạng, xuất huyết cơ, tụ máu, chèn ép khoang hoặc tổn thương thần kinh.

Ngày 30/10, Bệnh viện Bệnh Nhiệt đới Trung ương cho biết, bệnh viện đã tiếp nhận và điều trị bệnh nhân bị chèn ép khoang hiếm gặp do sốt xuất huyết Dengue biến chứng.

Khám nhiều nơi mới phát hiện ra bệnh

Bé 3 tuổi bị tụ máu não sau ngã, cảnh báo tai nạn sinh hoạt ở trẻ nhỏ

Chấn thương sọ não ở trẻ nhỏ là tai nạn sinh hoạt xảy ra khá phổ biến, nguy cơ để lại di chứng nặng nề, đe dọa tính mạng nếu không được điều trị kịp thời.

Các bác sĩ Bệnh viện Đa khoa tỉnh Quảng Ninh đã phẫu thuật cấp cứu thành công một trường hợp bệnh nhi 3 tuổi bị ngã vỡ xương sọ, tụ máu ngoài màng cứng, phục hồi tốt chỉ sau 2 ngày.

Bệnh nhi 3 tuổi trú tại phường Hồng Gai, tỉnh Quảng Ninh. Theo gia đình cho biết, 1 ngày trước khi nhập viện, trẻ không may ngã cầu thang trong lúc chơi ở nhà. Sau ngã, trẻ không quấy khóc, vẫn vui chơi nên gia đình chủ quan không đưa đi kiểm tra. Tuy nhiên hôm sau, trẻ sưng đau vùng đầu, nôn và quấy khóc nên được gia đình nhanh chóng đưa vào viện.

Cứu người thương binh tụ máu não nặng, nhiều bệnh nền

Đây là một ca phẫu thuật khó, tiềm ẩn nhiều nguy cơ và rủi ro. Ca mổ kéo dài hơn 2 tiếng trong không khí căng thẳng, thận trọng tuyệt đối.

Ông Nguyễn Văn Cam (79 tuổi, phường Mạo Khê, tỉnh Quảng Ninh) bị tụ máu não mức độ nặng, rơi vào hôn mê sâu, nguy cơ tử vong cao.

Thế nhưng, với quyết tâm “còn nước còn tát” của gia đình và sự tận tâm của các y bác sĩ Bệnh viện Việt Nam – Thụy Điển Uông Bí, người thương binh ấy đã hồi sinh kỳ diệu.

Đọc nhiều nhất

Tin mới

Đi khám sức khỏe phát hiện ung thư amidan

Đi khám sức khỏe phát hiện ung thư amidan

Người dân cần chủ động thăm khám sức khỏe định kỳ, đặc biệt khi có dấu hiệu bất thường vùng tai mũi họng, đau họng kéo dài, nuốt vướng, khàn tiếng, nổi hạch cổ…