Theo The Sun, số ca mắc bệnh đậu mùa khỉ trên thế giới hiện nay ngày càng tăng. Căn bệnh này có thể gây phát ban trên cơ thể cùng với các triệu chứng như sốt và đau đầu. Đây cũng là những dấu hiệu tương tự của một căn bệnh phổ biến mà trẻ em thường mắc phải - bệnh thủy đậu.
Vậy, sự khác biệt chính giữa bệnh đậu mùa khỉ và thủy đậu là gì?
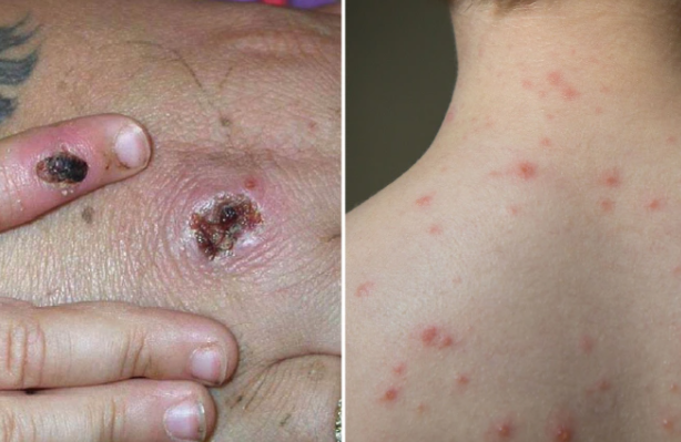
![]() |
| Ảnh: The Sun. |
Bệnh đậu mùa khỉ
Đậu mùa khỉ là một căn bệnh hiếm gặp, đang lây lan ở nhiều quốc gia trên thế giới. Mặc dù bệnh đậu mùa khỉ là bệnh ít nghiêm trọng hơn so với đậu mùa và sẽ khỏi theo thời gian, nhưng trong một số trường hợp, nó có thể dẫn đến tử vong. Tổ chức Y tế Thế giới (WHO) cho biết, khoảng 6% trường hợp (mắc bệnh đậu mùa khỉ) tử vong.
Các triệu chứng thường kéo dài từ 5 đến 21 ngày sau khi người bệnh phơi nhiễm. Bệnh có triệu chứng khởi phát tương tự như bệnh cúm, nhưng sau đó phát ban, thường bắt đầu trên mặt. Các triệu chứng ban đầu bao gồm: Sốt, đau đầu, đau cơ, đau lưng, sưng hạch bạch huyết, ớn lạnh, kiệt sức.
Phát ban ngứa và đôi khi đau từ từ xuất hiện từ 1 đến 3 ngày sau khi phát bệnh, bắt đầu từ mặt, lòng bàn tay và lòng bàn chân.
Lúc đầu, phát ban đỏ dường như vô hại - trông giống như bệnh thủy đậu - rồi tiến triển thành mụn nước, có thể kéo dài vài ngày. Bên trong miệng, bộ phận sinh dục và niêm mạc của mắt cũng có thể bị ảnh hưởng bởi phát ban khó chịu, nếu lây sang mắt có thể gây mù.
Bệnh thủy đậu
Theo The Sun, sự khác biệt chính giữa bệnh đậu mùa khỉ và thủy đậu là bệnh thủy đậu thường không gây đau đầu và sưng hạch bạch huyết.
Thủy đậu là một bệnh nhiễm trùng có tính truyền nhiễm cao khác do virus varicella zoster gây ra, và biểu hiện bằng phát ban đặc trưng, với các mụn nước trên mặt, lan xuống cơ thể đến cánh tay và chân.
Nhìn chung, bệnh nhẹ ở trẻ em khỏe mạnh, nhưng có thể nặng hơn ở phụ nữ mang thai và những người bị ức chế miễn dịch. Trẻ em bị thủy đậu nên ở nhà cho đến khi khỏe hơn và hết phát ban. Trẻ mắc thủy đậu thường có cảm giác ngứa ngáy khó chịu, dù không nổi nhiều nốt mụn.
Trước khi phát ban xuất hiện, người bệnh có thể sốt cao, đau nhức kèm cảm giác ốm yếu và chán ăn.
Người lớn mắc bệnh thủy đậu thường sẽ có các triệu chứng lâu hơn và trong hầu hết các trường hợp sẽ có nhiều nốt mụn hơn.
Mời độc giả xem thêm video: TP.HCM lên kịch bản ứng phó bệnh đậu mùa khỉ (Nguồn video: THĐT)

