Cứu bệnh nhân tắc, hẹp 90% động mạch liên thất trước

Việc làm chủ kỹ thuật khó bậc nhất trong lĩnh vực tim mạch can thiệp mạch vành góp phần nâng cao chất lượng điều trị, mang đến nhiều cơ hội sống cho người bệnh.

Dưới sự hỗ trợ của chuyên gia Nhật Bản, các bác sĩ Khoa Tim mạch, Bệnh viện Đa khoa tỉnh Thanh Hóa đã thực hiện thành công một ca can thiệp tim mạch vô cùng phức tạp cho bệnh nhân cao tuổi có tổn thương động mạch vành phức tạp.

Bệnh nhân là ông Lưu Hùng T. (77 tuổi, trú tại phường Hạc Thành, tỉnh Thanh Hóa), có tiền sử tăng huyết áp, đái tháo đường tuýp 2 và từng bị nhồi máu cơ tim, đã được đặt stent động mạch vành 1 tháng trước, tắc hoàn toàn mạn tính động mạch mũ, hẹp nặng động mạch liên thất trước.

nhoi-mau-2.jpg
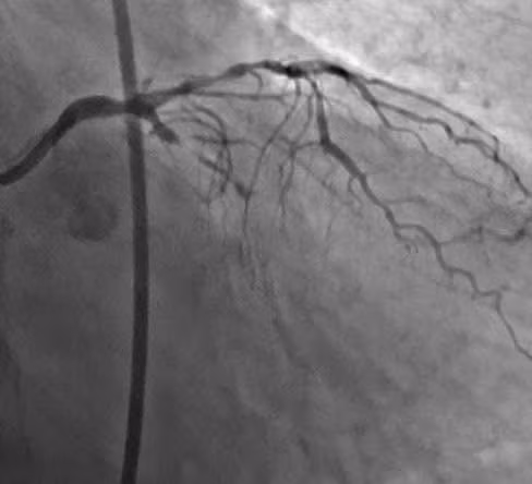
Tổn thương trước chụp động mạch vành - Ảnh BVCC

Tuy nhiên sau can thiệp, bệnh nhân vẫn còn những cơn đau tức ngực trái, kèm theo khó thở, siêu âm tim chức năng tim giảm (EF 46%), chính vì vậy bệnh nhân được chỉ định can thiệp các nhánh động mạch vành còn lại.

Kết quả chụp động mạch vành cho thấy động mạch liên thất trước (nhánh mạch máu quan trọng nhất của tim) bị hẹp khít tới 90%. Động mạch vành mũ đã bị tắc hoàn toàn mạn tính (CTO).

Điều này đồng nghĩa với việc hai trong ba nhánh chính nuôi tim đều bị tổn thương nghiêm trọng, đẩy trái tim vào tình trạng thiếu máu nuôi dưỡng có nguy cơ cao dẫn đến suy tim nặng, thậm chí tử vong bất cứ lúc nào.

528364993-1350142763777854-646780347284793516-n-5346.jpg
TS. Shozo Ishihana – Bệnh viện Đa khoa Mimihara, Osaka, Nhật Bản cùng các bác sĩ khoa Tim mạch thực hiện kỹ thuật can thiệp cho bệnh nhân T.- Ảnh BVCC

Trước một ca bệnh đầy thách thức, giải pháp phẫu thuật bắc cầu động mạch vành (mổ tim hở) được cân nhắc nhưng không khả thi do bệnh nhân lớn tuổi, có nhiều bệnh lý nền và nguy cơ biến chứng cao. Do đó, các bác sĩ đã ưu tiên phương pháp can thiệp nội mạch qua da.

Để giải quyết tổn thương CTO của động mạch mũ vốn là thách thức lớn nhất cho tất cả các bác sĩ can thiệp vì những tổn thương này việc can thiệp rất khó khăn do mạch máu đã tắc và vôi hoá từ lâu, ê-kíp đã quyết định thực hiện ca can thiệp với sự hỗ trợ kỹ thuật từ TS. Shozo Ishihana – chuyên gia tim mạch can thiệp đến từ Bệnh viện Đa khoa Mimihara, Osaka, Nhật Bản.

nhoi-mau-3.jpg
Đưa dây dẫn siêu cứng qua tổn thương động mạch mũ - Ảnh BVCC

Dưới sự dẫn đường của hệ thống chụp mạch xóa nền kỹ thuật số (DSA), đội ngũ bác sĩ đã phối hợp chặt chẽ, sử dụng các dụng cụ chuyên biệt gồm dây dẫn siêu nhỏ và siêu cứng (guidewire) với sự hỗ trợ của các vi ống thông (microcatheter) để tiếp cận và đưa dây dẫn qua vị trí tắc mạn tính của động mạch vành mũ. Sau đó, các bác sĩ đã đặt 01 Stent tái thông động mạch mũ một cách an toàn.

Toàn bộ ca can thiệp diễn ra trong 45 phút căng thẳng, đòi hỏi kỹ năng chuyên sâu, sự phối hợp nhịp nhàng và tập trung cao độ.

Kết quả, nhánh động mạch mũ tắc hoàn toàn mạn tính đã được tái thông hoàn toàn, phục hồi dòng máu nuôi dưỡng cơ tim, chấm dứt các triệu chứng thiếu máu cơ tim và mở ra cơ hội sống cho người bệnh.

Sau can thiệp, bệnh nhân hết đau ngực, không khó thở, các chỉ số sinh tồn ổn định và được xuất viện chỉ sau 4 ngày điều trị.

nhoi-mau-4.jpg
Hình ảnh sau đặt Stent động mạch mũ - Ảnh BVCC

TS.BS. Lê Thế Anh, Trưởng khoa Tim mạch cho biết: “Việc làm chủ kỹ thuật can thiệp CTO – một kỹ thuật khó bậc nhất trong lĩnh vực tim mạch can thiệp mạch vành không chỉ khẳng định trình độ chuyên môn cao của đội ngũ bác sĩ tại bệnh viện mà còn cho thấy hiệu quả thiết thực từ các chương trình hợp tác quốc tế.

Chúng tôi tin rằng, sự kết nối và chia sẻ kinh nghiệm với các chuyên gia hàng đầu thế giới sẽ góp phần nâng cao chất lượng điều trị, mang đến nhiều cơ hội sống hơn cho người bệnh tim mạch nặng”.

nhoi-mau-1.jpg
TS.BS. Lê Thế Anh, Trưởng khoa Tim mạch thăm khám cho bệnh nhân trước khi xuất viện - Ảnh BVCC

Thành công của ca can thiệp này là sự hội tụ của nhiều yếu tố: Chẩn đoán chính xác, chiến lược điều trị phù hợp, trình độ kỹ thuật chuyên sâu, thiết bị hiện đại và tinh thần hợp tác không biên giới.

Đây không chỉ là dấu ấn chuyên môn, mà còn là minh chứng rõ nét cho sự hội nhập mạnh mẽ và phát triển bền vững của chuyên ngành tim mạch can thiệp tại Thanh Hoá.

Loại nhồi máu cơ tim có biểu hiện giống bệnh đường tiêu hóa

Một số bệnh nhân nhồi máu cơ tim không có triệu chứng dẫn tới dễ nhầm lẫn với các bệnh lý đường tiêu hóa. làm chậm trễ quá trình cấp cứu, chẩn đoán và điều trị.

Đa số các trường hợp nhồi máu cơ tim có triệu chứng điển hình như đau thắt ngực, khó thở, vã mồ hôi… tuy nhiên, một số bệnh nhân không có triệu chứng này dẫn tới dễ nhầm lẫn với các bệnh lý đường tiêu hóa. Điều này rất nguy hiểm vì làm chậm trễ quá trình cấp cứu, chẩn đoán và điều trị.

Nguy kịch vì sốc tim

Người đàn ông 44 tuổi bị nhồi máu cơ tim cấp không ST chênh

Người dân không nên chủ quan khi có dấu hiệu đau ngực, khó thở, vã mồ hôi, mệt bất thường vì đó có thể là dấu hiệu cảnh báo bệnh nguy kịch.

Ngày 24/7, Bệnh viện Bãi Cháy cho biết, các bác sĩ Khoa Tim mạch đã can thiệp cấp cứu thành công cho một trường hợp nhồi máu cơ tim cấp không ST chênh – một trong những thể bệnh dễ bị bỏ sót nhưng tiềm ẩn nguy cơ tử vong cao nếu không được chẩn đoán, can thiệp kịp thời.

nhoi-mau-st.jpg
Ths.BS Đinh Danh Trình, Trưởng khoa Tim mạch khám lại cho bệnh nhân - Ảnh BVCC

Giành lại sự sống cho người đàn ông 69 tuổi ngưng tuần hoàn

Các bác sĩ Bệnh viện Đại học Y Hà Nội đã kích hoạt báo động đỏ, phối hợp các khoa, tiến hành hồi sinh tim phổi, giành sự sống cho bệnh nhân ngưng tuần hoàn.

Bệnh viện Đại học Y Hà Nội mới đây đã tiếp nhận nam bệnh nhân 69 tuổi, nhập viện vì nhồi máu cơ tim cấp. Trong quá trình điều trị, bệnh nhân đột ngột xuất hiện tình trạng rối loạn nhịp tim, ngừng tuần hoàn.

Đọc nhiều nhất

Tin mới