Người đàn ông này đã trải qua một cuộc phẫu thuật để cắt bỏ một khối u lành tính trong thành ruột. Tuy nhiên, kíp mổ đã không nhớ gỡ bỏ hàm giả của bệnh nhân trước khi phẫu thuật. Sáu ngày sau, người đàn ông này quay lại bệnh viện vì có máu trong miệng và gặp khó khăn trong việc thở và nuốt, khiến ông không thể ăn thức ăn cứng.
Cuối cùng, ông đã phải thực hiện một ca phẫu thuật nữa để gỡ bỏ hàm răng. Trường hợp này đã được tiết lộ trên trang British Medical Journal hôm 12/8. Tác giả Harriet Cunnife của bệnh viện James Paget ở miền đông nước Anh, đã kêu gọi các bác sĩ phẫu thuật phải đảm bảo rằng hàm giả của bệnh nhân được tháo ra trước ca mổ.
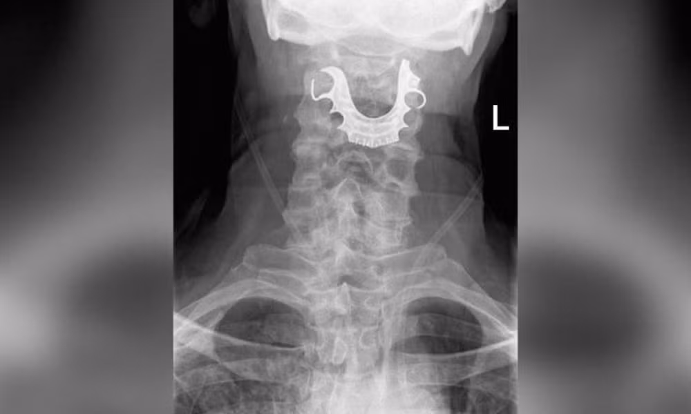
![]() |
| Phim chụp hàm răng giả mắc trong cổ họng bệnh nhân. |
Khi người đàn ông này quay lại bệnh viện lần đầu tiên, các bác sĩ đã không chẩn đoán được vấn đề và ông đã được chỉ định về nhà với đơn thuốc bao gồm nước xúc miệng, kháng sinh và thuốc giảm đau.
Tuy nhiên, hai ngày sau người đàn ông đã quay trở lại bệnh viện với các triệu chứng nặng hơn, và đã được nhập viện vì nghi ngờ viêm phổi hít – một dạng nhiễm trùng phổi nghiêm trọng.
![]() |
| Phim chụp hàm răng giả mắc trong cổ họng bệnh nhân. |
Cuối cùng, liệu trình chẩn đoán đã xác định được một vật thể hình bán nguyệt nằm chặn ngang dây thanh quản của ông, gây ra các vết xước và sưng tấy trong vòm họng. Người đàn ông đã được đưa vào phẫu thuật khẩn cấp để gỡ bỏ hàm răng giả. Ông đã phải ở lại bệnh viện trong 6 ngày sau đó.
Trong vòng một tháng tiếp theo, ông đã phải trở lại bệnh viện nhiều lần vì các biến chứng, trước khi bắt đầu hồi phục.
Ngoài khuyến cáo rằng, các bác sĩ phải gỡ bỏ hàm giả của bệnh nhân trước khi thực hiện phẫu thuật, bản tin còn chỉ ra rằng các bác sĩ tại bệnh viện đã không lắng nghe bệnh nhân trong lần đầu tiên ông trở lại bệnh viện, khi ông đã nói rằng ông bị mất hàm răng giả của mình.


