Con mắt thứ ba biến mất và hơn 10 bí mật về cơ thể

Dưới đây là những đặc điểm đáng kinh ngạc của con người mà hầu hết chúng ta đều không biết, và có những chi tiết sẽ khiến bạn phải há hốc mồm vì ngạc nhiên.

Con người ngày xưa có con mắt thứ ba

Một nghiên cứu tiết lộ rằng tổ tiên tiền động vật có vú của chúng ta thực sự có con mắt thứ ba, hay khoa học gọi nó là con mắt tùng. Bộ phận này được sử dụng để điều chỉnh nhiệt độ cơ thể và sau khi con mắt thứ 3 biến mất, chúng ta đã chuyển từ loài "máu lạnh" sang loài "máu nóng".

Con mat thu ba bien mat va hon 10 bi mat ve co the
Con người từng có con mắt thứ ba dùng để điều chỉnh nhiệt độ.

Chúng ta có thể có những vết bớt màu xanh

Các vết bớt có thể có 9 màu khác nhau, bao gồm cả màu xanh lam. Chúng được gọi là dấu vết của người Mông Cổ và thường xuất hiện ở thắt lưng của trẻ sơ sinh, biến mất khi trẻ lên 3 hoặc 4 tuổi.

Con mat thu ba bien mat va hon 10 bi mat ve co the-Hinh-2

Bụng của chúng ta cũng đỏ lên khi chúng ta đỏ mặt

Khi chúng ta đỏ mặt, adrenaline sẽ được giải phóng, làm tăng huyết áp. Vì dạ dày của chúng ta có một mạng lưới mao mạch rộng lớn, nên màu đỏ do lượng máu dồn về nhiều có thể khiến không chỉ mặt đỏ, mà bụng cũng có màu tương tự.

Con mat thu ba bien mat va hon 10 bi mat ve co the-Hinh-3

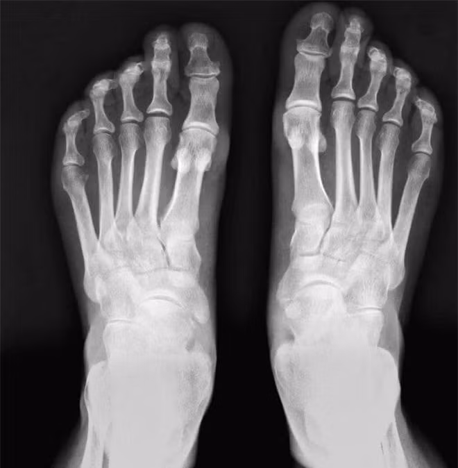
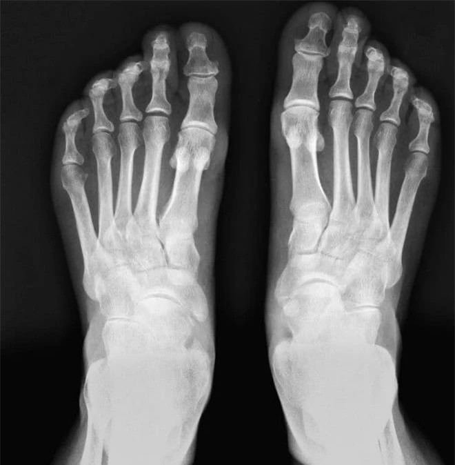
25% xương của một người trưởng thành nằm ở bàn chân của họ

Nó là một bộ phận nhỏ trên cơ thể, nhưng có tầm quan trọng lớn, mỗi bàn chân của chúng ta chứa 26 xương và hơn 100 cơ, gân và dây chằng. Ngay cả xương nhỏ nhất trên bàn chân của bạn cũng có thể nâng đỡ cơ thể, tạo ra sự ổn định và cân bằng.

Con mat thu ba bien mat va hon 10 bi mat ve co the-Hinh-4

Móng tay mọc không giống nhau ở mỗi ngón tay

Bởi vì bạn sử dụng tay thuận nhiều hơn, nên móng tay trên bàn tay thuận sẽ phát triển nhanh hơn so với bàn tay còn lại. Vì não bộ gửi nhiều máu và chất dinh dưỡng cho tay thuận, nên tốc độ phát triển của móng cũng sẽ nhanh hơn.

Con mat thu ba bien mat va hon 10 bi mat ve co the-Hinh-5

Trẻ sơ sinh có nhiều xương hơn người lớn

Trẻ sơ sinh có tới 300 chiếc xương, trong khi người lớn chỉ có 206 chiếc. Trẻ sơ sinh có nhiều sụn và “mô mềm” trên khắp cơ thể, khi chúng ta lớn lên, một số mô mềm sẽ chuyển hóa thành xương. Những mô mềm này khiến các xương hợp nhất lại với nhau, và đó là lý do tại sao chúng ta mất đi 94 chiếc xương khi trưởng thành.

Con mat thu ba bien mat va hon 10 bi mat ve co the-Hinh-6

Chúng ta có một luồng ánh sáng tự nhiên

Chúng ta không thể nhìn thấy nó, nhưng con người có khả năng phát quang sinh học của riêng mình. Các nhà nghiên cứu phát hiện ra rằng cơ thể con người phát sáng vào ban ngày, với vùng trán, cổ và má là sáng nhất. Điều này xảy ra do quá trình hô hấp của tế bào tạo ra các gốc tự do, kết hợp với các chất béo và protein trôi nổi tự do trong không khí, tạo ra một photon - hay nói cách khác, là một tia sáng.

Con mat thu ba bien mat va hon 10 bi mat ve co the-Hinh-7

Em bé có thể thở và nuốt cùng một lúc

Khi trưởng thành, chúng ta sẽ bị sặc hoặc nghẹt nếu vừa thở vừa nuốt thức ăn bằng miệng. Nhưng đối với trẻ nhỏ từ sơ sinh đến 3 tháng tuổi, chúng hoàn toàn có thể thở và nuốt thức ăn cùng lúc mà không gặp trở ngại gì. Thanh quản của trẻ sơ sinh nằm ở vị trí cao trong khoang mũi và khi chúng lớn hơn, bộ phận này sẽ tụt xuống cổ họng.

Con mat thu ba bien mat va hon 10 bi mat ve co the-Hinh-8

Nhiệt độ ở mũi thay đổi khi chúng ta nói dối

Hiệu ứng Pinocchio là có thật, nhưng thay vì dài ra, mũi của chúng ta lại nóng hơn bình thường mỗi khi chúng ta nói dối. Mặt khác khi chúng ta cố gắng vận dụng trí não, một phần não bộ được gọi là lỗ thông được kích hoạt, làm thay đổi nhiệt độ xung quanh mũi và khóe mắt của chúng ta.

Con mat thu ba bien mat va hon 10 bi mat ve co the-Hinh-9

Tóc có thể mọc nhanh hơn khi đi máy bay

Áp suất khí quyển cao khi chúng ta đang đi máy bay hoặc khi chúng ta lặn dưới nước có thể khiến tóc bạn mọc nhanh hơn. Trên thực tế, các nhà nghiên cứu hiện đang xem xét đến việc sử dụng huyết tương khí quyển để chữa hói đầu và rụng tóc từng mảng trong tương lai.

Con mat thu ba bien mat va hon 10 bi mat ve co the-Hinh-10

Một số người sinh ra đã có đuôi

Mặc dù hiếm gặp, nhưng một số người có thể sinh ra với một cái đuôi. Đó là hậu quả của chứng rối loạn chức năng cột sống.

Con mat thu ba bien mat va hon 10 bi mat ve co the-Hinh-11

Người vợ ngã ngửa khi phát hiện bí mật của chồng

Người phụ nữ bất hạnh tên Tiểu Di (36 tuổi) ở Trung Quốc đã ngậm ngùi chia sẻ lên MXH câu chuyện đáng thương của mình, thu hút sự chú ý của cư dân mạng.

Theo lời kể của người phụ nữ, cô là mẹ của ba đứa trẻ và có cuộc sống hôn nhân hạnh phúc viên mãn. Tuy nhiên dạo gần đây bạn thân cô vừa sinh em bé, là bạn bè lâu năm cũng có kinh nghiệm trong việc sinh nở nên Tiểu Di đã đến bệnh viện chăm bạn mới sinh.

Cay đắng phát hiện con gái bạn thân có vết bớt giống chồng mình

Tình cờ phát hiện ra vết bớt trên cơ thể con gái mới sinh của bạn thân, người phụ nữ cay đắng nhận ra mình bị cắm sừng bấy lâu nay.

Tình cờ phát hiện ra vết bớt trên cơ thể con gái mới sinh của bạn thân, người phụ nữ cay đắng nhận ra mình bị “cắm sừng” bấy lâu nay.

9 điều cần biết trước khi phẫu thuật kéo dài chân

Theo Insider, việc phẫu thuật kéo dài chân không đơn giản thực hiện xong là có thể lập tức đi lại được. Nó cần quá trình phục hồi kéo dài và phức tạp hơn.

9 dieu can biet truoc khi phau thuat keo dai chan

Phẫu thuật kéo dài chân cần một quá trình lâu dài để hồi phục và hoạt động như bình thường. Ảnh: MTM.

Bác sĩ Shahab Mahboubian, chuyên gia trong lĩnh vực phẫu thuật kéo dài chân, chia sẻ với trang Business Insider rằng không có chuyện bệnh nhân sẽ dễ dàng đi lại ngay sau cuộc phẫu thuật kéo dài chân.

Đọc nhiều nhất

Tin mới

Sản phụ sau sinh ăn gì để lợi sữa?

Sản phụ sau sinh ăn gì để lợi sữa?

Mẹ bầu sau sinh cần một chế độ dinh dưỡng cân đối, khoa học giữa các nhóm chất dinh dưỡng như chất đạm, chất béo, chất bột đường, vi khoáng, chất xơ.