Phôi thai bị lấy cắp
Bà Nguyễn Thị N. (Quế Võ, Bắc Ninh) cho biết, bà cùng chồng đã kết hôn vào năm 1990, có với nhau 4 con, cháu lớn nhất đã 29 tuổi, cháu nhỏ nhất mới hơn 1 tuổi.
Bà N. kể, do tuổi đã cao lại muốn có thêm con, bà cùng chồng đến Trung tâm Hỗ trợ sinh sản, BV Bưu Điện để làm thụ tinh ống nghiệm. Kết quả, vợ chồng bà lọc được 2 phôi, phôi 1 chuyển vào ngày 31/12/2017 và thành công, đến tháng 9/2018, bà sinh con thứ 4 là bé trai. Phôi còn lại, 2 vợ chồng quyết định gửi lại Trung tâm để cấp đông lưu trữ.
Đến tháng 4/2019, khi đang chăm con trai được hơn 7 tháng, bà N. bất ngờ nhận được cuộc gọi của BV Bưu Điện hỏi về tình hình sức khoẻ thai nhi. Ngỡ ngàng một hồi lâu, bà N. hỏi phôi được chuyển khi nào, BV thông báo, phôi được chuyển vào ngày 2/4/2019 và gia đình báo đã đậu thai.
Nghi ngờ phôi đã bị đánh cắp, bà N. tra hỏi chồng và ông đã thừa nhận lấy cắp phôi của vợ cho cô G.T.D., 45 tuổi ở Bắc Giang mang thai.
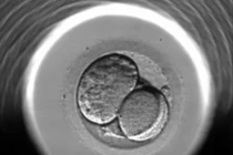
![]() |
| Phôi thai còn lại của bà N. đã bị chồng lập mưu đánh cắp |
Bà N. cho biết, giữa chồng bà và cô D. có mối quan hệ bất chính từ 2016. Cô D. đã có con gái lớn 17 tuổi nhưng chồng đã qua đời, giờ lại muốn có thêm con nên cũng từng đi chạy chữa ở nhiều nơi.
Đến tháng 2 vừa qua, chồng bà N. đưa cô D. đến Trung tâm Hỗ trợ sinh sản, BV Bưu Điện để làm thủ tục cấy phôi cho cô D. (thực chất là phôi của bà N.).
Để hợp pháp hoá thủ tục, chồng bà N. đã làm giả giấy uỷ quyền của vợ, giả cô D. là bà N. để qua mắt nhân viên rà soát của bệnh viện, cung cấp cho cô D. toàn bộ các dữ liệu liên quan đến bà N. cũng như cuộc hôn nhân của 2 vợ chồng, ngày đăng ký kết hôn, tên các con... để trả lời khi bị hỏi.
Ông chồng quá “thủ đoạn” nên BV không phát hiện được
Khi được hỏi về trách nhiệm để xảy ra việc bị mất phôi thai, BS Nguyễn Thị Nhã, Trưởng Trung tâm hỗ trợ sinh sản, BV Bưu Điện cho biết, khi nhận được đơn của bà N., trung tâm đã rà soát lại toàn bộ quy trình, đều thấy làm rất chuẩn.
“Ông chồng quá thủ đoạn, có đủ hết giấy tờ bản gốc, chúng tôi không phải công an nên không thể phát hiện ra được”, bà Nhã nói.
Bà Nhã cho biết, quy trình làm thụ tinh ống nghiệm ở trung tâm rất chặt chẽ, để làm thủ tục lọc trứng, chuyển phôi, gửi phôi đều phải có CMND, giấy đăng ký kết hôn của 2 vợ chồng bản gốc và có chữ ký của cả hai.
![]() |
| BS Nguyễn Thị Nhã |
Như hiện tại, mỗi ngày trung tâm chuyển phôi cho 10-20 trường hợp. Khi rà soát, chia thành 4 lớp, lớp đầu tiên rà soát giấy tờ, lớp thứ 2 rà soát khi thay quần áo, rà soát bước 3 trước khi cắm chuyền và lần cuối là trước khi chuyển phôi.
“Chúng tôi có ngân hàng câu hỏi để kiểm tra như hỏi tên chồng, tên con, sinh nhật con, ngày đăng ký kết hôn, kết hôn ở đâu... Nếu trả lời sai, chúng tôi sẽ yêu cầu phải check lại vân tay”, bà Nhã thông tin.
Theo bà Nhã, tại trung tâm có rất nhiều trường hợp làm giả giấy tờ để mang thai hộ nhưng ngay cả khi bị phát hiện mặt quá khác, quá trẻ so với CMND, vân tay không khớp, họ vẫn cãi cố rằng: “Đúng là tôi, làm gì có chuyện khác”.
Khi đó, BV phải nhờ công an đến làm việc, hoặc “doạ” mời công an đến nhiều trường hợp đã tự nhận gian dối và ra về. Nhờ quy trình này, BV đã phát hiện ra vài chục trường hợp gian dối, trong đó có trường hợp gian dối đến 4 lần.
Tuy nhiên trường hợp chuyển phôi lần 2 của bà N. khá tinh vi. Cả chồng bà N. và cô D. đều trả lời khớp tất cả các câu hỏi, lại gần bằng tuổi nhau nên không phát hiện ra sai khác trên CMND, vì vậy nhân viên không mảy may nghi ngờ.
“Khi nhìn CMND cách đây hàng chục năm lại mờ nhoè thì rất khó để phát hiện. Lúc họ để tóc ngắn, lúc để tóc dài thì không thể biết được”, bà Nhã giải thích.
Nói về thủ đoạn tinh vi của ông chồng, BS Nhã cho biết, khi tới BV, bà N. có nói rằng trước đây 2 vợ chồng từng đi khám ở nhiều nơi, có một lần bà để bọc tiền 30 triệu đồng và CMND ở cốp xe, nhờ ông chồng trông để đi vệ sinh. Lúc quay lại, ông chồng nói bị cướp hết rồi. Bà vợ nghi ngờ ông chồng đã lấy CMND của bà từ đó.
Bà Nhã thông tin thêm, chồng bà N. đã tính toán rất kĩ để có thêm được một card phôi, trong đó ghi chi tiết tạo được bao nhiêu phôi, đã chuyển phôi ngày nào, còn lại bao nhiêu phôi. Phải có card này mới có thể làm thủ tục chuyển phôi.
“Cụ thể, khi vợ ở nhà chăm con, ông chồng đã bảo vợ đưa tiền đến BV đóng tiền card lưu phôi. Ông này đến đóng tiền thật rồi cầm card đưa cho vợ. Bà vợ ở nhà yên tâm cầm card trong tay. Sau đó vài ngày, ông ấy quay lại BV báo bị mất card trên đường về và làm đơn xin cấp lại card mới nên BV đã đồng ý cấp lại”, bà Nhã thông tin.
Do toàn bộ hồ sơ chuyển phôi lần 2 đều mang tên bà N., số điện thoại của 2 vợ chồng bà N., nên theo quy định, sau 14 ngày chuyển phôi, bệnh viện sẽ gọi gia đình để hỏi xem đã mang thai chưa. Lần đầu gọi, bà N. không nghe máy, khi gọi cho chồng bà N., ông thông báo vợ đã đậu thai. Lần thứ 2, BV gọi sau khi phôi đậu 21 ngày để hỏi tình hình tim thai, lần này bà N. nghe máy nên mới biết bị đánh cắp phôi thai.
Qua trường hợp đáng tiếc này, bà Nhã cho biết, BV đang lắp hệ thống nhận diện vân tay và mống mắt, mỗi trường hợp sẽ có mã số riêng. Trước khi chuyển phôi sẽ yêu cầu kiểm tra cả 2 vợ chồng, chính xác mới được lấy phôi.
“Bác sĩ chỉ làm chuyên môn thôi nhưng qua trường hợp này, bệnh viện cũng rút kinh nghiệm. Lỗi là ở bộ phận rà soát nhưng nếu kỷ luật thì không hợp tình lắm vì họ có làm đúng cũng không thể phát hiện ra”, bà Nhã nói.

