Mới đây, khoa Chấn thương chỉnh hình cột sống, Bệnh viện Quân đội 108 (Hà Nội), tiếp nhận bệnh nhân 22 tuổi, Hà Nội, trong tình trạng cột sống bị biến dạng rất lớn. Bệnh nhân phải chung sống với thân hình gù, nhìn về phía trước khó khăn.
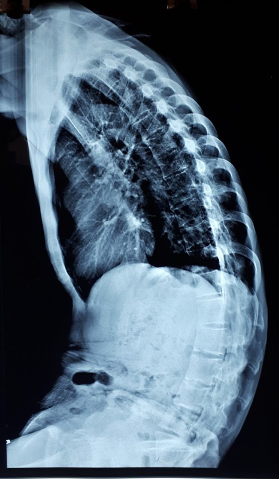
![]() |
| Hình ảnh cho thấy bệnh nhân bị biến dạng gù cột sống nặng. |
Biến dạng gù nặng cột sống khiến bệnh nhân gập cả thân mình, đi khuỳnh chân, mắt không nhìn được xa (chỉ nhìn thẳng xuống đất) gây khó khăn lớn cho vận động. Ngoài ảnh hưởng đến chức năng vận động, tình trạng này còn khiến hệ hô hấp, tiêu hóa của bệnh nhân gặp khó khăn do cột sống gù gập chèn ép lồng ngực và ổ bụng. Bệnh nhân thường bị đầy bụng, khó tiêu, đau tức ngực, thi thoảng khó thở.
Tại Bệnh viện Trung ương 108, các bác sĩ đã tiến hành phẫu thuật nắn chỉnh biến dạng gù bằng kỹ thuật mới. Theo BS Lê Thanh Hùng, khoa Chấn thương chỉnh hình cột sống, kỹ thuật mới giúp quá trình nắn chỉnh biến dạng gù thuận lợi hơn và tăng thêm độ vững chắc cho cột sống. Bệnh nhân không có tổn thương thần kinh sau mổ, hồi phục nhanh, đi lại vận động tốt.
Viêm cột sống dính khớp là bênh lý viêm và cốt hóa các khớp và các dây chằng của cột sống. Gù cột sống là một trong những biến chứng nặng nề của bệnh. Phẫu thuật nắn chỉnh biến dạng gù do viêm cột sống dính khớp được nhận định là thách thức lớn do tình trình trạng cứng, chắc của cột sống, khó tính toán mức độ biến dạng cần nắn chỉnh và vị trí can thiệp vào cột sống để đạt được kết quả tốt.
Bệnh nhân có mức độ gù lớn không thể nhìn thẳng được. Để nhìn đường khi đi bộ, người bệnh phải ngửa cổ, gấp khớp háng và khớp gối. Người bệnh tự ti về dáng vẻ bề ngoài của mình. Phẫu thuật nhằm mục đích cải thiện tầm nhìn thẳng, giúp người bệnh dễ dàng khi đi lại và tự tin hơn.



