Bé 7 tuổi phát hiện khối u thần kinh hiếm gặp

U thần kinh hiếm gặp là một dạng khối u phát triển từ các tế bào thần kinh chưa trưởng thành trong cơ thể của trẻ.

Bệnh nhi nam 7 tuổi (Quảng Yên - Quảng Ninh) nhập viện Việt Nam – Thụy Điển Uông Bí để điều trị bệnh sởi biến chứng viêm phổi.

Trong quá trình điều trị bệnh nhi được siêu âm ổ bụng và tình cờ phát hiện u sau phúc mạc. Sau khi điều trị viêm phổi ổn định bệnh nhi được tiến hành phẫu thuật cắt u sau phúc mạc và gửi mẫu bệnh phẩm để tiến hành làm xét nghiệm mô bệnh học.

kham-soi.jpg
Thực hiện xét nghiệm mẫu bệnh phẩm của bệnh nhi - Ảnh BVCC

Kết quả xét nghiệm là u nguyên bào thần kinh đệm típ đang biệt hóa (Ganglioneuroblastoma). Đây là một loại u thần kinh hiếm gặp, nếu không được phát hiện sớm có thể dẫn đến di căn, khó điều trị và giảm cơ hội sống của người bệnh.

Theo BSCKI Phạm Thị Hoa, khoa Giải phẫu bệnh, Bệnh viện Việt Nam – Thụy Điển Uông Bí cho biết, đây là một dạng khối u phát triển từ các tế bào thần kinh chưa trưởng thành trong cơ thể của trẻ. Khối u này thường nằm dọc theo cột sống, trong bụng, ngực, hoặc tuyến thượng thận.

Ganglioneuroblastoma thường phát triển âm thầm, nên không dễ nhận ra ở giai đoạn đầu, phần lớn trường hợp được phát hiện sau khi u đã di căn tới các phần khác của cơ thể, chẳng hạn như hạch bạch huyết, gan, phổi, xương và tủy xương.

Tuy nhiên, nếu cha mẹ để ý kỹ, có thể thấy một số dấu hiệu bất thường ở trẻ như: Xuất hiện khối u bất thường ở bụng hoặc ngực; Trẻ hay bị đau bụng, buồn nôn, hoặc ăn uống kém; Giảm cân nhanh, mệt mỏi kéo dài; Một số trẻ có thể bị rối loạn thần kinh, yếu tay chân nếu khối u chèn ép vào tủy sống; Tăng huyết áp, ra mồ hôi nhiều – do khối u tiết ra các chất kích thích thần kinh.

Nếu có những dấu hiệu trên, việc đưa trẻ đến bệnh viện để được kiểm tra chuyên sâu là rất cần thiết.

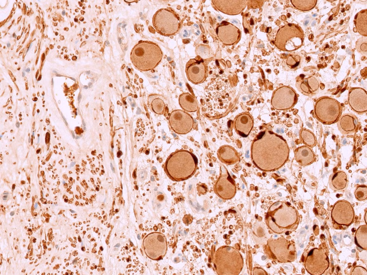
kham-soi-1.jpg
Biểu hiện tế bào của u nguyên bào thần kinh Ganglioneuroblastoma - Ảnh BVCC

Để chẩn đoán bệnh, bác sĩ sẽ chỉ định để người bệnh tiến hành các xét nghiệm như: Siêu âm, chụp CT.Sanner hoặc MRI, kết hợp với xét nghiệm nước tiểu để kiểm tra các chất do khối u tiết ra. Đặc biệt là việc xét nghiệm mô bệnh học (sinh thiết) rất quan trọng để xác định chính xác bản chất của khối u.

Việc điều trị sẽ tùy thuộc vào giai đoạn và mức độ nguy cơ của u, các phương pháp có thể bao gồm: Phẫu thuật để loại bỏ khối u (nếu có thể); Hóa trị nhằm tiêu diệt các tế bào ác tính; Xạ trị trong trường hợp đặc biệt hoặc khi khối u không thể phẫu thuật hoàn toàn.

Nếu phát hiện sớm và điều trị đúng cách, rất nhiều trẻ mắc ganglioneuroblastoma có thể khỏi bệnh và phát triển bình thường. Tiên lượng (khả năng hồi phục) sẽ tốt hơn nếu khối u còn nhỏ, chưa lan rộng và các tế bào u biệt hóa tốt.

Tuy nhiên, do bệnh có thể tái phát, trẻ cần được theo dõi định kỳ sau điều trị.

Ganglioneuroblastoma là một căn bệnh hiếm, nhưng hoàn toàn có thể điều trị hiệu quả nếu được phát hiện kịp thời.

Vì vậy, hãy luôn lắng nghe cơ thể con, đừng bỏ qua những dấu hiệu bất thường. Một lần thăm khám sớm có thể mang lại cả tương lai khỏe mạnh cho trẻ.

Thường xuyên mờ mắt, đau đầu không ngờ u tuyến yên chèn ép

U tuyến yên thường không phải là ung thư nhưng khi tăng trưởng, chúng có thể chèn ép lên các thần kinh và mạch máu quan trọng.

Nhiều người đau đầu, mờ mắt phát hiện u lớn vùng tuyến yên

Chỉ trong vài ngày, khoa Sọ não Cột sống 2 Bệnh viện Đa khoa Xuyên Á đã tiếp nhận hai trường hợp bệnh nhân bị u tuyến yên lớn gây chèn ép dây thần kinh khiến bệnh nhân thường xuyên đau nhức đầu, mờ mắt, cơ thể mệt mỏi. Đó là trường hợp của bệnh nhân H.T.L (48 tuổi, Bình Định) và bệnh nhân N.V.H (74 tuổi, Cà Mau).

Đọc nhiều nhất

Tin mới