Nam bệnh nhân Nguyễn Thanh Sơn, 18 tuổi, ở Mỹ Đức, Hà Nội đến BV đa khoa Hà Đông khám do thấy vùng hàm dưới bên trái sưng to, biến dạng khuôn mặt nhưng không đau.
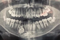
Khi chỉ định chụp X-quang, bác sĩ phát hiện xương hàm dưới có khối u răng kích cỡ 3x4 cm, bên trong chứa nhiều răng to, nhỏ có đầy đủ tổ chức như rằng bình thường, kết lại thành một khối.
![]() |
| Khối u răng của nam bệnh nhân chứa đầy răng to, nhỏ phía trong. |
BS Đinh Thanh Tùng, khoa Răng Hàm Mặt cho biết, ca phẫu thuật kéo dài hơn 1 tiếng. Do khối u răng nằm sâu, chiếm gần hết thân xương hàm, bám dính chắc vào xương hàm nên bác sĩ phải dùng dụng cụ bóc tách, cắt nhỏ từng phần để lấy ra, tránh tổn thương dây thần kinh.
Sau khi gắp lần lượt hàng chục chiếc răng, bác sĩ dùng bơm rửa sạch, sát khuẩn vùng xương hàm trước khi đóng vết mổ.
BS Tùng cho biết, khối u răng đa hợp là một loại u răng lành tính, chủ yếu gặp ở độ tuổi thanh thiếu niên. Bệnh khó phát hiện vì khối u tiến triển âm thầm, thường không gây đau nhức.
Mời độc giả xem video "Cô gái 20 tuổi bị ung thư tham gia cuộc thi sắc đẹp". Nguồn: VTV24.
Một số trường hợp có đau nhưng bệnh nhân lầm tưởng đau do sâu răng hoặc các bệnh lý răng miệng khác dẫn đến chủ quan hoặc điều trị sai cách.
“Nếu để lâu ngày, khối u phát triển to lên gây biến dạng mặt, phá hủy xương, chèn ép dây thần kinh, ảnh hưởng đến sự phát triển của các răng khác”, BS Tùng cảnh báo.
U răng rất khó phát hiện, chỉ qua phim chụp X-quang mới có thể nhìn thấy. U răng được khuyến cáo là u lành tính nhưng sẽ thoái hóa thành u ác tính nếu điều trị sai cách.
Phương pháp điều trị duy nhất là phẫu thuật để lấy u. Nếu được phát hiện sớm phẫu thuật sẽ đơn giản. Trường hợp chậm trễ sẽ rất khó điều trị, thậm chí để lại nhiều di chứng gây nguy hiểm đến tính mạng.
Bác sĩ khuyến cáo, để phòng ngừa bệnh lý u răng đa hợp và bảo vệ sức khỏe răng miệng, người dân nên đi khám và chụp X - quang răng định kỳ 6 tháng hoặc 1 năm một lần.
