Phối hợp liên viện cấp cứu rối loạn nhịp tim nguy kịch bằng công nghệ cao

Rối loạn nhịp tim không chỉ là “hồi hộp thoáng qua”. Với người có bệnh nền tim mạch, đó có thể là tín hiệu của biến cố tim mạch nghiêm trọng.

Nguy cơ đe dọa tính mạng

Nhờ phối hợp kịp thời, Bệnh viện Đa khoa Khu vực Cẩm Phả và Bệnh viện Đa khoa tỉnh Quảng Ninh đã cứu sống người bệnh rối loạn nhịp tim nguy kịch, điều trị triệt để bằng công nghệ cao.

Khoảng 16h ngày 23/02/2026, một bệnh nhân nữ 76 tuổi (Cửa Ông - Quảng Ninh), tiền sử tăng huyết áp, suy tim, rối loạn nhịp và đái tháo đường týp 2 được Bệnh viện Đa khoa khu vực Cẩm Phả tiếp nhận trong tình trạng nhịp tim 162 lần/phút, huyết áp tụt 90/60 mmHg.

Điện tâm đồ xác định cơn nhịp nhanh kịch phát trên thất - một tình trạng có thể nhanh chóng gây suy tim cấp, tụt huyết áp, thậm chí đe dọa tính mạng nếu không xử trí đúng và kịp thời.

nhip-tim-1.jpg

Tuyến khu vực làm chủ “thời gian vàng”

Ngay khi tiếp nhận, kíp cấp cứu Bệnh viện Đa khoa Khu vực Cẩm Phả đã triển khai đầy đủ quy trình cấp cứu tim mạch chuẩn hóa: Theo dõi monitor liên tục; thiết lập đường truyền tĩnh mạch; đánh giá huyết động toàn diện và sử dụng Adenosin tĩnh mạch theo đúng khuyến cáo chuyên ngành tim mạch. Sau xử trí, nhịp tim được chuyển về 73 lần/phút sau 2 phút.

Tuy nhiên, cơn nhịp nhanh lại tái phát sau 10 phút, đây là một diễn biến thường gặp ở bệnh nhân có nền suy tim mạn tính. Kíp chuyên môn lập tức kích hoạt phác đồ nâng cao. Sau lần can thiệp thứ hai, huyết động ổn định hoàn toàn: nhịp tim 72 lần/phút, huyết áp 120/80 mmHg.

Nhận định nguy cơ tái phát cao trên nền suy tim mạn tính, hội chẩn chuyên môn đã thống nhất chẩn đoán: Cơn nhịp nhanh kịch phát trên thất, suy tim, tăng huyết áp, đái tháo đường týp 2 cần chuyển tuyến chuyên sâu để thực hiện thăm dò điện sinh lý tim và đốt triệt ổ rối loạn nhịp bằng sóng cao tần (RF ablation). Quyết định chuyển tuyến là chiến lược điều trị triệt căn, tối ưu hóa lợi ích lâu dài cho người bệnh.

nhip-tim-2.jpg

Tuyến tỉnh làm chủ công nghệ cao

Tại Đơn nguyên Rối loạn nhịp tim - Bệnh viện Đa khoa tỉnh Quảng Ninh, bệnh nhân liên tục xuất hiện tái phát cơn nhịp nhanh kịch phát trên thất mặc dù được cắt cơn bằng các thuốc chống loạn nhịp.

Vì vậy, các bác sĩ tim mạch can thiệp về nhịp quyết định làm thăm dò điện sinh lý buồng tim, xác định chính xác cơ chế gây cơn nhịp nhanh... sau đó đốt triệt thành công ổ rối loạn nhịp bằng sóng cao tần. Ca can thiệp diễn ra an toàn, không biến chứng. Nhịp tim bệnh nhân ổn định ngay sau can thiệp, huyết động cải thiện rõ rệt, nguy cơ tái phát được kiểm soát lâu dài.

Bác sĩ Phan Thanh Nghĩa, Trưởng khoa Hô hấp, phụ trách Đơn nguyên Rối loạn nhịp tim Bệnh viện Đa khoa tỉnh Quảng Ninh là người trực tiếp can thiệp cho bệnh nhân cho biết: “Ở bệnh nhân cao tuổi có nền suy tim, mỗi cơn nhịp nhanh kéo dài đều làm giảm cung lượng tim đáng kể, làm tăng nguy cơ phù phổi cấp và sốc tim.

Điều trị bằng thuốc chỉ giải quyết tình huống cấp thời. Thăm dò điện sinh lý và đốt triệt giúp loại bỏ chính xác đường dẫn truyền phụ, từ đó kiểm soát lâu dài và giảm nguy cơ tái phát”.

Bác sĩ Nghĩa cũng nhấn mạnh, việc xử trí cấp cứu ban đầu chuẩn hóa tại Bệnh viện Đa khoa Khu vực Cẩm Phả và chuyển tuyến đúng thời điểm chính là yếu tố quyết định thành công điều trị.

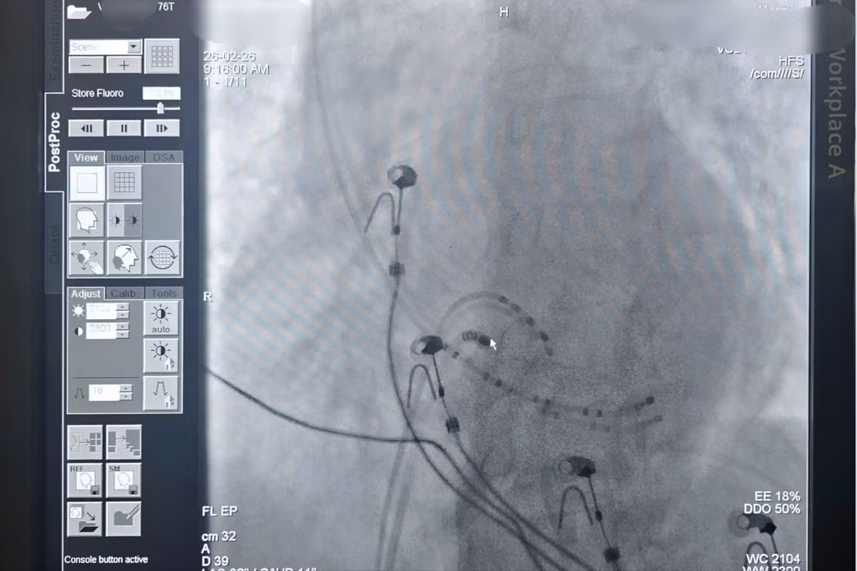
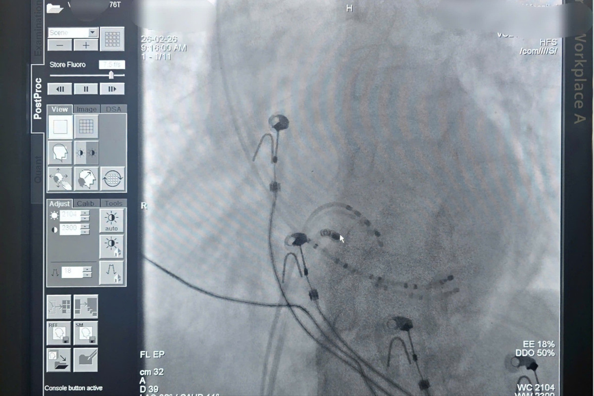
nhip-tim.jpg
Vị trí đích triệt đốt RF thành công cơn tim nhanh.

Mô hình liên tuyến, hướng đi chiến lược

Đây không chỉ là thành công của một ca can thiệp, mà còn là minh chứng cho hiệu quả phối hợp liên tuyến - nơi tuyến dưới làm tốt vai trò “gác cửa”, tuyến tỉnh làm chủ kỹ thuật chuyên sâu, tạo nên chuỗi điều trị an toàn và khép kín ngay tại địa phương.

Trong bối cảnh bệnh lý tim mạch ngày càng gia tăng nhanh ở người cao tuổi, đặc biệt tại các địa phương công nghiệp, khai thác mỏ như Cẩm Phả, việc xây dựng mạng lưới tim mạch liên viện là yêu cầu cấp thiết.

Bệnh viện Đa khoa Khu vực Cẩm Phả không chỉ thực hiện tốt cấp cứu ban đầu, mà còn là mắt xích quan trọng trong hệ thống tim mạch liên viện, đảm bảo người bệnh được tiếp cận kỹ thuật cao đúng thời điểm, đúng chỉ định, đúng chiến lược điều trị.

“Rối loạn nhịp tim không chỉ là “hồi hộp thoáng qua”. Với người có bệnh nền tim mạch, đó có thể là tín hiệu của biến cố tim mạch nghiêm trọng.

Chẩn đoán sớm - xử trí chuẩn - can thiệp triệt để chính là chiến lược kiểm soát bền vững và giảm gánh nặng tái nhập viện.

Giành lại một nhịp tim là giành lại một cuộc đời. Và mỗi phút kịp thời trong cấp cứu đều có thể tạo nên điều kỳ diệu”, các chuyên gia khuyến cáo.

>>> Mời quý độc giả xem thêm video: "Vận động viên thể hình hét lên vì chấn thương trong lúc nâng tạ chân 400 kg"

Video: @otempo / X

Nguy cơ đột tử tim ở người bệnh nữ 53 tuổi mắc rối loạn nhịp tim

Kết quả triệt đốt lần hai bằng phương pháp điện sinh lý tim 3D cho thấy tần suất ngoại tâm thu giảm từ 24% xuống dưới 1%.

Bệnh viện Hoàn Mỹ Cửu Long vừa điều trị thành công cho người bệnh nữ 53 tuổi mắc rối loạn nhịp tim dạng ngoại tâm thu thất dày, có khởi phát cơn nhanh thất - tình trạng tiềm ẩn nguy cơ ngất xỉu và đột tử tim nếu không được theo dõi và can thiệp kịp thời.

Bà N. T. M (53 tuổi, ngụ TP Cần Thơ) có tiền sử rối loạn nhịp tim nhiều năm, từng ngất xỉu ba lần. Trước khi nhập viện, người bệnh thường xuyên mệt mỏi, hồi hộp, đánh trống ngực, ngủ không ngon giấc và xuất hiện nhiều cơn khó chịu về đêm.

Cứu sống bệnh nhân người Nam Phi nhịp nhanh nguy hiểm

Nếu bạn hoặc người thân có triệu chứng tim đập nhanh, đau ngực, choáng váng, hồi hộp, tuyệt đối không chủ quan.

Một buổi sáng tại Bệnh viện Đa khoa Cẩm Phả trở nên khẩn trương khi tiếp nhận bệnh nhân nam 54 tuổi (quốc tịch Nam Phi) vào viện vì đau ngực, hồi hộp, tim đập nhanh.

Qua theo dõi điện tâm đồ, ThS.BS Trần Văn Đoàn đã nhanh chóng phát hiện nguyên nhân là cơn nhịp nhanh kịch phát trên thất (cơn nhịp nhanh vào lại nút nhĩ thất) khiến tần số tim lên tới 150 đến 170 chu kỳ/ phút - một dạng rối loạn nhịp nguy hiểm có thể gây tụt huyết áp, choáng, ngất, thậm chí biến chứng nặng nếu không xử trí kịp thời.

Đọc nhiều nhất

Hiểu lầm phổ biến về 'detox' sau Tết

Hiểu lầm phổ biến về 'detox' sau Tết

Thay vì các phương pháp “detox” nguy hiểm, hãy duy trì thói quen uống đủ nước, ăn rau quả, ngủ đủ giấc và vận động nhẹ nhàng để giữ gìn sức khỏe lâu dài.

Tin mới

Hiểu lầm phổ biến về 'detox' sau Tết

Hiểu lầm phổ biến về 'detox' sau Tết

Thay vì các phương pháp “detox” nguy hiểm, hãy duy trì thói quen uống đủ nước, ăn rau quả, ngủ đủ giấc và vận động nhẹ nhàng để giữ gìn sức khỏe lâu dài.