Đại dịch đậu mùa
Dịch bệnh đậu mùa là nguyên nhân chính dẫn đến sự suy giảm dân số kinh khủng của châu Mỹ. Ảnh minh họa
Đứng đầu trong số các dịch bệnh phải kể tới là bệnh đậu mùa gây ra bởi vi rút đậu mùa. Trước khi những người phương Tây đặt chân đến Châu Mỹ, số lượng dân bản địa ước tính vào khoảng 100 triệu người. Trong những thế kỷ tiếp theo, con số này còn vào khoảng từ 5-10 triệu, và sự sụt giảm khủng khiếp này có đóng góp rất lớn từ bệnh Đậu mùa.
Các vi khuẩn này gây ảnh hưởng tới con người từ hàng nghìn năm trước với tỷ lệ tử vong lên tới 30%. Bệnh đậu mùa gây sốt cao, đau nhức cơ thể, phát ban với mụn cứng hoặc mụn mủ. Người bình thường nếu tiếp xúc với da người bệnh hoặc dính phải các chất dịch từ cơ thể họ có thể bị lây nhiễm. Thậm chí bệnh cũng có thể lan truyền qua việc hít phải các vi rút trong không khí, thường từ các dịch từ vùng họng, mũi, niêm mạc họng của người nhiễm bệnh. Mặc dù vắc xin phòng bệnh đã được điều chế thành công từ năm 1796 nhưng dịch bệnh vẫn tiếp tục hoành hành.
Dịch bệnh tiếp tục hoành hành dù vắc xin chế thành công. Ảnh minh họa
Gần đây nhất là năm 1967, theo ước tính của tổ chức Y tế Thế giới (WHO) có khoảng 15 triệu người nhiễm bệnh và 2 triệu người trên thế giới tử vong vì căn bệnh này. Cùng năm đó tổ chức này đã đứng đầu trong việc nỗ lực tiêu diệt vi rút trên thông qua việc tiêm chủng hàng loạt. Kết quả là cuối năm 1979, WHO chứng nhận đã tiêu diệt hoàn toàn được bệnh đậu mùa. Lịch sử Việt Nam cũng trải qua nhiều phen điêu đứng vì dịch bệnh đậu mùa.
Đại dịch sốt rét

Dịch sốt rét đeo bám loài người trong hàng thế kỉ, giết chết hàng nghìn người. Ảnh minh họa
Căn bệnh này đã đeo bám loài người trong hàng thế kỉ, giết chết hàng nghìn người. Do thường xuất hiện ở các trại đóng quân, nó được gọi là chứng "sốt doanh trại" hay "sốt chiến tranh". Trong cuộc chiến 30 năm của châu Âu (1618-1648), sốt rét, bệnh dịch và nạn đói đã cướp đi sinh mạng của 10 triệu người.
Đôi khi các đợt dịch sốt rét có thể ảnh hưởng tới kết quả của cả một trận chiến. Khi quân Tây Ban Nha bao vây thành Granada năm 1489, một trận dịch sốt rét đã làm lực lượng tấn công từ 25 nghìn người giảm còn 8000 người chỉ trong 1 tháng. Do dịch sốt rét mà người Tây Ban Nha phải mất thêm 1 thế kỷ để đánh đuổi người Moor gốc Bắc Phi khỏi đất nước mình. Ngay trong Thế chiến thứ nhất, bệnh sốt rét đã làm chết hàng triệu người ở Nga, Ba Lan và Rumani.
Các triệu chứng thường gặp của bệnh gồm đau đầu, chán ăn, tăng thân nhiệt nhanh. Nó nhanh chóng chuyển thành cơn sốt, kèm theo các đợt lạnh và buồn nôn. Nếu không được chữa trị, bệnh sẽ ảnh hưởng tới lưu thông máu, tạo ra các đốm hoại tử, viêm phổi và suy thận. Thân nhiệt cao sẽ gây mê sảng, hôn mê và trụy tim. Các phương pháp điều trị hiện đại đã giảm ảnh hưởng của sốt rét với con người. Việc phát minh ra vaccine trong Thế chiến thứ hai và việc sử dụng thuốc DDT diệt muỗi đã tiêu diệt hoàn toàn căn bệnh này ở các nước phát triển. Tuy nhiên, các đợt dịch vẫn bùng phát ở Nam Mỹ, châu Phi và châu Á.
Ngày nay, sốt rét vẫn tiếp tục là vấn đề nhức nhối với nhân loại, đặc biệt là khu vực châu Phi cận Sahara. Mỗi năm, từ 350 đến 500 triệu trường hợp mắc sốt rét được ghi nhận ở khu vực này, và nó vẫn tiếp tục lấy đi sinh mạng của hơn 1 triệu người. Ngay cả ở Mỹ, nơi trước đó đã tuyên bố thanh toán xong dịch sốt rét, hàng năm vẫn có gần 1000 ca bệnh, và một vài trường hợp tử vong đã được ghi nhận.
Đại dịch Cái chết đen (1348-1350)

Đại dịch Cái chết đen được coi là đại dịch chết chóc nhất trong lịch sử nhân loại xảy ra ở châu Á và châu Âu. Ảnh minh họa
Đây được coi là một trong những đại dịch chết chóc nhất trong lịch sử nhân loại xảy ra ở châu Á và châu Âu. Từ năm 1348-1350, ước tính đã có khoảng 75 triệu người chết vì đại dịch, trong đó khoảng từ 25 đến 50 triệu là dân số châu Âu. Từ lâu "cái chết đen" được cho là sự bùng phát của bệnh dịch hạch gây ra bởi vi khuẩn Yersinia pestis và lây lan thông qua loài bọ chét sống trên chuột đen. Một khi đã bị nhiễm vi khuẩn, bệnh nhân được ước tính là chỉ có thể sống sót trong vòng từ 60 đến 180 ngày.
Gần đây các nhà khoa học cho rằng "cái chết đen" là dịch bệnh có nguồn gốc từ vi rút tương tự vi rút Ebola. Ảnh minh họa
Tuy nhiên thời gian gần đây một số học giả dựa vào những ghi chép dịch tễ học trong các tài liệu sử học đương thời đã cho rằng "cái chết đen" có nguồn gốc từ một loại vi rút gây xuất huyết tương tự vi rút ebola. Dạng bệnh này gây mất máu nghiêm trọng. Các nhà khoa học đang tiếp tục nghiên cứu xác của các nạn nhân với hi vọng tìm thấy các bằng chứng ủng hộ giả thuyết của mình. Cho tới nay căn bệnh này vẫn là một vấn nạn ở các khu vực tồi tàn và nhiều chuột. Các loại thuốc hiện đại có thể điều trị căn bệnh ở các giai đoạn đầu, khiến nó bớt nguy hiểm. Các triệu chứng của bệnh bao gồm sưng hạch bạch huyết, sốt, ho, nước dãi chứa máu và khó thở.
Đại dịch tả 1817
Từ thời cổ đại người dân Ấn Độ đã phải sống cùng với sự nguy hiểm đến từ dịch tả. Căn bệnh này xuất hiện châu Á khoảng 600 năm trước Công nguyên và ghi nhận lần đầu tiên trong y học vào năm 1563 tại Ấn Độ. Dịch xuất hiện đầu tiên từ các tuyến đường thương mại (trên đất liền và trên biển) đến Nga năm 1817, sau đó lan sang các phần còn lại của châu Âu, và từ châu Âu sang Bắc Mỹ.
Dịch tả từng là vấn đề nhức nhối cướp đi mạng sống của hàng triệu người. Ảnh minh họa
Tổng cộng đã có khoảng 7 trận đại dịch tả xảy ra trong vòng 200 năm lấy đi mạng sống của hàng triệu người. Tại miền Bắc Việt Nam thời Pháp thuộc, dịch tả giết chết 75.000 người vào năm 1937.
Theo khoa học dịch tả gây ra bởi một loại vi khuẩn đường ruột có tên là Vibrio cholerae. Khoảng 5% những người nhiễm bệnh trải qua các triệu chứng như nôn ọe, tiêu chảy và chuột rút, từ đó dẫn tới mất nước và sốc. Hầu hết các hệ miễn dịch đều chiến thắng được dịch tả, nhưng chỉ khi bệnh nhân được tiếp nước đủ để vượt qua giai đoạn này. Con người có thể bị lây qua đường tiếp xúc trực tiếp, nhưng thường dịch tả lây qua các nguồn nước và thức ăn nhiễm bẩn.
Trong hàng chục năm, với những tiến bộ từ nghiên cứu khoa học có vẻ dịch tả đã là vấn đề của quá khứ. Tuy nhiên, một dòng dịch tả mới đã xuất hiện năm 1961 ở Indonesia và lan ra toàn thế giới. Dịch bệnh này tiếp tục kéo dài tới ngày nay. Năm 1991, dịch tả lây nhiễm trên 300 nghìn người và làm thiệt mạng 4000 người trong vòng 1 năm.
Đại dịch cúm Tây Ban Nha năm 1918
Năm 1918 khi cuộc chiến tranh thế giới lần 1 gần đến giai đoạn kết thúc, người ta ước tính có khoảng 37 triệu người thiệt mạng. Những người sống sót mau chóng trở về quê hương và họ không thể ngờ rằng, cuối năm đó, một nạn dịch được coi tồi tệ nhất từng được ghi lại trong lịch sử nhân loại đã bùng phát. Đại dịch cúm năm 1918 do một loại vi rút cúm mới, dòng vi rút cúm gia cầm H1N1 gây ra.
Trong đại dịch cúm Tây Ban Nha, có khoảng 37 triệu người thiệt mạng. Ảnh minh họa
Các nhà khoa học nghi ngờ rằng dịch bệnh này lây từ chim sang người ở vùng Trung Tây nước Mỹ. Sau này nó được gọi là cúm Tây Ban Nha sau khi làm chết 8 triệu người ở đây. Chỉ trong khoảng hai năm 1918-1919, cúm làm chết khoảng 40-50 triệu người, theo ước lượng gần đây con số này có thể lên đến khoảng 50-100 triệu. Các đợt chuyển quân và đường vận chuyển nhu yếu phẩm trong Thế chiến thứ nhất giúp vi rút lây truyền rất nhanh qua các châu lục.
Dịch cúm Tây Ban Nha có các triệu chứng như cúm thường, bao gồm sốt, buồn nôn, đau khắp cơ thể và tiêu chảy. Nhiều vết đen cũng xuất hiện trên má người bệnh. Nạn nhân thường chết do bị tràn dịch màng phổi, khiến họ không thể thở được. Đại dịch biến mất trong vòng 1 năm, sau khi vi rút biến đổi thành một dạng ít nguy hiểm hơn.
Dịch cúm châu Á

Cho tới khi ổ dịch được dập tắt, trên thế giới đã có khoảng 2 triệu trường hợp bị tử vong vì chủng virus Cúm. Ảnh minh họa
Đại dịch cúm này xảy ra đúng vào thời kỳ đầu của xu hướng toàn cầu hóa. Xét về mặt quy mô, đại dịch này lan rộng trên lãnh thổ của rất nhiều quốc gia. Ban đầu, nó được phát hiện tại tỉnh Quý Châu, Trung Quốc.
Trong một thời gian ngắn sau, bệnh nhanh chóng lan tới Singapore tháng 2/1957, rồi Hồng Kông, Ấn Độ, Philippines, thậm chí lan sang phương Tây như Anh, Australia, Mỹ…Nguồn gốc của đại dịch được cho là từ chủng virus cúm H2N2 có trên một số con vịt hoang dã bị đột biến, dẫn tới khả năng lây truyền trên cơ thể người.

Vào thời điểm đại dịch lên tới đỉnh, nạn nhân chủ yếu chính là các em học sinh - những người có sức đề kháng chưa cao. Ảnh minh họa
Vào thời điểm đại dịch lên tới đỉnh, nạn nhân chủ yếu chính là các em học sinh - những người có sức đề kháng chưa cao. Thế giới ghi nhận vào năm 1957, 50% học sinh Anh nhiễm virus này, đặc biệt trong các trường nội trú thì tỉ lệ còn cao hơn - 90%. Cho tới khi ổ dịch được dập tắt, trên thế giới đã có khoảng 2 triệu trường hợp bị tử vong vì chủng virus quái ác trên.
Dịch sởi
Dịch sởi là một bệnh dịch đã có từ rất lâu trong lịch sử loài người. Tuy nhiên trong những năm gần đây, số lượng đại dịch sởi tăng không ngừng và với quy mô ngày càng mở rộng. Điển hình là đại dịch sởi ở Châu Âu năm 2011.
Trong những năm gần đây, số lượng đại dịch sởi tăng không ngừng và với quy mô ngày càng mở rộng. Ảnh minh họa
Châu Âu đã chứng kiến sự gia tăng bệnh sởi từ năm 2011 với các vụ dịch lớn ở Pháp, Ro-ma-ni và U-krai-na. Tổ chức Y tế Thế giới cũng ghi nhận trên 26.000 trường hợp bệnh sởi tại 36 quốc gia châu Âu từ tháng 1 đến tháng 10 năm 2011, với 83% xảy ra ở Tây Âu với 9 trường hợp tử vong và 7.288 ca nhập viện.
Năm sau đó, dịch sởi lại bùng phát ở Châu Phi. Cộng hòa dân chủ Congo xuất hiện dịch sởi lớn nhất trong 2013 kể từ trước đến nay. Cộng hòa dân chủ Congo đứng đầu danh sách dịch sởi năm 2011 với hơn 134.000 trường hợp và năm 2012 với gần 74.000 trường hợp. Những trường hợp này có thể chỉ đại diện ít hơn 1/10 số ca thực tế.Năm 2013, Bộ Y tế báo cáo 54.000 ca bệnh và gần 800 trường hợp tử vong. Nigeria cũng đối mặt với dịch sởi trên quy mô lớn toàn quốc với gần 29.000 trường hợp tập trung vùng Tây Bắc nhưng lan rộng tất cả các bang của Nigeria.
Theo thông tin giám sát của Tổ chức Y tế thế giới, các quốc gia Châu Phi khác có dịch sởi lớn bao gồm Angola, Benin, Cộng hòa Trung Phi, Cameroon, Congo, Ethiopia, Gabon, Kenya, Mali, Sudan, Togo and Uganda.
Lao phổi
Chủng vi khuẩn gây ra bệnh lao phổi đã được tìm thấy trong các xác ướp Ai Cập cổ đại, chứng tỏ rằng đại dịch này đã từng hoành hành trên Trái đất cách đây hàng ngàn năm.Bệnh lao phổi do một loại vi khuẩn phát tán trong không khí gây nên, và nó tấn công vào phổi của con người, gây suy yếu các cơ quan nội tạng, đau ngực, đổ mồ hôi đêm và ho dữ dội.
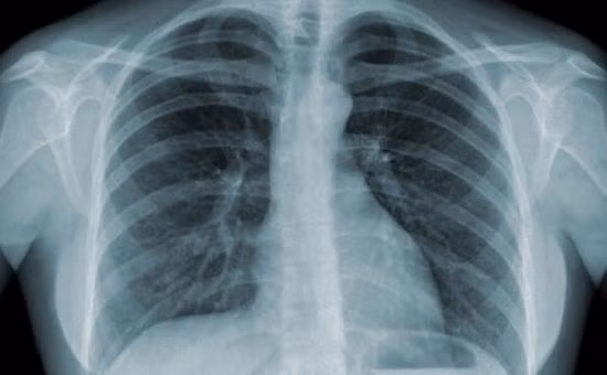
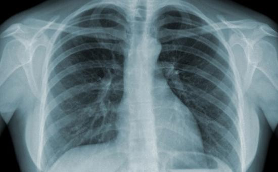
Phim chụp một nạn nhân bị lao phổi. Ảnh minh họa
Trong thế kỷ 19, lao phổi đã cướp đi sinh mạng của 1/4 người trưởng thành ở châu Âu, và đến năm 1918, một phần sáu số người tử vong ở Pháp là do lao phổi gây ra.Ngày nay, lao phổi vẫn chưa bị loại trừ và vẫn còn lây nhiễm cho khoảng 8 triệu người mỗi năm, khiến khoảng 2 triệu người thiệt mạng.
