Theo thông tin Bệnh viện Đa khoa Hùng Vương, bệnh nhân nữ, 39 tuổi, vào viện do đau đầu, khó nói, co giật. Bệnh nhân ở nhà xuất hiện đau đầu 5 ngày nay, đau đầu vùng trán, thái dương 2 bên. Có lúc cảm giác chậm chạp hơn bình thường, không rõ sốt, đi khám tại bệnh viện huyện, được kê đơn thuốc về dùng, bệnh cải thiện ít.
Cách vào viện khoảng 1h, bệnh nhân phơi quần áo trên nền cứng người nhà thấy ngã xuống đất, mắt mở, không nói được, gọi biết. Người nhà ngay lập tức gọi xe cấp cứu để đưa bệnh nhân đến bệnh viện cấp cứu.
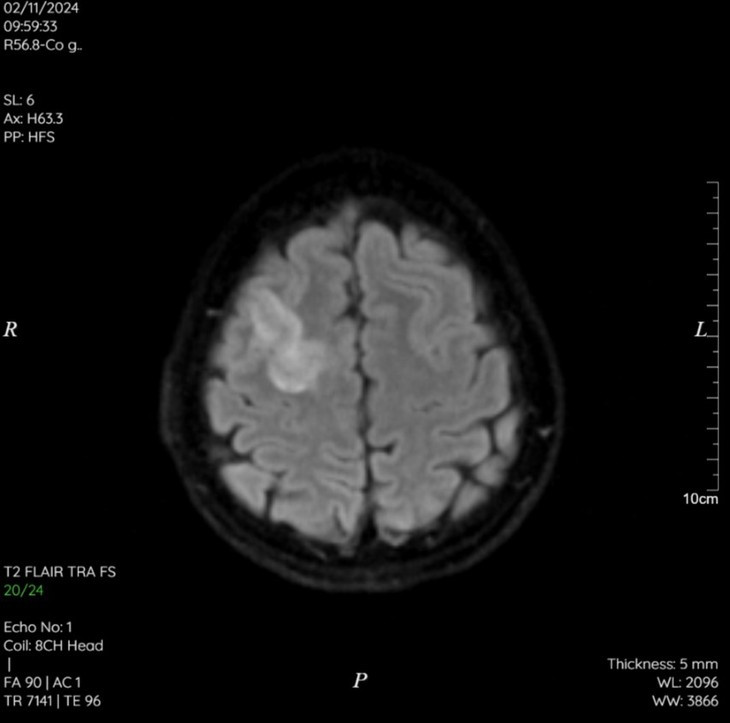
Qua thăm khám lâm sàng và cận lâm sàng bước đầu, bệnh nhân được chẩn đoán Huyết khối tĩnh mạch vỏ não vùng đỉnh 2 bên và phần trước xoang dọc trên - Nhồi máu vỏ não đỉnh phải.
![]() |
| Kết quả chụp CT bệnh nhân được chẩn đoán Huyết khối tĩnh mạch vỏ não vùng đỉnh 2 bên và phần trước xoang dọc trên. Ảnh BVCC |
Bệnh nhân được theo dõi và điều trị phối hợp nhiều phương thức để cải thiện các triệu chứng thần kinh, ngăn ngừa biến chứng cũng như phòng ngừa các nguy cơ tái phát đồng thời tiếp tục tìm kiếm nguyên nhân gây bệnh.
![]() |
| Nữ bệnh nhân đang được theo dõi tại bệnh viện. Ảnh: BVCC |
Theo bác sĩ, huyết khối tĩnh mạch não là sự hiện diện của cục máu đông trong xoang tĩnh mạch màng cứng, tĩnh mạch não, hoặc cả hai.
Huyết khối tĩnh mạch não là một dạng không thường gặp và thường không nhận ra của đột quỵ, gặp khoảng 5/1.000.000 người hàng năm và chiếm 0.5-3% toàn bộ các nguyên nhân gây đột quỵ. Đặc biệt hay gặp hơn ở người trẻ tuổi.
Đau đầu kéo dài là triệu chứng phổ biến nhất của huyết khối tĩnh mạch não, xảy ra ở gần 90% trường hợp.
Các nguyên nhân gây ra tình trạng này có thể do dùng thuốc (thuốc tránh thai, thuốc nội tiết...); bệnh lý nhiễm trùng hô hấp, nhiễm trùng đầu cổ; chấn thương đầu...
Ngoài ra có một số nguyên nhân lâu dài như điều trị hoóc-môn thay thế cho người chuyển giới; béo phì, thiếu máu; bệnh lý về tuyến giáp, viêm thận, viêm ruột;...
Trường hợp bệnh nhân nữ ở trên là lời cảnh báo đến những người trẻ, đặc biệt những người ở độ tuổi dưới 40. Các bác sĩ lưu ý, người bệnh không nên chủ quan với các triệu chứng như đau đầu kéo dài, đau đầu dữ dội đột ngột, tình trạng chậm chạp bất thường hoặc bất kỳ dấu hiệu nào của rối loạn thần kinh.
Nhồi máu não và huyết khối tĩnh mạch não không chỉ xảy ra ở người cao tuổi, mà ngày càng gia tăng ở người trẻ do nhiều yếu tố như căng thẳng, lối sống ít vận động, và các bệnh lý tiềm ẩn chưa được phát hiện.

