Cúm A dễ biến chủng nguy hiểm
Cúm A là bệnh nhiễm trùng đường hô hấp cấp tính do các chủng virus cúm A gây nên. Bệnh thường xuất hiện trong các đợt cúm mùa và gây ra đại dịch vì virus cúm A thường xuyên thay đổi và phân nhóm tạo thành chủng mới.
Khoa Bệnh Nhiệt đới, Bệnh viện Nội tiết Trung ương thường xuyên tiếp nhận các ca bệnh cúm A với bệnh lý nền như đái tháo đường, tăng huyết áp…
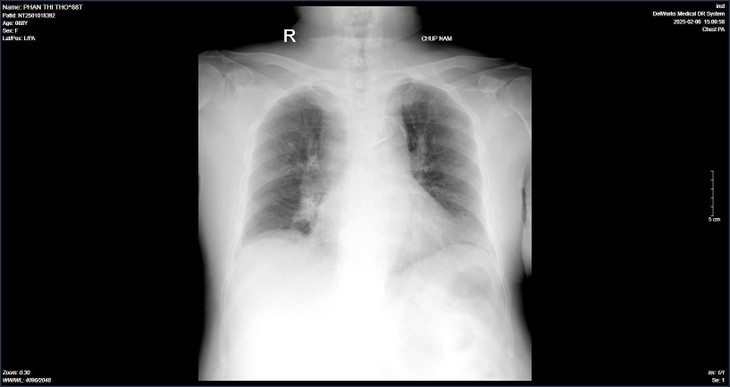
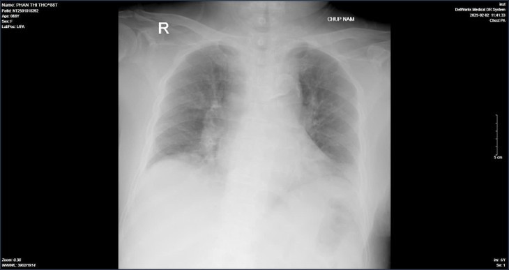
![]() |
![]() |
| Hình ảnh chụp phổi của bệnh nhân T. khi vào viện và hình chụp phổi sau quá trình điều trị - Ảnh BVCC |
Theo ghi nhận từ khoa Bệnh nhiệt đới – Bệnh viện Nội tiết Trung ương đang điều trị cho bệnh nhân Phan Thị T. (88 tuổi) mắc virus cúm A. Cách vào viện 2 ngày, bệnh nhân xuất hiện ho khan, sốt 38-39 độ C, đi mua kháng sinh, long đờm uống không đỡ. Cách vào viện 1 ngày bệnh nhân sốt cao, ý thức chậm nên được người nhà đưa vào bệnh viện Nội tiết Trung ương.
Sau khi tiếp nhận thăm thăm khám, bệnh nhân được chẩn đoán: Suy hô hấp, viêm phổi, cúm A- Đợt cấp suy thận mạn; Đái tháo đường typ 2, tăng huyết áp, rối loạn lipid máu, suy tim, bệnh thận mạn giai đoạn 3, biến chứng thần kinh ngoại vi. Bệnh nhân có tiền sử cắt cụt 1/3 cẳng chân trái do bệnh động mạch ngoại biên.
Sau nhập viện, bệnh nhân được điều trị tích cực bằng thuốc kháng virus, kháng sinh, oxy liệu pháp, kiểm soát dịch ra vào, đái tháo đường, tăng huyết áp; Chữa triệu chứng, nâng cao thể trạng, tập phục hồi chức năng. Sau 4 ngày điều trị, bệnh nhân tỉnh, tiếp xúc tốt, cai được oxy, ăn uống bình thường, chức năng tim, chức năng thận cải thiện.
Theo ThS.BS Phạm Hồng Quảng, Phụ trách khoa Bệnh nhiệt đới – Bệnh viện Nội tiết Trung ương: “Cúm A là bệnh nhiễm trùng hô hấp cấp tính, bệnh có thể nặng lên nhanh chóng gây viêm phổi, suy hô hấp, nhiễm khuẩn huyết,… gây nguy hiểm đến tính mạng.
Đặc biệt trên các bệnh nhân có sức đề kháng suy giảm như: người cao tuổi, đái tháo đường, tăng huyết áp, suy tim, suy thận… cần được phát hiện sớm, chẩn đoán kịp thời, điều trị theo phác đồ, theo dõi chặt chẽ, cũng như phòng bệnh tích cực ngay từ đầu để tránh các biến chứng không đáng có”.
Triệu chứng của cúm A không giống cảm lạnh thông thường, các dấu hiệu thường xuất hiện đột ngột như sốt, đau nhức cơ thể, mệt mỏi, hắt hơi, ho, chảy mũi, nghẹt mũi, đau họng, đau đầu.
Các triệu chứng này thường tự hết mà không cần điều trị gì. Tuy nhiên, một số trường hợp triệu chứng có thể kéo dài, làm nặng thêm các bệnh lý nền, viêm phổi bội nhiễm, nhiễm trùng tiêu hóa, suy hô hấp, suy đa tạng cần hỗ trợ điều trị nhiều phương pháp y tế hiện đại, chuyên sâu (hỗ trợ hô hấp, tuần hoàn bằng máy thậm chí ECMO – Hệ thống oxy hóa qua màng ngoài cơ thể).
Đặc biệt trên các đối tượng sức đề kháng suy giảm: Người cao tuổi, mắc bệnh mạn tính: Đái tháo đường, tăng huyết áp, suy tim, bệnh phổi mạn tính…có thể làm bệnh tiến triển nặng lên nhanh chóng nếu không phát hiện, theo dõi và điều trị kịp thời.
Cần tránh nguồn lây
ThS.BS Phạm Hồng Quảng cảnh báo, để phòng tránh cúm A, người bệnh cần biết cách tránh nguồn lây nhiễm:
Lây trực tiếp trong không khí thông qua đường hô hấp (hắt hơi, ho, chảy mũi, nói chuyện…)
Ngoài ra có thể lây nhiễm qua sử dụng chung vật dụng sinh hoạt với người bị nhiễm, hoặc các đồ dùng trong nhà sau đó đưa lên mũi, miệng. Tiếp xúc với động vật bị nhiễm cúm như, gia cầm, lợn…
Tập trung nơi đông người là điều kiện cho virus lây lan nhanh chóng.
Cách phòng bệnh
Người bệnh có suy giảm miễn dịch như đái tháo đường, tăng huyết áp… cần cẩn trọng khi mắc cúm A.
Vệ sinh cá nhân: Rửa tay thường xuyên bằng xà phòng hoặc cồn, hạn chế tiếp xúc nơi đông người, đặc biệt vùng có dịch cúm lưu hành, mang khẩu trang khi tiếp xúc nơi công cộng.
Vệ sinh nơi ở, nơi làm việc với dung dịch sát khuẩn, mở cửa sổ thông thoáng, tránh gió lạnh, gió lùa.
Tăng cường sức đề kháng bằng việc tập thể dục, ăn uống đầy đủ chất dinh dưỡng, sinh hoạt lành mạnh, giữ ấm cơ thể,
Tiêm vắc xin cúm đầy đủ, đúng lịch.
Đặc biệt, khi xuất hiện các triệu chứng nghi ngờ mắc cúm: nên đến ngay cơ sở y tế để được kiểm tra, chẩn đoán, đưa ra phương pháp điều trị, dự phòng phù hợp.
Tất cả người dân, đặc biệt các bệnh nhân có suy giảm miễn dịch: người cao tuổi, đái tháo đường, tăng huyết áp, suy tim, suy thận, ung thư,… khi xuất hiện các triệu chứng nghi ngờ cúm nên đến cơ sở y tế khám ngay để được chẩn đoán và điều trị kịp thời", các bác sĩ khuyến cáo.

