Đang khoẻ mạnh, bỗng phát hiện u não
GS Mai Trọng Khoa, nguyên Giám đốc Trung tâm Y học hạt nhân và Ung bướu, BV Bạch Mai cho biết, mới đây trung tâm tiếp nhận bệnh nhân Đặng Văn C., 18 tuổi, đang là học sinh tại Nghệ An, bị cùng lúc 3 loại ung thư rất hiếm gặp.
Nam sinh này vốn có tiền sử khoẻ mạnh, gia đình không có ai mắc ung thư. Tuy nhiên từ tháng 7/2018, C. đột nhiên xuất hiện liên tiếp các cơn đau đầu, đau tăng dần qua từng ngày khiến mắt mờ và liên tục buồn nôn.
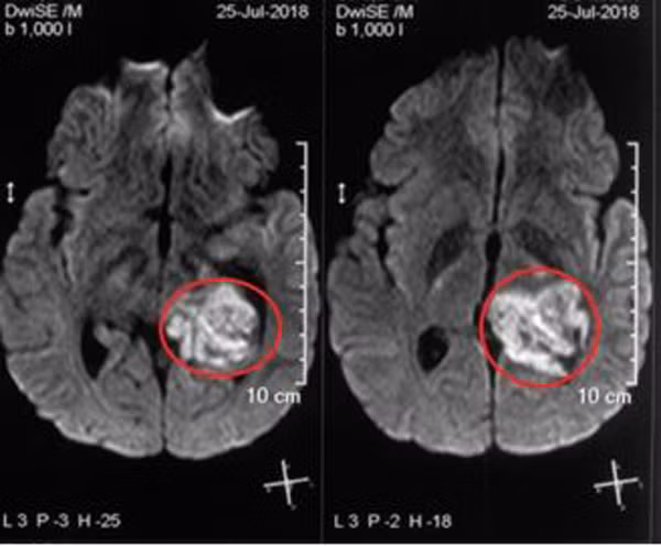
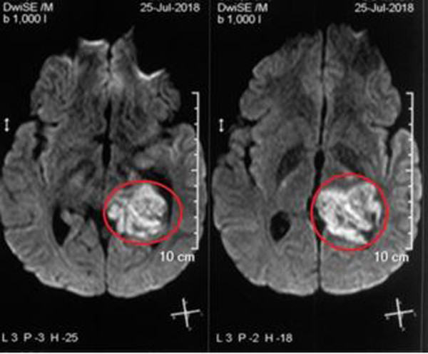
![]() |
| Hình ảnh khối u ở não bệnh nhân |
Tuy nhiên nam thanh niên vẫn khoẻ mạnh, không hề bị liệt chi, không sốt, không rối loạn đại tiểu tiện, không đau bụng. Khi vào BV đa khoa tỉnh Nghệ An chụp cộng hưởng từ sọ não, bác sĩ phát hiện khối u lớn ở hồi hải mã trái. Sau đó BV tỉnh đã chuyển bệnh nhân ra Trung tâm Y học hạt nhân và Ung bướu, BV Bạch Mai để điều trị tiếp.
Khi vào viện, bệnh nhân được X-quang tim phổi, siêu âm ổ bụng nhưng không thấy bất thường. Chụp cộng hưởng từ sọ não có hình ảnh khối u lớn hồi hải mã trái kích thước 2,9×3,9cm, là u thần kinh đệm ít nhánh, giai đoạn 3.
Tháng 8/2018, bệnh nhân được phẫu thuật vi phẫu lấy u não. 1 tháng sau khi sức khoẻ tốt lên, bác sĩ tiếp tục chỉ định hoá - xạ trị kết hợp.
Phát hiện thêm cùng lúc 2 loại ung thư
GS Khoa cho biết, ngày 15/10/2018, khi đang điều trị hoá - xạ trị, bệnh nhân bất ngờ xuất hiện đau bụng âm ỉ thượng vị và vùng quanh rốn, đau thành cơn dữ dội kèm theo nôn ra dịch thức ăn không lẫn máu, đại tiện phân có lẫn ít máu tươi.
Khi thăm hậu môn trực tràng, bác sĩ không phát hiện bất thường, không có máu. Tiếp tục chỉ định nội soi đường thực quản – dạ dày – tá tràng, các bác sĩ rất bất ngờ khi đoạn D2 tá tràng có khối lồi kích thước khoảng 3cm, nghi ngờ ung thư tá tràng.
![]() |
| U tá tràng kích thước khoảng 3cm trong lòng tá tràng |
Ngay lập tức, bác sĩ chỉ định tạm dừng hoá – xạ trị để bệnh nhân sinh thiết, trong thời gian này tạm thời cho bệnh nhân uống thuốc cầm máu, bảo vệ niêm mạc dạ dày, cho truyền kháng sinh, nâng cao thể trạng.
Trong lúc đợi kết quả sinh thiết khối u ở tá tràng, ngày 18/20/2018, bác sĩ tiếp tục cho C. làm các xét nghiệm đánh giá toàn thân trước khi phẫu thuật. Khi chụp cắt lớp vi tính ổ bụng, bệnh nhân lại tiếp tục phát hiện hạch ở ổ bụng, theo dõi u đại tràng.
Ngay lập tức, bác sĩ chỉ định mổ cấp cứu tháo lồng, cắt khối u đại tràng và cắt đoạn tá tràng. Kết quả giải phẫu sau mổ cho thấy, nam thanh niên mắc ung thư biểu mô tuyến ở tá tràng và u lympho ác tính không Hodgkin tế bào B lan tỏa dưới típ tâm mầm ở đại tràng.
Theo GS Khoa, đây là trường hợp mang 3 bệnh ung thư với 3 loại tế bào khác nhau chứ không phải 1 loại ung thư di căn lên não, đến xương như những bệnh nhân ung thư di căn khác. Trường hợp này đặt ra nhiều thách thức cho các bác sĩ, làm sao để tìm ra hướng điều trị tốt nhất cho bệnh nhân.
Một cuộc hội chẩn đặc biệt với các giáo sư đầu ngành đã được triệu tập. Phương án cuối cùng là tiếp tục điều trị hoá – xạ trị u não đủ liệu trình, sau đó đánh giá toàn thân để xét kế hoạch điều trị ung thư đại tràng và ung thư tá tràng. Song song đó, bệnh nhân cần phối hợp nâng cao thể trạng, điều trị hỗ trợ.
Sau 23 buổi hoá – xạ trị kết hợp, hình ảnh chụp cộng hưởng từ sọ não cho thấy vẫn còn khối u choán ngay sau vị trí sừng chẩm não thất bên trái.
GS Khoa cho biết, u tế bào thần kinh đệm là loại u ác tính, diễn biến nhanh, nếu không điều trị kịp thời có thể dẫn đến tử vong. Để điều trị u thần kinh đệm ít nhánh, phẫu thuật đóng vai trò chính giúp lấy u tối đa, sau đó có thể kết hợp xạ trị và hoá trị.
Với u lympho không Hodgkin là nhóm bệnh tăng sinh ác tính dòng tế bào lympho, với biểu hiện phức tạp về lâm sàng và mô bệnh học.
Bệnh thường biểu hiện tại hạch (nên còn có tên gọi là ung thư hạch) chiếm trên 60% hoặc biểu hiện u ở ngoài hạch và có thể ở bất cứ cơ quan, vị trí khác nhau trong cơ thể, hay gặp như ở da, đường tiêu hóa như dạ dày, đại trực tràng… (trường hợp bệnh nhân C. ở đại tràng), vòm mũi họng, lưỡi, thần kinh trung ương, hốc mắt…
Theo nghiên cứu của nhóm chuyên gia đến từ Viện khoa học Y khoa Sri Venkateswara, Ấn Độ, được đăng tải trên tạp chí ung thư Nam Á, trường hợp 1 bệnh nhân mắc cùng lúc nhiều loại ung thư hiện đang được báo cáo thường xuyên hơn nhờ kĩ thuật chẩn đoán tốt hơn, tiên lượng điều trị cũng tốt dần lên.
Qua nghiên cứu 13 trường hợp, nhóm nghiên cứu cho rằng phần lớn các trường hợp mắc cùng lúc nhiều loại ung thư do ngẫu nhiên song cũng có mối liên hệ với tiền sử gia đình, khiếm khuyết miễn dịch và di truyền...




