Làm ngay cách này để có đôi bàn tay trắng mịn mềm mại

Dưới đây là một số cách làm trắng da tay chân tại nhà an toàn hiệu quả.

Cách 1: Chanh giúp trắng da tay chân
Lam ngay cach nay de co doi ban tay trang min mem mai
 
Trong nước chanh có chứa nhiều axit, nó có tác dụng tẩy trắng nhẹ bằng cách loại bỏ tế bào chết, bã nhờn dư thừa và bụi bẩn.
Đây là một trong những nguyên liệu tự nhiên đưa ưa chuộng nhiều nhất để làm trắng da. Không chỉ vì nó hiệu quả mà còn rất rẻ bèo, dễ kiếm.
Bạn chỉ chà xát một vài lát chanh trên tay và chân mỗi buổi tốt trước khi ngủ, sau đó rửa lại với nước là được. 
Chanh còn có tính kháng khuẩn, khử mùi mồ hôi tốt do vậy cũng rất thích hợp cho những người bị chứng mồ hôi ở tay hoặc chân.
Chanh có thể làm da bị khô quá mức do đó bạn nên dưỡng ẩm cho da tay chân hoặc chỉ sử dụng cách này 2-3 lần/tuần là đủ để có đôi bàn tay trắng mịn mềm mại.
Cách 2: Cách làm trắng da bằng cà chua
Lam ngay cach nay de co doi ban tay trang min mem mai-Hinh-2
 
Cà chua không chỉ chứa thành phần tẩy trắng mà nó còn chứa rất nhiều vitamin và khoáng chất tốt cho da. Nó cực kì thích hợp để chữa lành da sau khi bị cháy nắng.
Cách sử dụng rất đơn giản, bạn chỉ cần thái một quả cà chua thành các lát mỏng hoặc cho máy xay sinh tố. Sau đó đắp cà chua lên tay chân, đợi khoảng 10 phút rồi rửa lại với nước mát.
Lặp lại mỗi tuần 1-2 lần là được.
Cách 3: Lô hội làm trắng da tay chân
Lam ngay cach nay de co doi ban tay trang min mem mai-Hinh-3
 
Lô hội là một nguyên liệu tự nhiên thường được dùng để chữa cháy nắng và trị bỏng. Nó có tác dụng dưỡng ẩm, làm dịu mát da và ngăn ngừa sưng viêm ở da.
Về hiệu quả làm trắng da, so với các nguyên liệu tự nhiên khác thì không bằng nhưng xét về hiệu quả làm mềm da, chữa lành vết thương thì thuộc top đầu.
Để thực hiện cách này, bạn chỉ một 1 lá cây lô hội tươi, lột vỏ rồi rửa sạch với nước. Sau đó chà xát lên da tay chân trong khoảng 5 phút. Cuối cùng là rửa lại với nước mát.

Đối mặt những hiểm họa này, còn ai muốn điện di làm trắng da?

Theo bác sĩ Phương Thảo, với những lợi ích không rõ ràng, nguy cơ gây hại, người tiêu dùng nên suy nghĩ cẩn thận trước khi tiến hành tiêm, truyền hay điện di làm trắng da.

Dưới đây là bài chia sẻ của bác sĩ Nguyễn Phương Thảo, khoa Da liễu, Bệnh viện quận 5 (TP.HCM), giám đốc chuyên môn Pensilia Clinic về phương pháp tiêm, truyền, điện di làm trắng da.

Bí quyết làn da căng mịn của Goo Hye Sun để xứng với chồng trẻ

(Kiến Thức) - Đã 34 tuổi nhưng Goo Hye Sun thường được gọi bằng biệt danh “ma cà rồng” bởi làn da căng mịn, trắng sứ. Cô lớn hơn chồng Ahn Jae Hyun 3 tuổi nhưng cả hai đi cùng nhau không hề có sự chênh lệch tuổi tác.

Goo Hye Sun sở hữu làn da căng mịn, trắng hồng và không chút nếp nhăn. Bởi thế nên cư dân mạng Hàn Quốc còn gọi vui cô là "ma cà rồng" vì có làn da trắng sứ không tì vết.
Bi quyet lan da cang min cua Goo Hye Sun de xung voi chong tre
Goo Hye Sun sở hữu mặt mộc tự nhiên. Ảnh: Internet. 

Cô nàng 34 tuổi này luôn tuân theo bí quyết chăm sóc da bài bản và quy củ:

Thường xuyên để mặt mộc

Nếu không phải tham gia sự kiện hay đi đóng phim thì Goo Hye Sun thường xuyên để mặt mộc tự nhiên. Cô hạn chế sử dụng mỹ phẩm và chỉ dùng khi thực sự cần thiết. Còn lại, cô thường ra đường với một gương mặt không son phấn để làn da có thời gian được "thở" và phục hồi.
Bi quyet lan da cang min cua Goo Hye Sun de xung voi chong tre-Hinh-2
Lớn hơn chồng trẻ 3 tuổi nhưng Goo Hye Sun không hề già hơn mà còn trẻ như gái đôi mươi. Ảnh: Internet.

Tham khảo chuyên gia da liễu về cách chăm sóc da

Goo Hye Sun không bao giờ tự ý áp dụng các phương pháp làm đẹp trên mạng. Cô luôn chủ động tìm đến các chuyên gia da liễu có tiếng để hỏi cách chăm sóc làn da của mình. Cô luôn tuân theo sự hướng dẫn của các chuyên gia để có được cách chăm sóc da phù hợp với cơ địa của mình nhất.

Luôn nhớ bôi kem chống nắng khi ra ngoài

Trong quy trình chăm sóc da của Goo Hye Sun không bao giờ bỏ qua 2 bước là làm sạch và bôi kem chống nắng. Cô cho rằng, kem chống nắng chính là lớp bảo vệ da khỏi các tác hại từ ánh nắng mặt trời và ô nhiễm môi trường. Đây đều là một trong những nguyên nhân hàng đầu gây lão hóa da nên Goo Hye Sun rất chú trọng trong việc bôi kem chống nắng trước khi ra đường.

Uống nhiều nước và ngủ đủ giấc

Bi quyet lan da cang min cua Goo Hye Sun de xung voi chong tre-Hinh-3
Nhờ những bước chăm sóc da quy củ, Goo Hye Sun mới có được làn da căng mịn, trắng nõn. Ảnh: Internet. 

Kinh ngạc lấy ra 2kg đá sỏi, nắp chai trong dạ dày người đàn ông

(Kiến Thức) - Mới đây, các bác sĩ đã phẫu thuật và lấy ra 2kg đá sỏi, nắp chai và đồng xu trong dạ dày của một người đàn ông Hàn Quốc 54 tuổi.

Theo Daily Mail, bệnh nhân 54 tuổi giấu tên, ở Goyang, Hàn Quốc sau khi bị đau bụng dữ dội, đã tới bệnh viện Ilsan Paik thuộc Đại học Inje để khám. Theo quan sát ban đầu, các bác sĩ nhận thấy bệnh nhân bị đầy hơi và cảm thấy "có gì đó giống như những viên đá nhỏ" khi họ chạm vào bụng bệnh nhân.
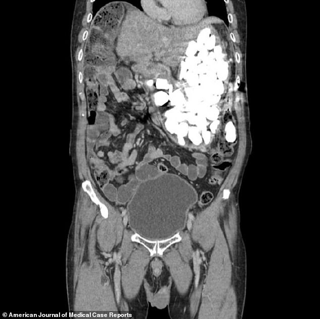
Kinh ngac lay ra 2kg da soi, nap chai trong da day nguoi dan ong
Khối sỏi đá, nắp chai và đồng xu chiếm hết dạ dày của bệnh nhân. Ảnh: AJMP. 

Hình ảnh chụp X-quang cho thấy có một nhóm dị vật lạ, số lượng lớn đó là  đá sỏi, nắp chai và đồng xu trong dạ dày của bệnh nhân. 

Các bác sĩ ban đầu nội soi dạ dày để loại bỏ các dị vật bằng một ống mỏng đưa vào dạ dày qua miệng. Tuy nhiên, nó đã thất bại vì số lượng các dị vật trong dạ dày quá nhiều. Họ không đếm được tổng cộng bao nhiêu dị vật mà người đàn ông đã nuốt.

Ngày hôm sau, nhóm bác sĩ buộc phải phẫu thuật để loại bỏ chúng. Họ bất ngờ khi nhìn thấy đá cuội, tiền xu và nắp chai trong dạ dày bệnh nhân. Khi được hỏi, bệnh nhân thú nhận ông thường nuốt đồng xu và đá cuội bất cứ khi nào cảm thấy lo lắng mặc dù đã uống thuốc để trấn tĩnh. Không rõ các dị vật này đã ở bên trong cơ thể bệnh nhân bao lâu, ông chỉ nói đó là thói quen trong quá khứ. Bệnh nhân sau đó đã được về nhà sau 9 ngày điều trị tại bệnh viện.

Kinh ngac lay ra 2kg da soi, nap chai trong da day nguoi dan ong-Hinh-2
Số dị vật được lấy ra khỏi bụng của bệnh nhân. Ảnh: AJMP. 

Đọc nhiều nhất

Tin mới

Mẹo giúp da mặt tăng độ đàn hồi

Mẹo giúp da mặt tăng độ đàn hồi

Các bài tập đơn giản cho cơ mặt, chế độ chăm sóc da và dinh dưỡng hợp lý đóng vai trò quan trọng trong việc duy trì độ đàn hồi cho làn da, giảm nếp nhăn.