Đây là ca đầu tiên được thực hiện thành công tại Việt Nam, mở ra cơ hội cho hàng ngàn bệnh nhân hẹp phế quản do lao hoặc do u.
10 tháng vật lộn, mỗi nhịp thở như có lửa đốt trong lồng ngực
"Tưởng phải sống với một lá phổi suốt đời, không ngờ tôi được hồi sinh nhờ đôi bàn tay vàng của các bác sĩ Bệnh viện Bạch Mai". Đó là lời chia sẻ của anh Nguyễn Văn B (Hà Nội) sau khi thoát khỏi nguy cơ mất phổi trái vĩnh viễn do hẹp phế quản gốc - di chứng nặng nề của lao phổi.
Sau 4 giờ "cân não", các phẫu thuật viên Khoa Phẫu thuật Lồng ngực, Bệnh viện Bạch Mai đã tái tạo thành công đường thở bằng kỹ thuật nội soi tiên tiến, đánh bại "tam giác tử thần” - vùng nguy hiểm nhất của lồng ngực. Đây không chỉ là ca đầu tiên tại Bệnh viện Bạch Mai mà còn mở ra cánh cửa hy vọng cho hàng nghìn bệnh nhân hẹp phế quản do lao - căn bệnh từng được xem là "bản án chung thân".
Từ tháng 5/2024, anh B. được chẩn đoán lao phổi, dù đã điều trị tích cực nhưng đến tháng 3/2025, phổi trái của anh xẹp hoàn toàn do phế quản gốc bị hẹp tắc. "Mười tháng vật lộn với di chứng lao phổi, mỗi nhịp thở như có lửa đốt trong lồng ngực", anh B. kể lại.
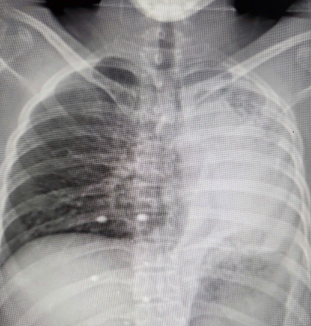
![]() |
![]() |
| Hình ảnh phim chụp hẹp phế quản gốc trái, xẹp hoàn toàn phổi trái do di chứng của lao phổi - Ảnh BVCC |
Anh B được chuyển đến Khoa Phẫu thuật Lồng ngực, Bệnh viện Bạch Mai. Qua các thăm khám lâm sàng và chụp chiếu, kết quả quả cho thấy, anh B đối diện với nguy cơ mất phổi vĩnh viễn: Chụp CT 3D phổi cho thấy phế quản gốc trái chỉ còn khe hẹp 2mm, phổi xẹp đặc như tấm bìa cứng. Nếu không phẫu thuật trong 2 tuần, phổi sẽ hoại tử.
TS.BS. Ngô Gia Khánh, Trưởng khoa Phẫu thuật Lồng ngực và Mạch máu cho biết: Đây là một ca xẹp phổi vô cùng phức tạp với những thách thức lớn. Đoạn phế quản hẹp nằm sâu sau tim, bị che khuất bởi động mạch chủ và động mạch phổi - vùng được mệnh danh là "tam giác tử thần" của lồng ngực. Dù chỉ một nhát cắt lệch 1mm, bệnh nhân có thể tử vong do chảy máu ồ ạt.
Tuy nhiên, trước một thanh niên tuổi đời còn quá trẻ với tương lai đang rộng mở phía trước, bác sĩ Gia Khánh cùng các phẫu thuật viên của khoa đã tập trung hội chẩn, thảo luận để tìm ra giải giáp tối ưu nhất nhằm cứu lá phổi tổn thương của chàng trai.
Sau khi thảo luận và lập “chiến lược” phẫu thuật, điều trị hồi phục sau mổ, các bác sĩ đã quyết định tiến hành ca phẫu thuật. Sau 4 giờ tập trung cao độ, ê-kíp phẫu thuật đã cắt bỏ thành công đoạn phế quản hẹp 3cm và khâu nối tái tạo đường thở. Chỉ 24 giờ sau mổ, phổi trái của anh B. đã giãn nở trở lại.
TS.BS. Ngô Gia Khánh xúc động chia sẻ: "Đây là ca đầu tiên được thực hiện thành công tại Việt Nam. Thành công này, mở ra cơ hội cho hàng ngàn bệnh nhân hẹp phế quản do lao hoặc do u”.
![]() |
| Bác sĩ Ngô Gia Khánh thăm khám cho người bệnh - Ảnh BVCC |
Mổ nội soi giúp giảm đau và hồi phục sớm
Cùng với sự tiến bộ vượt bậc của y học trong thời đại của AI, công nghệ số 4.0, các phẫu thuật viên của Bệnh viện Bạch Mai không ngừng cập nhật và học hỏi.
Trước đây, phẫu thuật cắt nối phế quản gốc thường được thực hiện qua đường mổ mở, có thể là đường mở qua khoang gian sườn hoặc đường cưa xương ức khiến bệnh nhân đau đớn và khả năng bình phục lâu.
Với phẫu thuật nội soi đang được triển khai hiện nay tại Khoa Phẫu thuật Lồng ngực đã đem lại khả năng hồi phục nhanh hơn cho bệnh nhân, giảm đau tốt hơn, đặc biệt là đau mạn tính kéo dài và thẩm mỹ tốt hơn. Chia sẻ về ca bệnh này, TS.BS Ngô Gia Khánh cho biết: Đây là tổn thương vô cùng hiếm gặp do lao. Các báo cáo trên thế giới cũng chỉ ở mức độ báo ca lâm sàng hoặc chùm bệnh số lượng nhỏ.
TS.BS Khánh cho biết, nếu mổ mở truyền thống bệnh nhân phải chịu đựng vết mổ với sẹo dài 15-20 cm, thời gian hồi phục từ 7-10 ngày, tỷ lệ thành công 70-80%. Trong khi nội soi vết mổ chỉ với 3 lỗ nhỏ 5-10mm, thời gian hồi phục 3–5 ngày (giảm 50%), tỷ lệ thành công 98%.
Bác sĩ Gia Khánh nhắn nhủ tới người bệnh: “Bệnh nhân lao có nguy cơ hẹp phế quản, đối diện nguy cơ xẹp phổi hoàn toàn. Vì vậy để phòng ngừa những nguy cơ không mong muốn, người bệnh nên tái khám định kỳ. Đừng chủ quan kể cả khi đã ngưng thuốc!".
Bệnh nhân Nguyễn Văn B chia sẻ: "Các bác sĩ không chỉ cứu phổi mà còn thắp lên hy vọng cho cả gia đình. Chúng tôi vô cùng biết ơn các bác sĩ đã hồi sinh lá phổi cho tôi".


