Theo PGS. TS. BS Cao Hữu Nghĩa (Viện Pasteur TP.HCM), thủy đậu (tên dân gian: trái rạ, phỏng rạ) vốn lành tính nhưng nếu không được phát hiện sớm để điều trị kịp thời và đúng cách có thể gây nhiều biến chứng nguy hiểm như viêm da, nhiễm trùng máu, viêm phổi…, thậm chí tử vong.
Những biến chứng nguy hiểm của thủy đậu mà mẹ cần biết
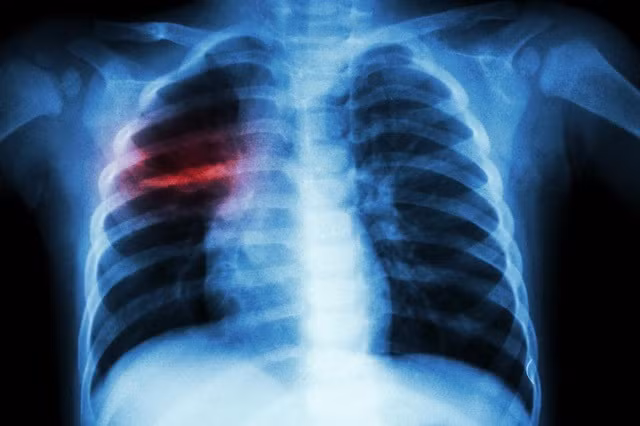
Viêm phổi là một trong những biến chứng nguy hiểm nhất của thủy đậu với biểu hiện là ho ra máu, khó thở, thở nhanh, sốt cao. Nếu không chữa trị kịp thời có thể dẫn đến tử vong.
Thực tế đã từng có trường hợp bác sĩ tại Đồng Tháp tử vong vì thủy đậu. Theo các bác sĩ BV Bệnh nhiệt đới TP.HCM, bệnh nhân được chuyến đến bệnh viện trong tình trạng viêm phổi quá nặng, suy hô hấp và không qua khỏi.
![]() |
| Một ca viêm phổi nặng do biến chứng của thủy đậu. |
Một biến chứng nguy hiểm khác của thủy đậu là viêm não. Theo báo cáo của Cơ quan Dịch vụ Y tế Anh, tỷ lệ tử vong do bị viêm não biến chứng chiếm từ 5-20%, nếu được cứu sống thì người bệnh cũng có nguy cơ bại não, nằm liệt giường.
Ở phụ nữ mang thai đặc biệt là khi thai kỳ trong khoảng 13-20 tuần, khi mắc thủy đậu có thể dẫn đến sảy thai hoặc để lại dị tật cho thai nhi (dị dạng ở sọ, đa dị tật ở tim, trẻ sơ sinh mắc chứng đầu nhỏ…). Trẻ sơ sinh mắc thủy đậu lây truyền từ mẹ diễn biến cũng rất nghiêm trọng với tỷ lệ tử vong lên đến 30%.
Ngoài những biến chứng nặng như viêm phổi, viêm não, nhiễm trùng máu… nguy cơ tử vong cao, những biến chứng khác của thủy đậu, tuy không nguy hiểm đến tính mạng nhưng để lại hệ lụy lâu dài, ảnh hưởng đến cuộc sống của người bệnh.
Điển hình nhất là viêm da “bội nhiễm” tại mụn nước. Tình trạng này khiến người bệnh cảm thấy ngứa ngáy, khó chịu, đau nhức cơ thể. Sau khi khỏi bệnh, các mụn nước này có thể để lại các vết sẹo sâu trên da, rất khó hồi phục. Điều này sẽ khiến người bệnh cảm thấy mất tự tin trong cuộc sống sau này.
![]() |
| Thủy đậu có thể để lại những vết sẹo sâu trên da gây mất thẩm mỹ cho trẻ |
Một “phiền toái” khác của bệnh thủy đậu chính là nguy cơ gây giời leo (tên gọi dân gian của bệnh zona) ở tuổi trung niên. Tuy đã khỏi bệnh nhưng siêu vi thủy đậu vẫn tồn tại trong cơ thể, khi hệ miễn dịch suy giảm, vi rút sẽ “thức dậy” gây viêm da, ảnh hưởng đến sức khỏe và thẩm mỹ của người bệnh.
Thủy đậu đã vào “mùa”, nên chủ động phòng bệnh ngay!
Năm vừa qua, cả nước đã ghi nhận gần 39 nghìn ca mắc bệnh thủy đậu, tăng 45,9% so với năm 2016 (số liệu thống kê của Cục Y tế Dự phòng, Bộ Y tế tại Hội nghị trực tuyến tăng cường công tác phòng, chống dịch bệnh mùa Đông Xuân năm 2018). Đáng lo ngại hơn, hiện đã vào “mùa” thủy đậu. Do đó, cha mẹ cần chủ động phòng ngừa bệnh cho con trẻ và cho chính bản thân ngay từ bây giờ.
![]() |
| Để trẻ luôn được bảo vệ khỏi bệnh thủy đậu, cha mẹ cần chủ động tiêm ngừa cho con và cho chính mình. |
Theo khuyến cáo của Tổ chức Y tế Thế giới (WHO), thủy đậu hiện chưa có thuốc đặc trị nên việc tiêm vắc xin là cách phòng bệnh hiệu quả nhất.
Chia sẻ về hiệu quả của vắc xin, PGS. TS. BS Cao Hữu Nghĩa cho biết: “Đối với thủy đậu, tiêm vắc xin là cách phòng bệnh đơn giản và hiệu quả nhất. Hơn 90% những người đã chủng ngừa sẽ tránh hoàn toàn được căn bệnh này. Khoảng 5-10% còn lại có thể bị thủy đậu sau khi tiêm chủng, nhưng các trường hợp này cũng chỉ bị nhẹ, với rất ít nốt đậu (dưới 50 nốt), và thường là không bị biến chứng”.
Theo đó, trẻ từ 1-12 tuổi chỉ cần tiêm 1 liều vắc xin duy nhất để ngừa thủy đậu. Từ 13 tuổi trở lên, mỗi người cần được tiêm 2 liều, cách nhau ít nhất 6 tuần để cho hiệu quả phòng bệnh tốt nhất. Phụ nữ có kế hoạch sinh con nên tiêm ngừa thủy đậu trước khi mang thai 3 tháng. Riêng phụ nữ mang thai không được tiêm vắc xin. Trẻ và người lớn có thể tiêm vắc xin ngừa thủy đậu tại hầu hết các cơ sở y tế cả công lẫn tư trên khắp cả nước.



