Bệnh nhi nam Lê Trần D M (9 tuổi, quận 3) nhập viện vì đau họng, vướng họng, không khó thở thanh quản, không ghi nhận hội chứng xâm nhập.
![]() |
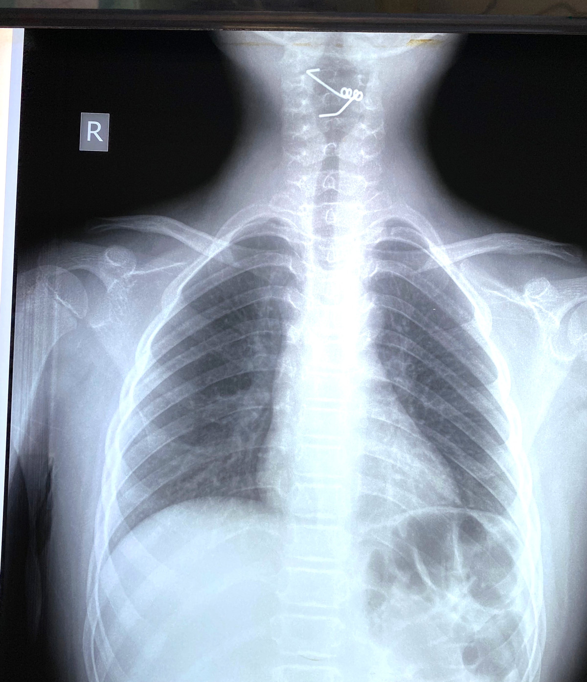
| Dị vật cổ họng qua hình ảnh... |
![]() |
| Và lò xo thực tế được các bác sĩ gắp ra khỏi cổ họng của bé trai. |
Soi hạ họng bằng ống soi treo thanh quản kiểm tra thấy dị vật là lò xo sắt có 2 càng. Chiều dài mỗi càng lò xo 3cm, 1 càng bị cài ở thành sau họng, 1 càng ở thanh thiệt.
Đây là một dị vật khá khó lấy vì các càng bám vào các cơ ở cổ. Sau lấy dị vật, niêm mạc của trẻ bị trầy xước ở thành sau họng và thanh thiệt.
![]() |
| Các bác sĩ khuyến cáo, phụ huynh và người lớn cần phải luôn giám sát, chăm sóc trẻ, đặc biệt những trẻ có tình trạng sức khỏe đặc biệt như tự kỷ. |
Các bác sĩ khuyến cáo, người lớn cần phải luôn giám sát, chăm sóc trẻ, đặc biệt những trẻ có tình trạng sức khỏe đặc biệt như tự kỷ. Trẻ có thể tò mò nhét các dị vật vào mũi hay miệng và nguy hại đến sức khỏe, thậm chí là tính mạng.
Trong nhà, người lớn phải luôn kiểm tra đồ chơi và thiết bị, để các pin dài, pin đồng xu, vật nhỏ như lò xo… dễ nuốt cách xa tầm với của trẻ.
Mời độc giả xem thêm video Nhiều trẻ phải cấp cứu vì hóc dị vật (Nguồn: VTC14).


