Điều trị ung thư tái phát hiệu quả nhờ phối hợp đa mô thức

Sau khi điều trị khối u, người bệnh nên tái khám định kỳ để phát hiện sớm nguy cơ tái phát, từ đó có cơ hội điều trị hiệu quả, mang lại kết quả tốt hơn.

Các bác sĩ tại Bệnh viện Ung Bướu TP Cần Thơ vừa tiếp nhận và điều trị thành công cho một bệnh nhân nữ 48 tuổi với nhiều khối u tái phát trong ổ bụng.

Đây là một trường hợp ung thư tái phát phức tạp, nhưng nhờ sự phối hợp đa mô thức giữa các chuyên khoa và kinh nghiệm chuyên môn, bệnh viện đã mang lại kết quả điều trị khả quan cho người bệnh.

Năm 2021, bệnh nhân T.H.D được chẩn đoán u thân tử cung và phẫu thuật cắt tử cung toàn phần tại một bệnh viện tư nhân. Kết quả giải phẫu bệnh sau mổ là sarcôm dạng biểu mô, là một loại ung thư ở tử cung.

Bệnh nhân được khuyến cáo tiếp tục điều trị và tái khám tại Bệnh viện Ung bướu TP Cần Thơ, nhưng vì chủ quan nghĩ rằng “mổ xong là đã hết bệnh”, nên đã không tuân thủ điều trị bổ sung và bỏ qua các lần tái khám định kỳ.

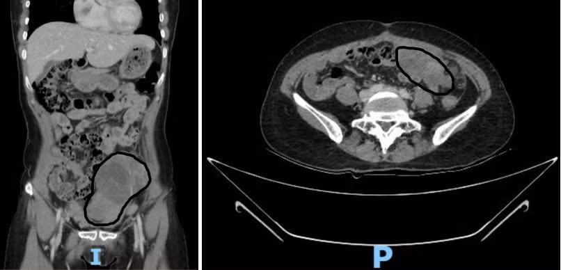
Đến năm 2024, bệnh nhân nhận thấy bụng to dần nên nhập viện tại Bệnh viện Ung Bướu TP Cần Thơ. Kết quả CT scan ghi nhận, khối tổn thương đậm độ mô mềm kích thước khoảng 150 x 102 mm và 81 x 52 mm, kèm dịch ổ bụng và thâm nhiễm mỡ mạc treo, gợi ý nhiều đến u ác tính buồng trứng di căn ổ bụng.

u-tai-phat.png
Hình 1. Hình ảnh khối u trên CTscan bụng theo các mặt cắt đứng dọc và ngang ghi nhận khối u ổ bụng rất to, giới hạn không rõ với các cơ quan khác - Ảnh BVCC

Trong lần phẫu thuật đầu tiên, ê-kíp thuộc khoa Ngoại Nhũ học – Tiêu hóa ghi nhận khối u ổ bụng kích thước lớn hơn 20cm, dính chặt thành bụng và nhiều cơ quan lân cận, nghĩ nhiều đến u buồng trứng ác tính. Do không thể cắt bỏ triệt để, các bác sĩ chỉ tiến hành sinh thiết. Kết quả giải phẫu bệnh là u tế bào hạt người lớn.

Tuy nhiên, nhận thấy kết quả này chưa thật sự phù hợp với diễn tiến bệnh, các bác sĩ đã chỉ định nhuộm hóa mô miễn dịch và đồng thời hội chẩn lại tiêu bản mô (lame) từ bệnh viện phẫu thuật trước đây.

Kết quả cuối cùng xác định: u tế bào hạt người lớn xâm lấn kênh tử cung, tái phát ổ bụng. Đây là một dạng ung thư buồng trứng hiếm gặp, điều trị tiêu chuẩn đòi hỏi phối hợp đa mô thức bao gồm phẫu thuật và hóa trị.

546368638-1370365445092089-42700856092799054-n.jpg
Hình 2. Hình ảnh vị trí to nhất của khối u trên CTscan bụng theo các mặt cắt đứng dọc và ngang sau khi hóa trị - Ảnh BVCC

Sau khi có chẩn đoán xác định, bệnh nhân được chỉ định hóa trị 6 chu kỳ. Nhờ đáp ứng tốt, khối u thu nhỏ đáng kể. Đến lần phẫu thuật thứ hai (second look surgery), ê-kíp ghi nhận: nhiều khối u thành bụng, u vùng chậu và u mạc treo đại tràng (T) kích thước từ 4–10cm, cùng khối u buồng trứng (P) 5cm.

Các khối u chắc, giới hạn rõ, có thể cắt bỏ được. Các bác sĩ đã tiến hành cắt bỏ khối u và các tổn thương liên quan, đạt được tiêu chuẩn triệt để về ung thư học.

u-tai-phat-1.png
Hình 3. Hình ảnh những khối u sau mổ - Ảnh BVCC

Bệnh nhân hồi phục nhanh, ra viện sau 6 ngày, không biến chứng. Ca bệnh cho thấy hiệu quả của điều trị đa mô thức và sự phối hợp chặt chẽ giữa các chuyên khoa. Nhờ kinh nghiệm và sự nhạy bén của đội ngũ bác sĩ trong chẩn đoán chính xác và điều trị toàn diện, mang lại kết quả tối ưu cho người bệnh.

Từ trường hợp này, BS Trần Quang Huy, Phó Trưởng khoa Ngoại Nhũ học – Tiêu hóa, Bệnh viện Ung Bướu TP Cần Thơ nhấn mạnh, việc chủ quan bỏ điều trị sau mổ sẽ làm tăng nguy cơ tái phát, khiến bệnh diễn tiến phức tạp, khó điều trị và tốn kém hơn rất nhiều.

Do đó, khi có khối bướu, người bệnh nên đến khám tại các bệnh viện chuyên khoa ung bướu, đồng thời cần tái khám định kỳ để phát hiện sớm nguy cơ tái phát, từ đó có cơ hội điều trị hiệu quả, mang lại kết quả tốt hơn.

Cẩn thận u tuyến nước bọt tái phát gây liệt mặt, mù, chuyển ung thư

U tuyến nước bọt mang tai ác tính, di căn có thể gây ra các biến chứng ở đầu, cổ, phổi và cuối cùng dẫn đến tử vong.

Ngày 3/9, Bệnh viện Bệnh Nhiệt đới TƯ cho biết, các bác sĩ đã kịp thời phát hiện và phẫu thuật thành công cho một người bệnh bị u hàm mặt tái phát.

Bệnh nhân L.Đ.V. (70 tuổi, Hà Nội) có tiền sử phẫu thuật cắt gan, cắt túi mật (1 năm trước) và từng phẫu thuật u góc hàm hai bên cách đây 10 năm. Ông V. còn mắc tăng huyết áp, đái tháo đường type II, u phì đại tiền liệt tuyến.

Cô gái 32 tuổi chán nản mất tự tin vì u xơ vành tai lớn tái phát 6 lần

Phẫu thuật cắt dái tai do khối quá sản xơ tái phát nhiều lần kết hợp tạo hình dái tai bằng vạt tại chỗ phục hồi thẩm mỹ cho người bệnh.

Quá sản xơ vùng vành tai nói chung hay dái tai nói riêng là một dạng tổn thương lành tính dễ tái phát, thường gặp ở những người từng chấn thương vùng tai hoặc bấm khuyên tai gây viêm mạn tính và hình thành khối mô xơ cứng phát triển nhanh về kích thước, ảnh hưởng đến thẩm mỹ.

Tại Bệnh viện Bãi Cháy, phẫu thuật cắt bỏ u kết hợp tạo hình khuyết hổng dái tai được triển khai đã loại bỏ triệt để tổn thương, hạn chế nguy cơ tái phát và phục hồi hình dáng thẩm mỹ của dái tai một cách tự nhiên, lấy lại tự tin cho người bệnh.

Mệt mỏi, xanh xao, người đàn ông phát hiện u sùi tâm vị

Những người trên 45 tuổi, đặc biệt có người thân trực hệ mắc ung thư, nên đi nội soi tiêu hóa tầm soát sức khỏe mỗi 3 – 5 năm/lần.

Bệnh viện Đa khoa Xuyên Á, TPHCM cho biết, nhờ nội soi tiêu hóa các bác sĩ đã kịp thời phát hiện sớm khối u tâm vị cho người bệnh đi khám tim mạch.

Theo đó, mười năm nay, ông P.V.Y (71 tuổi, Hóc Môn) duy trì thăm khám và điều trị đều đặn bệnh lý tim mạch của mình tại Bệnh viện Đa khoa Xuyên Á.

Đọc nhiều nhất

Tin mới

Top thực phẩm tốt cho tuyến giáp

Top thực phẩm tốt cho tuyến giáp

Bổ sung hạt điều, hạt bí, trái cây tươi và cá biển để duy trì sức khỏe tuyến giáp, giảm nguy cơ viêm nhiễm và cân bằng hormone tự nhiên.

Vì sao càng mệt càng khó ngủ?

Vì sao càng mệt càng khó ngủ?

Mệt mỏi không đồng nghĩa với buồn ngủ. Khi não bộ còn căng thẳng và hormone stress tăng cao, giấc ngủ dễ bị chập chờn, thậm chí biến mất hoàn toàn.