Mới đây, Bệnh viện Đa khoa Medlatec đã tiếp nhận và thăm khám bệnh nhân C.V.T 60 tuổi, (Hoàng Mai, Hà Nội).
Qua khai thác bệnh sử được biết, ông T. từng được chẩn đoán mắc viêm phổi vào tháng 10/2023, viêm không đặc hiệu ở phổi vào tháng 7/2024. Gần đây, người bệnh thấy đau tức ngực phải nên đến Melatec kiểm tra.
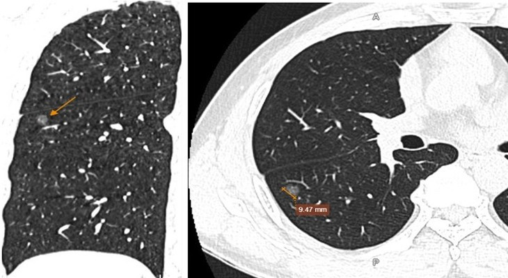
Tại đây, bệnh nhân T. được chỉ định làm các xét nghiệm và chẩn đoán hình ảnh cần thiết. Kết quả chụp cắt lớp vi tính (CT scan) cho thấy, hình ảnh nốt kính mờ phân thùy S6 phổi phải đường kính 9,5mm, kèm một số nốt rải rác nhu mô hai phổi, dày trung thất, dày màng phổi vùng đỉnh một bên, xơ vữa vôi hóa cung động mạch chủ, thoái hóa vài đốt sống ngực.
![]() |
| Hình ảnh nốt kính mờ phân thùy S6 phổi phải đường kính 9,5mm, kèm một số nốt rải rác nhu mô hai phổi. Ảnh BVCC |
Với kết quả trên, bệnh nhân T. được khuyến nghị thực hiện thêm sinh thiết tổn thương phổi. Kết quả giải phẫu bệnh cho thấy tăng sinh các tế bào tuyến phổi không điển hình (AAH) - là tiền thân của ung thư biểu mô tuyến phổi.
Dựa trên kết quả lâm sàng và cận lâm sàng, bệnh nhân T. được chẩn đoán mắc tăng sản dạng tuyến không điển hình ở phổi.
Bệnh nhân được chuyển theo dõi tại bệnh viện Ung bướu Hà Nội và tư vấn phẫu thuật.
ThS.BSNT Trương Quốc Thanh - Phó Giám đốc Trung tâm Giải phẫu bệnh MEDLATEC cho biết, ung thư phổi ở giai đoạn đầu, người bệnh thường khó phát hiện ra các triệu chứng lâm sàng, các trường hợp khi được chẩn đoán và phát hiện thì đa phần đã bước sang giai đoạn muộn, tỷ lệ tử vong rất cao. Nếu bệnh được phát hiện ở giai đoạn sớm, cơ hội sống sót có thể lên đến 50-70%.
BS Thanh khuyến cáo, người dân thuộc nhóm sau đây nên thực hiện tầm soát ung thư phổi định kỳ 6 tháng/ lần:
- Người trên 50 tuổi;
- Người hút thuốc lá lâu năm;
- Người có tiền sử gia đình mắc ung thư phổi;
- Người làm việc trong môi trường độc hại.
Nếu xuất hiện các triệu chứng như: Ho kéo dài không rõ nguyên nhân, ho ra máu, khó thở, hụt hơi, đau ngực không rõ nguyên nhân, sụt cân, mệt mỏi, thay đổi giọng nói, cần đến ngay các cơ sở y tế uy tín để được khám và điều trị kịp thời.
