Dính ruột sau phẫu thuật có thực sự nguy hiểm không?
Theo thông tin từ Bệnh viện đa khoa tỉnh Phú Thọ, người bệnh Đ.T.T 66 tuổi, (Đông Dương, Hùng Xuyên, Đoan Hùng, Phú Thọ) nhập viện trong tình trạng bụng chướng, bí trung đại tiện, sonde dạ dày ra dịch tiêu hóa và được các bác sĩ chẩn đoán tắc ruột dính.
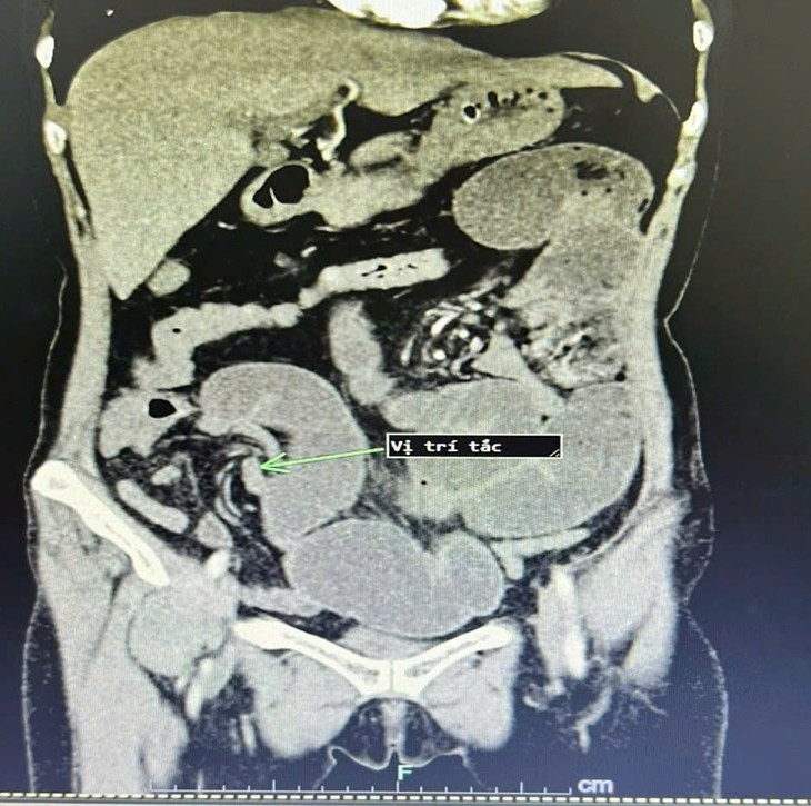
![]() |
| Hình ảnh chụp cắt lớp vi tính cho thấy quai ruột tắc, giãn to khi vào viện. Ảnh BVCC |
Qua khai thác bệnh sử, người bệnh đã phẫu thuật cắt tử cung, cắt đoạn ruột non; dính ruột một lần năm 2022. Lần này, người bệnh thấy xuất hiện đau bụng kèm theo nôn gia đình đã cho nhập viện tại bệnh viện đa khoa tư nhân trên tỉnh Phú Thọ, được điều trị 10 ngày tuy nhiên không đỡ, người bệnh đã chủ động lên bệnh viện đa khoa tỉnh Phú Thọ khám.
Tại khoa Ngoại tổng hợp Bệnh viện đa khoa tỉnh Phú Thọ, người bệnh được chẩn đoán tắc ruột dính. Có chỉ định phẫu thuật gỡ dính, lập lại lưu thông ruột.
Trong mổ các BS nhận thấy các quai ruột non giãn to, dính gập góc gây tắc hoàn toàn đoạn hồi tràng gần góc hồi manh tràng. Các Bs đã tiến hành gỡ dính, cắt đoạn ruột tắc lập lại lưu thông ruột. Hiện tại, người bệnh đã ổn định và được ra viện.
Hiện tượng dính ruột thường gặp ở những trường hợp nào?
Dính ruột là tình trạng ruột bị dính vào thành bụng hoặc các tạng bị dính vào nhau do sự hình thành của mô sẹo giữa các tạng. Dính ruột có thể xảy ra ở nhiều vị trí khác nhau như giữa các bề mặt của các tạng hay bên trong ruột, bên trong tử cung. Những người thường dễ bị dính ruột bao gồm:
Bệnh nhân có tiền sử phẫu thuật: Phẫu thuật vùng bụng như mổ ruột thừa, túi mật, cắt nối ruột, mổ cấp cứu thai ngoài tử cung, mổ đẻ, mổ sỏi thận…
Bệnh nhân bị viêm nhiễm trong ổ bụng như: viêm ruột thừa, viêm ruột non, ruột già, buồng trứng, viêm tử cung, viêm đường tiết niệu, viêm bàng quang… cũng đều có nguy cơ bị dính ruột.
![]() |
| Hình ảnh chụp cắt lớp vi tính sau khi phẫu thuật của người bệnh, tình trạng tắc ruột đã cải thiện rõ rệt. Ảnh BVCC |
Bệnh nhân mắc bệnh Crohn: Tình trạng nhiễm khuẩn có thể dẫn đến áp-xe trong hoặc xung quanh thành ruột, đặc biệt là quanh trực tràng và hậu môn. Việc điều trị áp – xe, lao ruột, nhiễm khuẩn vết mổ cũng có thể dẫn đến dính ruột.
Ngoài ra những người bị các bệnh như: chảy máu trong ổ bụng do thủng ruột, lạc nội mạc tử cung; ung thư, dừng xạ trị hoặc hóa trị ung thư; có dị vật của thiết bị phẫu thuật vẫn còn trong ổ bụng sau khi phẫu thuật; dính bẩm sinh đều có nguy cơ bị dính ruột.
Các biến chứng của dính ruột
Dính ruột có thể gây ra những biến chứng vô cùng nguy hiểm nếu không được điều trị đúng cách như:
Tắc ruột: Tắc ruột sẽ khiến cho người bệnh cảm thấy chán ăn, ít đi tiểu, khát nước, da bị khô, nôn mửa, bí trung tiện, táo bón và sốt cao nếu như bị viêm đường ruột.
Hoại tử ruột: Dính ruột có thể sẽ làm ruột bị xoắn theo trục dọc, làm cho lưu lượng máu lưu thông bị tắc nghẽn, từ đó dẫn đến hoại tử ruột. Đây là một trong những biến chứng nguy hiểm nhất của tình trạng dính ruột, gây ra một loạt các biểu hiện như ói mửa, buồn nôn, sôi ruột và chảy máu đường ruột.
Qua trường hợp của người bệnh Đ.T.T Ths.Bs Trần Thanh Tùng, Trưởng khoa Ngoại tổng hợp, Bệnh viện đa khoa tỉnh Phú Thọ khuyến cáo, Những biến chứng do dính ruột đặc biệt nguy hiểm, gây ảnh hưởng tới chất lượng cuộc sống cũng như sức khỏe của người bệnh. Do đó, với những người bệnh đã có phẫu thuật vào ổ bụng cần chú ý theo dõi sức khoẻ, nếu xuất hiện bất cứ dấu hiệu nào bất thường như đau bụng, nôn, chướng bụng, bí đại tiểu tiện,…cần đến Bệnh viện để được khám và điều trị sớm.

