Cúm mùa nguy kịch nhanh trên bệnh nhân suy giảm miễn dịch

Với những bệnh nhân phải dùng thuốc ức chế miễn dịch kéo dài, bất kỳ nhiễm trùng hô hấp nào cũng có thể diễn tiến nặng, gây suy hô hấp, ảnh hưởng đa cơ quan.

Khoa Cấp cứu – Bệnh viện Bệnh Nhiệt đới Trung ương vừa tiếp nhận một trường hợp cúm mùa diễn biến đặc biệt nhanh và nặng ở bệnh nhân nữ T.T.H 35 tuổi (Phú Thọ) có nền bệnh phức tạp.

Người bệnh có suy thận mạn do lupus, đã ghép thận được 13 tháng và phải dùng thuốc chống thải ghép cùng thuốc điều trị lupus suốt hơn 15 năm. Đây là nhóm bệnh nhân có hệ miễn dịch suy giảm sâu, rất dễ bị tấn công bởi các bệnh đường hô hấp, trong đó cúm mùa là một trong những nguy cơ lớn nhất.

Khoảng ba ngày trước nhập viện, bệnh nhân xuất hiện sốt, ho và khó thở tăng dần. Dù đã được phát hiện sớm, điều trị bước đầu tại cơ sở y tế tuyến trước và test nhanh cúm dương tính, tình trạng suy hô hấp vẫn tiến triển nhanh.

cum-mua-2.jpg
Thăm khám cho bệnh nhân - Ảnh BVCC

Khi chuyển tới Bệnh viện Bệnh Nhiệt đới Trung ương, bệnh nhân ở trong tình trạng thở nhanh 30 lần/phút, co kéo cơ hô hấp nhiều, SpO₂ tụt xuống chỉ còn 85% và cần được hỗ trợ thở máy lưu lượng dòng cao ngay lập tức.

Tuy nhiên, diễn biến cúm xấu lên nhanh đến mức có thời điểm dù cài 100% oxy, SpO₂ vẫn chỉ đạt 80–85%.

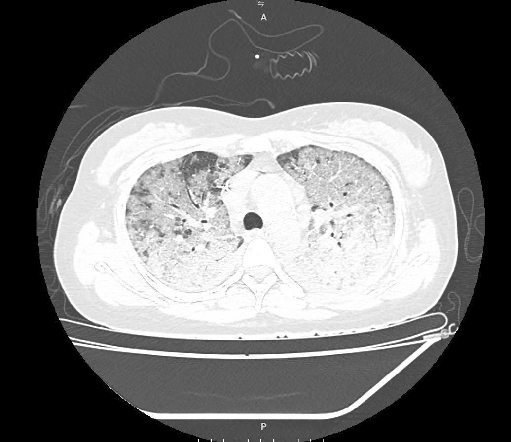
Hình ảnh phim phổi cho thấy tổn thương lan tỏa kín hai bên phổi, hình ảnh kính mờ điển hình của cúm tiến triển, nhanh chóng chuyển sang hội chứng suy hô hấp cấp (ARDS) – biến chứng nặng thường gặp ở nhóm bệnh nhân suy giảm miễn dịch.

cum-mua.jpg
Hình ảnh tổn thương phổi trên phim chụp của bệnh nhân - Ảnh BVCC

BS Trương Tư Thế Bảo, Khoa Cấp cứu Bệnh viện Bệnh nhiệt đới Trung ương cho biết, với những bệnh nhân phải dùng thuốc ức chế miễn dịch kéo dài như trường hợp này, cơ thể gần như không còn khả năng tự chống đỡ. Bất kỳ nhiễm trùng hô hấp nào cũng có thể diễn tiến nặng trong thời gian rất ngắn, gây suy hô hấp và ảnh hưởng đa cơ quan.

Trước mức độ tổn thương phổi lan tỏa và suy hô hấp tiến triển nhanh, các bác sĩ nhận định bệnh nhân H. có tiên lượng rất xấu, nguy cơ khó qua khỏi dù đã được điều trị tích cực.

Từ trường hợp này, BS Bảo nhấn mạnh, cúm mùa hoàn toàn có thể trở thành bệnh lý nguy hiểm, đặc biệt ở những người có bệnh nền như lupus, người ghép tạng, bệnh phổi mạn, tim mạch, đái tháo đường hoặc bất kỳ tình trạng nào khiến miễn dịch suy giảm.

Diễn tiến nặng có thể xảy ra trong 24–72 giờ, việc tự điều trị tại nhà hoặc chậm trễ đi khám có thể khiến người bệnh rơi vào nguy kịch rất nhanh. Khi xuất hiện sốt cao, ho nhiều, mệt tăng, thở nhanh hoặc khó thở, người bệnh cần được thăm khám ngay tại những cơ sở có chuyên khoa hô hấp và bệnh truyền nhiễm để can thiệp kịp thời.

Đặc biệt với những người có bệnh nền hoặc suy giảm miễn dịch, cúm mùa không phải là bệnh lý nhẹ. Việc tiêm vắc xin cúm hằng năm không còn đơn thuần là một khuyến cáo chung mà là biện pháp phòng bệnh cần được ưu tiên hàng đầu, giúp giảm rõ rệt nguy cơ diễn tiến nặng, suy hô hấp và tử vong.

cum-mua-1.jpg
Sau 3 ngày ho sốt, người bệnh lupus ban đỏ đã nguy kịch do cúm mùa biến chứng - Ảnh BVCC

BSCKII Nguyễn Nguyên Huyền, Giám đốc Trung tâm phòng chống dịch khuyến cáo về vai trò của vắc xin. Với các bệnh lý hô hấp dễ gây biến chứng như cúm mùa hoặc viêm phổi do phế cầu, tiêm phòng có thể giảm rõ rệt nguy cơ nhập viện, giảm mức độ tổn thương phổi và hạn chế tối đa khả năng diễn tiến sang ARDS.

Đặc biệt ở người mắc bệnh tự miễn hoặc người ghép thận đang dùng thuốc chống thải ghép, tiêm phòng vắc xin cúm hằng năm là biện pháp bảo vệ gần như bắt buộc, an toàn và không ảnh hưởng đến chức năng thận ghép.

Việc tiêm trước mùa cúm 4–6 tuần giúp cơ thể có đủ thời gian tạo miễn dịch, qua đó hạn chế tối đa các ca diễn biến nặng như trường hợp trên.

Trường hợp bệnh nhân nữ 35 tuổi là lời nhắc nhở quan trọng về việc chủ động phòng bệnh, nhận diện sớm triệu chứng và đặc biệt là duy trì tiêm phòng đầy đủ, đúng lịch. Cúm mùa hoàn toàn có thể kiểm soát được, nhưng chỉ khi người bệnh, nhất là nhóm nguy cơ cao, được bảo vệ ngay từ đầu.

Bộ Y tế khuyến cáo người dân không tự ý dùng thuốc kháng virus với cúm mùa

Bộ Y tế khuyến cáo người dân không tự ý mua và sử dụng thuốc kháng virus khi chưa có chỉ định và hướng dẫn của cán bộ y tế.

Cục Phòng bệnh - Bộ Y tế vừa có văn bản gửi Sở Y tế các tỉnh, thành phố về việc tăng cường triển khai công tác phòng chống bệnh cúm mùa.

Để tăng cường công tác phòng chống bệnh cúm mùa, Cục Phòng bệnh đề nghị Giám đốc Sở Y tế tỉnh, thành phố trực thuộc Trung ương khẩn trương chỉ đạo các đơn vị y tế trên địa bàn tăng cường các hoạt động giám sát, phát hiện sớm các trường hợp mắc bệnh, ổ dịch cúm, triển khai ngay các biện pháp xử lý triệt để ổ dịch, không để bùng phát, lây lan rộng.

Trẻ mắc cúm, phế cầu và virus hợp bào hô hấp RSV gia tăng

Thời tiết giao mùa, số ca bệnh nhi mắc các bệnh đường hô hấp như cúm mùa, đặc biệt là cúm A, phế cầu và nhiễm virus hợp bào hô hấp RSV gia tăng.

Tại Bệnh viện Nhi Trung ương, số ca bệnh nhi mắc các bệnh đường hô hấp như cúm mùa, đặc biệt là cúm A đang có xu hướng gia tăng. Trong đó có nhiều trường hợp phải nhập viện do biến chứng viêm phổi, viêm tai giữa, co giật do sốt. Từ đầu tháng 10 đến sáng 3/11, tổng số ca mắc cúm mùa ghi nhận đến khám tại bệnh viện là 3.726 trường hợp, trong đó có 479 trẻ phải nhập viện điều trị. Chỉ tính trong một tuần, từ ngày 27/10 đến 2/11 là 1.518 ca dương tính với cúm, 169 trẻ nhập viện điều trị.

Tương tự, từ đầu năm đến nay, Khoa Bệnh lây đường hô hấp (Bệnh viện Trung ương Quân đội 108) đã tiếp nhận gần 800 ca mắc cúm, trong đó nhiều trường hợp phải thở máy hoặc hỗ trợ ECMO (hệ thống tim phổi nhân tạo). Các chủng cúm phổ biến gồm A/H1N1, A/H3N2 và virus cúm B. Các bác sĩ nhận định, thời tiết giao mùa là thời điểm các bệnh hô hấp gia tăng, trong đó cúm là bệnh có tốc độ lây lan nhanh và dễ dẫn tới biến chứng nặng ở nhóm nguy cơ, trong đó có trẻ nhỏ.

Số ca mắc cúm mùa tăng vọt tại nhiều nước do chủng mới

Giới chuyên gia cảnh báo, các chủng virus cúm đang lưu hành có thể đã xuất hiện những đột biến nhỏ khiến vaccine hiện hành giảm phần nào hiệu quả bảo vệ.

Nhật Bản đóng cửa hơn 100 trường học, tỷ lệ nhập viện ở Australia tăng 50%... nhiều nước đang bước vào mùa cúm sớm hơn thường lệ.

Theo báo cáo công bố đầu tháng 11 của Tổ chức Y tế Thế giới (WHO), hoạt động của virus cúm toàn cầu nhìn chung vẫn ở mức thấp so với trung bình nhiều năm. Tuy nhiên, một số khu vực đã ghi nhận dấu hiệu gia tăng rõ rệt, đặc biệt là ở châu Á và vùng nhiệt đới. Sự biến động sớm của thời tiết, tần suất di chuyển tăng cao sau mùa hè cùng độ bao phủ vaccine giảm nhẹ so với các năm trước được cho là những nguyên nhân chính khiến bệnh cúm có xu hướng quay lại sớm hơn thường lệ.

Đọc nhiều nhất

Tin mới