Cảnh báo bó thuốc nam chữa gãy xương, lợi bất cập hại

Không tự ý dùng thuốc nam, bó lá, đắp thuốc truyền miệng. Tuân thủ hướng dẫn điều trị của nhân viên y tế để xương liền đúng, tránh tàn tật.

Khoa Ngoại tổng hợp và Liên chuyên khoa Trung tâm y tế Khu vực Đoan Hùng (Phú Thọ) vừa tiếp nhận bệnh nhân L.T.M, 85 tuổi, nhập viện trong tình trạng sưng nề, biến dạng cổ tay phải sau chấn thương 15 ngày.

Trước đó, bệnh nhân bị ngã chống bàn tay phải xuống nền, gia đình đưa đi khám, chẩn đoán gãy xương cẳng tay và khuyến cáo xử trí theo phác đồ chuyên môn. Tuy nhiên gia đình lại lựa chọn bó thuốc nam, dẫn đến trì hoãn điều trị, gây ra nhiều biến chứng nguy hiểm.

tay-bien-dang-1.png
Tay người bệnh hoại tử vì đắp thuốc nam - Ảnh BVCC

Khi vào viện, bệnh nhân trong tình trạng: Cổ tay phải sưng nề, bầm tím, đau chói, trục xương biến dạng rõ; Xuất hiện ổ mủ đang vỡ, gợi ý nhiễm trùng phần mềm nặng do bó lá thuốc; Vận động cổ tay hạn chế, nguy cơ ảnh hưởng lâu dài đến chức năng chi thể.

Sau thăm khám và tiến hành cận lâm sàng, các bác sĩ đã chỉ định: Nắn chỉnh trục xương - bó bột cố định đúng kỹ thuật.

Xử trí tình trạng viêm - nhiễm trùng để ngăn ngừa biến chứng lan rộng, đặc biệt ở người cao tuổi sức đề kháng kém.

tay-bien-dang1.png
Tay bị biến dạng sau bó thuốc nam - Ảnh BVCC

Các bác sĩ Trung tâm Y tế Khu vực Đoan Hùng nhấn mạnh, thực tế cho thấy: Việc bó thuốc nam khi gãy xương không có cơ sở khoa học, không giúp xương liền đúng vị trí mà còn:

Làm lệch trục xương, gây biến dạng chi thể.

Tăng nguy cơ nhiễm trùng, hoại tử, đặc biệt khi bôi - đắp lá không đảm bảo vô khuẩn.

Khi đến viện muộn, việc điều trị trở nên khó khăn hơn, thời gian hồi phục kéo dài, tiềm ẩn nhiều biến chứng nguy hiểm.

tay-hoai.png
tay-hoai1.png
Tay bệnh nhân trên phim chụp trước và sau khi nắn - Ảnh BVCC

"Khi xảy ra chấn thương nghi ngờ gãy xương, người dân cần:

Đến cơ sở y tế để được thăm khám và xử trí.

Không tự ý dùng thuốc nam, bó lá, đắp thuốc truyền miệng.

Tuân thủ hướng dẫn điều trị của nhân viên y tế để xương liền đúng, tránh tàn tật đáng tiếc”, các bác sĩ Trung tâm Y tế Khu vực Đoan Hùng khuyến cáo.

Người phụ nữ suýt mất mạng vì tự ý dùng thuốc nam trị đau đầu

Sau nhiều ngày uống thuốc nam để chữa đau đầu, người phụ nữ nhập viện trong tình trạng vàng da, suy gan cấp với men gan tăng gấp nhiều lần bình thường.

Trung tâm Y tế khu vực Cẩm Khê (Phú Thọ) vừa cứu sống người phụ nữ bị suy gan cấp, đe dọa tính mạng do tự ý dùng thuốc nam.

Bệnh nhân là chị N.T.H (40 tuổi, trú tại xã Phú Khê, Phú Thọ) nhập viện cấp cứu trong tình trạng mệt mỏi, da vàng như nghệ sau 10 ngày liên tục uống thuốc nam để chữa đau đầu.

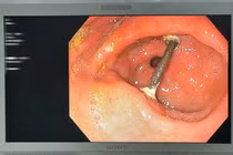
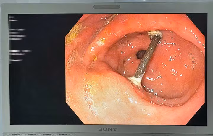
Thủng dạ dày do mảnh cây trong thuốc tự sắc

Những loại thuốc này chưa được khoa học kiểm chứng, tiềm ẩn nguy cơ cao gây ra biến chứng nghiêm trọng cho sức khỏe.

Các bác sĩ Bệnh viện Việt Nam – Thụy Điển Uông Bí vừa tiếp nhận và xử trí thành công một trường hợp người đàn ông bị thủng dạ dày do nuốt phải dị vật là mảnh cành cây có trong thang thuốc lá tự sắc uống tại nhà.

thung-da-day-cay.jpg
Mảnh cành cây 2 đầu cắm vào thành dạ dày - Ảnh BVCC

Uống thuốc nam mỗi ngày, người đàn ông hôn mê gan, nhiễm trùng huyết

Người đàn ông 57 tuổi mỗi ngày uống 1 chén thuốc nam, hậu quả phải vào cấp cứu trong tình trạng nguy kịch.

Ông H.L (57 tuổi, trú tại TP HCM) có tiền sử nghiện rượu, từng mỗi ngày uống khoảng 1 lít rượu, không khám sức khỏe. Khoảng 5 năm trước, ông L. phát hiện bệnh xơ gan giai đoạn C. Gần đây, ông bị vàng mắt, vàng da, phù chân, báng bụng nên uống thuốc nam với hy vọng bổ gan, chữa bệnh. Mỗi bữa, người đàn ông này uống 1 chén thuốc nhưng liên tục nôn ói. Sau đó, người bệnh điều trị tại bệnh viện gần nhà tuy nhiên tình trạng mệt mỏi tăng lên kèm theo chán ăn.

Ông L. được đưa vào bệnh viện ở phường Tân Sơn Hòa (TP HCM) cấp cứu trong tình trạng căng tức bụng tăng dần mức độ, rốn lồi hơn, rơi vào tình trạng lơ mơ, mất tỉnh táo, không nhận biết những việc xung quanh.

Đọc nhiều nhất

Tin mới

Hiểu lầm phổ biến về 'detox' sau Tết

Hiểu lầm phổ biến về 'detox' sau Tết

Thay vì các phương pháp “detox” nguy hiểm, hãy duy trì thói quen uống đủ nước, ăn rau quả, ngủ đủ giấc và vận động nhẹ nhàng để giữ gìn sức khỏe lâu dài.