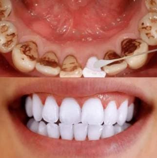
Bỏ 'thứ này' vào nước súc miệng, trả lại hàm răng trắng bóng

Làm trắng răng không còn phải cầu cứu bác sĩ nữa, tôi hướng dẫn bạn 5 phương pháp đánh bay răng ố vàng và cao răng một cách an toàn và tự nhiên.

Chỉ cần thêm một số thứ thông thường vào nước súc miệng, lau nhẹ, răng bạn sẽ trắng sáng phản chiếu, và hơi thở thơm tho! Chúng ta hãy cùng nhau xem qua.

Bo 'thu nay' vao nuoc suc mieng, tra lai ham rang trang bong

Baking Soda chanh

Khi đánh răng, chúng ta có thể cho một ít baking soda vào nước súc miệng, sau đó thêm một ít nước cốt chanh, trộn đều rồi thoa lên răng, tác dụng làm trắng răng rất tốt.

Bo 'thu nay' vao nuoc suc mieng, tra lai ham rang trang bong-Hinh-2

Baking Soda + Muối + Dâu tây

Dâu tây có chứa axit malic, có thể giúp làm sạch các vết ố trên bề mặt răng. Chúng ta trộn baking soda với muối và dâu tây xay nhuyễn để điều chế một chất làm trắng, có thể dễ dàng loại bỏ các vết cặn bẩn bám trên răng.

Bo 'thu nay' vao nuoc suc mieng, tra lai ham rang trang bong-Hinh-3

Uống cà phê

Cà phê có chứa sắc tố cao, sẽ làm cho răng của chúng ta ngày càng ố vàng, vì vậy lời khuyên cho bạn là nên súc miệng sau khi uống cà phê.

Bo 'thu nay' vao nuoc suc mieng, tra lai ham rang trang bong-Hinh-4

Sử dụng bàn chải đánh răng lông mềm và chỉ nha khoa

Khi đánh răng, nên chậm rãi hơn, chú ý làm sạch các chất bẩn giữa các kẽ răng, không nên làm một cách hấp tấp. Nên sử dụng chỉ nha khoa để loại bỏ cặn giữa các kẽ răng, vừa an toàn lại không gây tổn thương cho răng.

Bo 'thu nay' vao nuoc suc mieng, tra lai ham rang trang bong-Hinh-5

Rửa sạch sau bữa ăn

Hãy tạo thói quen tốt để súc miệng sau bữa ăn. Nếu bạn không đánh răng sau khi ăn, cặn thức ăn tích tụ trong kẽ răng, đây là tác nhân phổ biến nhất khiến răng chúng ta ngả vàng và gây sâu răng.

Bo 'thu nay' vao nuoc suc mieng, tra lai ham rang trang bong-Hinh-6

Tóm lại, có nhiều yếu tố ảnh hưởng đến sự thay đổi của răng như uống cà phê, trà đậm lâu ngày, thói quen hút thuốc lá, không chú ý vệ sinh răng miệng, uống quá nhiều thuốc, phẫu thuật nha khoa… Muốn có hàm răng trắng và khỏe, bạn cần hình thành thói quen đánh răng thật tốt, hãy ghi nhớ 5 mẹo trên, bạn cũng có thể nở nụ cười rạng rỡ trong tương lai nhé!

Loại gia vị là “sát thủ” đầu độc gan, gây ung thư cực nhanh

Là hai loại gia vị được nhiều người yêu thích nhưng chúng lại rất nguy hiểm, nếu dùng không đúng liều lượng sẽ đầu độc gan, gây viêm, xơ, ung thư gan.

Mắm tôm 
Nhiều người không ngửi được mùi mắm tôm, không ăn nổi mắm tôm nhưng ngược lại cũng có rất nhiều người yêu thích loại mắm này, thường xuyên sử dụng. Thực tế, đúng là có một số món bắt buộc phải có mắm tôm thì mới đúng hương, đúng vị nhưng chúng ta không thể lạm dụng, ăn quá thường xuyên. 

Màn hình điện thoại có vết xước, bôi ngay thứ này để chúng “mất tích”

Nếu màn hình có vết xước, bạn sẽ thấy rất khó chịu. Không cần tốn tiền thay mới, dùng mẹo này, bạn loại bỏ được vết xước trên màn hình điện thoại.

Dùng kem đánh răng

Bạn nên chọn kem đánh răng màu trắng dạng kem. Trước tiên cần đảm bảo rằng không có bụi hoặc chất bẩn khác trên màn hình vì bạn không muốn để lại nhiều vết xước hơn. Sau đó bạn chấm một chút kem đánh răng lên vết xước và xoa đều lên vết xước.

6 thói quen âm thầm tàn phá cơ thể của bạn

Những thói quen dưới đây khiến cho sức khỏe của bạn bị bòn rút mỗi ngày, càng ngày càng ốm yếu rút ngắn tuổi thọ.

Thường xuyên uống nhiều nước có gas

Trong thành phần dinh dưỡng của nước có gas còn gọi soda hay nước ngọt chứa hàm lượng lớn đường fructose và đây là thủ phạm chính gây béo phì, đái đường, bệnh lý tim mạch và các bệnh mãn tính khác. Chỉ dùng một lon soda mỗi ngày có thể khiến bạn tăng từ 5-7kg một năm, hơn thế nữa làm tăng nguy cơ mắc đái đường.

Đọc nhiều nhất

Mẹo tăng sức đề kháng trong mùa đông

Mẹo tăng sức đề kháng trong mùa đông

Để tăng cường sức đề kháng trong mùa đông, cần chế độ dinh dưỡng giàu vitamin, uống đủ nước ấm, tập thể dục đều đặn, giữ ấm cơ thể, ngủ đủ giấc...

Tin mới

Mẹo tăng sức đề kháng trong mùa đông

Mẹo tăng sức đề kháng trong mùa đông

Để tăng cường sức đề kháng trong mùa đông, cần chế độ dinh dưỡng giàu vitamin, uống đủ nước ấm, tập thể dục đều đặn, giữ ấm cơ thể, ngủ đủ giấc...

Vì sao nọng heo được ưa chuộng?

Vì sao nọng heo được ưa chuộng?

Nọng heo được ưa chuộng vì sự kết hợp độc đáo giữa vị ngọt của thịt nạc và béo ngậy của mỡ, tạo nên hương vị mềm mọng, giòn sật đặc trưng.