(Kiến Thức) - Các bác sĩ đã tiến hành phẫu thuật lấy 3 chiếc kim dài 4,5 cm đâm vào cơ thể một bé gái 2 tháng tuổi ở miền đông Bắc Trung Quốc.
Hà Vũ (theo Sina)
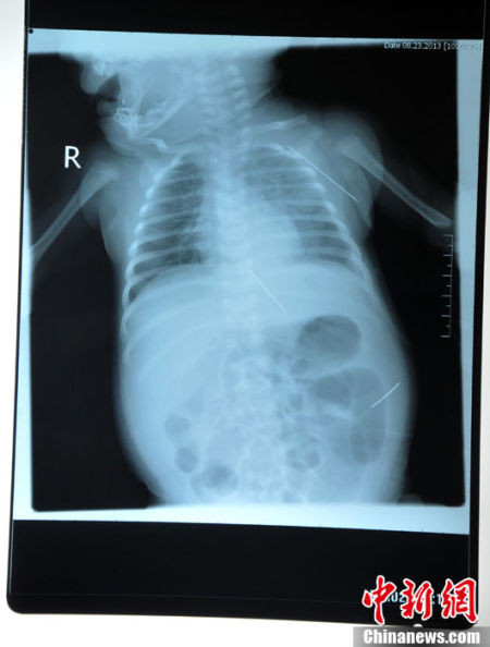
Bé gái 2 tháng tuổi được phẫu thuật để lấy 3 chiếc kim khâu khỏi cơ thể.
Một bé gái 2 tháng tuổi ở tỉnh Hắc Long Giang của Trung Quốc đã lâm vào tình trang nguy kịch sau khi bị đâm 3 chiếc kim khâu vào các bị trí khác nhau trên cơ thể.
Sau khi được chuyển đến một bệnh viện tại tỉnh Hắc Long Giang, các bác sĩ đã tiến hành chụp X-quang và phát hiện 3 chiếc kim khâu dài khoảng 4,5 cm đâm vào khoang bụng và vùng dưới nách của bé gái.
Ảnh chụp X-quang cho thấy vị trí của chiếc kim khâu.
Bé gái đã được các bác sĩ tiến hành phẫu thuật hôm qua (23/8) để lấy 3 chiếc kim ra khỏi cơ thể. Cuộc phẫu thuật đã diễn ra thành công và hiện tại bé gái đã qua giai đoạn nguy kịch và đang dần hồi phục.
Cảnh sát tỉnh Hắc Long Giang đã tiến hành một cuộc điều tra nguyên nhân bé gái bị chọc kim khâu vào người là do tai nạn hay cố ý.
(Kiến Thức) - Anh Huang Rongming sống tại tỉnh Hà Nam, Trung Quốc được sinh ra với tình trạng tim bẩm sinh lồi ra ở dưới bụng khiến anh bị khó thở và mệt mỏi.
Vì tim nằm sai vị trí nên anh Huang phải nằm nhiều suốt 24 năm qua. Nếu anh đứng dậy, sẽ bị khó thở và người trở nên xanh xao. Từ bé, bố mẹ anh đã không cho anh chơi với bọn trẻ vì sợ bọn chúng có thể động vào trái tim anh và làm anh tử vong.
Huang Rongming vốn là công nhân tại một nhà máy, anh vừa trải qua cuộc đại phẫu để đưa trái tim lòi ra từ bụng trở về vị trí ngực. Anh là một trường hợp đặc biệt khiến bác sĩ kinh ngạc. Vì căn bệnh anh mắc phải là cực hiếm.
(Kiến Thức) - Bé trai 8 tháng tuổi Tofajjal, sống ở Ấn Độ mắc phải một chứng bệnh hiếm gặp gọi là encephalomeningocele khiến bé mọc thêm một chiếc đầu có não bên trong.
Bé trai 8 tháng tuổi Tofajjal, sống ở Ấn Độ mắc phải một chứng bệnh hiếm gặp gọi là encephalomeningocele, một dạng khuyết tật ống thần kinh thường được thấy ở những bệnh nhân sống ở Đông Nam Á. Đây là bệnh có xác suất trẻ sơ sinh bị mắc phải là 1/40.000-50.000..
Bác sỹ phẫu thuật thần kinh Sisir Das của một bệnh viện tại Kolkata cho hay: “Tofajjal được sinh ra với một dị tật hiếm-một chiếc đầu thứ 2 hình thành và nối liền trên đỉnh đầu cậu bé”.
Kết quả xét nghiệm ADN cho thấy, nhà sư Luang Pu Nen Kham Chattiko (Thái Lan) chính là cha của cháu bé 11 tuổi.
Trước đó, Cục điều tra đặc biệt Thái Lan (DSI) nhận được tố cáo từ một phụ nữ rằng cô bị sư Chattiko lạm dụng khi mới 14 tuổi. Dùng của cải giá trị dụ dỗ, nhà sư đã tiếp cận được bé gái vị thành niên và quan hệ tình dục với cô.
Kết quả, một bé trai ra đời đã được sư “khéo léo” gửi về nhà ngoại cô để chăm sóc, tránh búa rìu dư luận.
Đau lưng ở người lớn tuổi không đơn thuần do thoái hóa, có thể là biểu hiện xẹp đốt sống, nguy cơ gây biến dạng cột sống, ảnh hưởng nghiêm trọng đến vận động.
Một bệnh nhân 60 tuổi vừa được Bệnh viện Lão khoa Hà Nội phẫu thuật cắt bỏ nang xương hàm trên sau khi tình cờ phát hiện tổn thương trong lần khám răng định kỳ.
Nhiều người vẫn cho rằng phụ nữ sau sinh buồn bã, mệt mỏi là điều bình thường. Nhưng thực tế có sự khác biệt rất lớn giữa buồn thoáng qua và trầm cảm thực sự.
Nhiều trường hợp không có biểu hiện rõ ràng. Khi sỏi gây triệu chứng, người bệnh có thể gặp: Đau âm ỉ hoặc đau quặn vùng hạ sườn phải, đầy bụng, khó tiêu...
Tóc không thể tiêu hóa trong dạ dày nên sẽ tích tụ, tạo thành khối lớn gây tắc ruột, viêm loét, thủng dạ dày, đe dọa tính mạng nếu không xử trí kịp thời.
Bệnh viện Quân y 175 điều trị thành công cho bệnh nhân biến dạng do tự ý bơm silicon, cảnh báo về tác hại nguy hiểm của chất làm đầy không rõ nguồn gốc.
Trẻ bị động vật cắn, cào, cần nhanh chóng rửa sạch vết thương dưới vòi nước chảy, đưa trẻ đến cơ sở y tế để được xử trí kịp thời, tránh biến chứng nguy hiểm.
Viêm phổi thùy là một dạng viêm phổi cấp tính, diễn biến khá nhanh, trong khi các triệu chứng ban đầu đôi khi không điển hình, khiến nhiều người dễ chủ quan.
Những chiếc nấm màu trắng mọc trong rừng tưởng vô hại, nhưng chỉ sau một bữa ăn đã đẩy nhiều người vào cuộc chiến sinh tử với suy gan, suy thận, hôn mê.