Ứng dụng kỹ thuật C-arm trong phẫu thuật xương gãy không để lại sẹo

Ứng dụng C-arm trong phẫu thuật kết hợp xương đóng vai trò rất quan trọng trong việc tăng độ chính xác, giảm xâm lấn, rút ngắn thời gian phẫu thuật.

Bệnh viện Đa khoa Phú Thọ đã ứng dụng C-arm trong phẫu thuật kết hợp xương gãy cho người bệnh đến từ Lai Châu.

Phẫu thuật điều trị gãy xương bằng máy C-arm (màn hình tăng sáng) là phương pháp tiên tiến đang được triển khai tại Bệnh viện Đa khoa tỉnh Phú Thọ.

Đây là kỹ thuật xâm lấn tối thiểu, bác sĩ chỉ cần rạch đường rạch nhỏ trên da, bóc tách mô mềm, nắn chỉnh ổ xương và luồn các phương tiện cố định xương gãy dưới sự hỗ trợ của máy C-arm và bàn nắn chỉnh hình.

Ứng dụng phương pháp này giúp người bệnh ít đau hơn, hạn chế tổn thương mô mềm, người bệnh sớm phục hồi, vết mổ nhỏ gần như không để lại sẹo.

Người bệnh T.K.M sinh năm 2016, trú tại xã Bum Tở, tỉnh Lai Châu không may bị ngã khi đi xe đạp, đã khám tại cơ sở y tế địa phương được chẩn đoán gãy tay phải. Tin tưởng vào bác sĩ giàu kinh nghiệm của Bệnh viện Đa khoa tỉnh Phú Thọ, sau khi sơ cứu, gia đình đã đưa người bệnh vượt hơn 400km về Phú Thọ để điều trị.

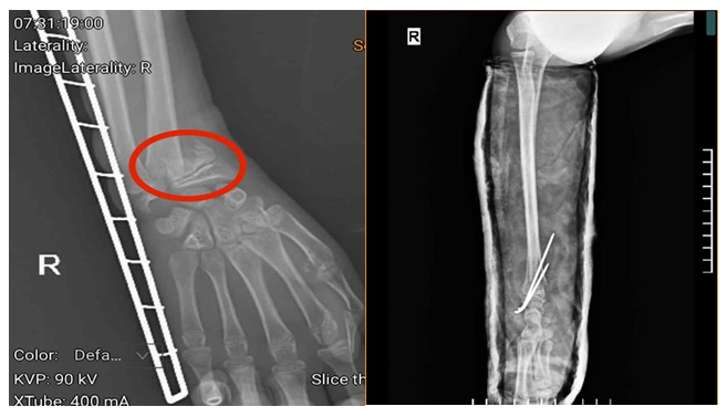
ket-xuong.png
Hình ảnh phim chụp của người bệnh trước và sau khi phẫu thuật (vùng tổn thương trước phẫu thuật được khoanh đỏ) - Ảnh BVCC

Người bệnh vào viện trong tình trạng tay phải được cố định bằng nẹp, cẳng tay, cổ tay phải đau nhiều, sưng nề…

Tại Khoa Ngoại Chấn thương và Y học Thể thao, Trung tâm Chấn thương chỉnh hình, Bệnh viện Đa khoa tỉnh Phú Thọ, người bệnh được bác sĩ khám, chỉ định thực hiện các cận lâm sàng và được chẩn đoán gãy xương cẳng tay phải.

Tuy nhiên, do thời gian tổn thương kéo dài, người bệnh bị chấn thương trước khi vào viện 3 ngày, kèm theo việc gia đình cho người bệnh bó thuốc nam nên vùng xương và cơ bị tổn thương, có hiện tượng co cứng, đặc biệt, vùng xương gãy gần với sụn, nếu không can thiệp kịp thời sẽ ảnh hưởng đến khả năng vận động sau này.

Người bệnh được chỉ định phẫu thuật kết hợp xương bằng kỹ thuật C-arm với đội ngũ bác sĩ tay nghề cao, giúp nâng cao khả năng phục hồi tối đa.

ket-xuong-1.jpg
Bác sĩ Vũ Hoàng Đại Hải thăm khám, hướng dẫn người bệnh tập vận động sau phẫu thuật - Ảnh BVCC

Qua quá trình theo dõi, thăm khám cho người bệnh sau phẫu thuật, BS Vũ Hoàng Đại Hải, Khoa Ngoại Chấn thương và Y học Thể thao, Trung tâm Chấn thương chỉnh hình cho biết: Tình trạng sức khỏe người bệnh ổn định, cử động ban đầu tốt, người bệnh được xuất viện tiếp tục tập phục hồi vận động tại nhà.

ket-xuong-2.jpg
Vết mổ của người bệnh rất nhỏ, gần như không để lại sẹo - Ảnh BVCC

Nhờ ứng dụng kỹ thuật C-arm trong phẫu thuật, vết mổ của người bệnh rất nhỏ, gần như không để lại sẹo, mang lại hiệu quả thẩm mỹ cao.

Có thể thấy, việc ứng dụng C-arm trong phẫu thuật kết hợp xương đóng vai trò rất quan trọng trong việc tăng độ chính xác, giảm xâm lấn, và rút ngắn thời gian phẫu thuật, đặc biệt trong các phẫu thuật chấn thương chỉnh hình.

Người bệnh được chỉ định thực hiện kỹ thuật C-arm khi nào?

Một số trường hợp được chỉ định ứng dụng kỹ thuật C-arm trong phẫu thuật như:

Gãy xương chi dài: Xương đùi, xương cẳng chân, xương cánh tay…

Gãy xương ổ cối, xương chậu

Gãy xương cột sống

Phẫu thuật ít xâm lấn

BS Vũ Hoàng Đại Hải (Khoa Ngoại Chấn thương và Y học thể thao, Bệnh viện Đa khoa Phú Thọ)

Cứu sống cô gái trẻ gãy xương chậu phức tạp do tai nạn nghiêm trọng

Bệnh viện Quân y 175 đã cứu sống nữ bệnh nhân 24 tuổi bị chấn thương nặng, gãy xương phức tạp, nhờ kỹ thuật cao và hệ thống báo động đỏ hiệu quả.

Vừa qua, Bệnh viện Quân y 175 đã tiếp nhận và kịp thời cứu sống một nữ bệnh nhân trẻ bị tai nạn giao thông nghiêm trọng, trong tình trạng đa chấn thương và sốc chấn thương nặng.

Kích hoạt "báo động đỏ" cứu bệnh nhân sốc đa chấn thương nguy kịch

Khoảng 40% người trên 70 tuổi tại Việt Nam có nguy cơ loãng xương

Số ca loãng xương tại Việt Nam không ngừng gia tăng, gây hậu quả nghiêm trọng như gãy xương, giảm chất lượng sống, đặc biệt ở người cao tuổi.

Tại Việt Nam, theo thống kê của Viện Dinh Dưỡng, loãng xương là bệnh phổ biến ở người trên 50 tuổi. Cứ ba phụ nữ thì có một người mắc bệnh, trong khi nam giới tỷ lệ là 1/8 người. Hiện có khoảng 3,8 triệu người bị loãng xương, với gần 300.000 ca gãy xương liên quan đến bệnh. Đặc biệt, có khoảng 32.000 trường hợp gãy xương hông và 25% phụ nữ trên 50 tuổi bị gãy lún đốt sống.

Hiện nay, số ca loãng xương tại Việt Nam vẫn không ngừng gia tăng và ngày càng có nhiều phụ nữ mắc bệnh ở độ tuổi trẻ. Theo dự báo, đến năm 2030, tổng số người mắc loãng xương trong nước có thể vượt 4,5 triệu, trong đó nữ giới chiếm tỷ lệ khoảng 70-80%.

Một phụ nữ 42 tuổi gặp tai nạn khi chơi pickleball

Một phụ nữ 42 tuổi gặp tai nạn khi chơi pickleball, dẫn đến gãy xương cánh tay phức tạp.

Bà N.P.A. (42 tuổi, Hà Nội) đang chơi pickleball cùng bạn bè thì trượt ngã khi cố gắng đỡ bóng. Cánh tay phải của bà va mạnh xuống đất, không thể cử động, kèm theo đau nhói dữ dội, sưng phù và cảm giác lỏng lẻo. Ngay lập tức, bà được đưa đến bệnh viện.

Kết quả chụp chiếu cho thấy bà bị gãy phức tạp 1/3 giữa dưới xương cánh tay, với mảnh vỡ hình cánh bướm kích thước lớn. Vùng mô mềm quanh ổ gãy sưng nề, bầm tím lan rộng, kèm nguy cơ tổn thương thần kinh và mạch máu. Bác sĩ Lê Quang Huy, chuyên khoa Ngoại Chấn thương chỉnh hình - Thần kinh sọ não đã chỉ định phẫu thuật.

Đọc nhiều nhất

Mẹo tăng sức đề kháng trong mùa đông

Mẹo tăng sức đề kháng trong mùa đông

Để tăng cường sức đề kháng trong mùa đông, cần chế độ dinh dưỡng giàu vitamin, uống đủ nước ấm, tập thể dục đều đặn, giữ ấm cơ thể, ngủ đủ giấc...

Tin mới

Mẹo tăng sức đề kháng trong mùa đông

Mẹo tăng sức đề kháng trong mùa đông

Để tăng cường sức đề kháng trong mùa đông, cần chế độ dinh dưỡng giàu vitamin, uống đủ nước ấm, tập thể dục đều đặn, giữ ấm cơ thể, ngủ đủ giấc...

Vì sao nọng heo được ưa chuộng?

Vì sao nọng heo được ưa chuộng?

Nọng heo được ưa chuộng vì sự kết hợp độc đáo giữa vị ngọt của thịt nạc và béo ngậy của mỡ, tạo nên hương vị mềm mọng, giòn sật đặc trưng.