Nữ bệnh nhân 56 tuổi mắc dị tật nang ống giáp lưỡi hiếm gặp

Bệnh nhân 56 tuổi phát hiện dị tật bẩm sinh nang ống giáp lưỡi, dạng hiếm gặp, chỉ chiếm khoảng 7% dân số.

Ngày 11/9, Phòng khám Đa khoa Medlatec Gò Vấp tiếp nhận bệnh nhân N.B. (56 tuổi, Tây Ninh) đến khám vì đau họng, ho nhiều, sổ mũi kéo dài. Trước đó, bệnh nhân từng điều trị viêm phổi nhưng không cải thiện.

Tại Phòng khám Đa khoa Medlatec Gò Vấp, bệnh nhân được chỉ định thực hiện các kỹ thuật cận lâm sàng cần thiết phục vụ chẩn đoán bao gồm: Siêu âm tuyến giáp, chụp cắt lớp vi tính phổi liều thấp.

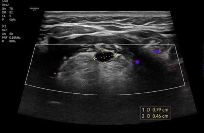
Hình ảnh siêu âm của bệnh nhân phát hiện bất thường.

Đáng chú ý, kết quả siêu âm tuyến giáp ghi nhận hình ảnh dạng nang ít cản âm - dấu hiệu quan trọng giúp loại trừ khả năng tuyến giáp lạc chỗ dạng đặc. Chính phát hiện này đã góp phần định hướng chẩn đoán chính xác, làm rõ tình trạng dị tật bẩm sinh hiếm gặp ở bệnh nhân. Chẩn đoán xác định, bệnh nhân mắc bệnh nang ống giáp lưỡi, được bác sĩ tư vấn hướng điều trị phù hợp.

Sau quá trình chẩn đoán, nhờ năng lực chuyên môn của đội ngũ y bác sĩ cùng hệ thống trang thiết bị hiện đại, bệnh nhân được chẩn đoán mắc u nang giáp móng - một dị tật bẩm sinh hiếm gặp chỉ chiếm 7% dân số.

U nang giáp móng nếu không được điều trị sớm có nguy cơ gây ra nhiều biến chứng nguy hiểm

Theo BSCKI Bùi Thị Cẩm Bình - chuyên khoa Nội, nang ống giáp lưỡi (còn gọi u nang giáp móng) hình thành do bất thường trong quá trình phát triển phôi thai của tuyến giáp, chiếm khoảng 7% dân số và có thể gặp ở mọi lứa tuổi.

Tuy bệnh thường lành tính và tiến triển chậm, nhưng nang giáp lưỡi vẫn có khả năng gây biến chứng không mong muốn như:

  • Nhiễm trùng gây triệu chứng sưng đỏ, nóng, sờ vào thấy đau, thậm chí là hình thành áp xe mủ; Dịch mủ xâm nhập qua vùng cổ họng hoặc qua da; Vùng cổ bị biến dạng; Ung thư nang giáp lưỡi; Bệnh lý có nguy cơ tái phát ngay cả khi đã phẫu thuật.
  • Việc chẩn đoán sớm, chính xác không chỉ giúp tiết kiệm thời gian, chi phí điều trị mà còn giảm thiểu tối đa nguy cơ biến chứng, đảm bảo chất lượng cuộc sống cho người bệnh.
  • Vì vậy, bác sĩ khuyến cáo, người dân nếu nhận thấy bất kỳ bất thường nào ở vùng cổ như xuất hiện khối u, sưng to bất thường, khó nuốt, đau họng kéo dài… người bệnh cần đến ngay các cơ sở y tế uy tín để được thăm khám. Thực hiện các kỹ thuật cận lâm sàng sớm sẽ giúp bác sĩ phân biệt được nang giáp lưỡi với các bệnh lý khác như viêm hạch, nang tuyến giáp hay thậm chí ung thư tuyến giáp.

Sàng lọc trước sinh cứu thai chậm phát triển trong tử cung, thoát vị rốn

Thai chậm phát triển trong tử cung, thoát vị rốn, thiểu sản xương sống mũi, tiên lượng khó khăn đã ra đời an toàn nhờ sàng lọc trước sinh.

Hành trình cứu thai nhi gan, dạ dày, quai ruột... thoát vị rốn ra ngoài

Một phụ nữ mang thai tự nhiên ở Hải Phòng phát hiện thoát vị rốn khi siêu âm thai ở tuần thứ 12.

Trẻ 17 tuổi mới phát hiện rò khe mang do dị tật bẩm sinh

Đừng bao giờ coi nhẹ những bất thường trên cơ thể – đặc biệt là ở vùng cổ, nơi tập trung nhiều cấu trúc giải phẫu quan trọng.

Một ca bệnh hiếm gặp đã được xử trí thành công tại Trung tâm Y tế Quảng Yên, góp phần cảnh tỉnh cộng đồng về tầm quan trọng của việc phát hiện sớm và điều trị kịp thời các dị tật bẩm sinh.

Vừa qua, các bác sĩ tại Trung tâm Y tế Quảng Yên đã thực hiện ca bóc tách u nang cổ nghi rò khe mang – một loại dị tật bẩm sinh hiếm gặp, thường không được nhận biết cho đến khi gây biến chứng.

90% trẻ sơ sinh Hà Nội sàng lọc 5 bệnh bẩm sinh phổ biến

Hàng tháng, Bệnh viện Phụ sản Hà Nội phát hiện khoảng 500 trường hợp thai có bất thường, tập trung ở bệnh tim bẩm sinh, hệ thần kinh, thận, tiết niệu.

Trẻ dị tật bẩm sinh chậm phát triển cả thể chất và tinh thần

Theo thống kê từ Cục Dân số (Bộ Y tế), ước tính trung bình mỗi năm có 1,5 triệu trẻ chào đời, trong đó khoảng 40.000 trẻ mắc các dị tật bẩm sinh dẫn đến chậm phát triển về thể chất, trí tuệ, vận động, ảnh hưởng đến tâm lý và khó hòa nhập với xã hội.

Đọc nhiều nhất

Tin mới