Ngày Tết, cẩn trọng khi lạm dụng đồ uống có đường

Chỉ vì nghiện đồ uống có đường, nhiều người tự đẩy mình đến gần với thừa cân, béo phì, đái tháo đường, rối loạn mỡ máu, tim mạch, loãng xương…

Ngay Tet, can trong khi lam dung do uong co duong
 Cứ mỗi dịp Tết, nhu cầu tiêu thụ thực phẩm của người dân tăng cao, trong đó có các loại đồ uống có đường. Ảnh minh họa
Ngay Tet, can trong khi lam dung do uong co duong-Hinh-2
 Nhiều người thậm chí có quan điểm chỉ vài ngày Tết cứ thả phanh chắc không sao, tuy nhiên, ít ai biết rằng vị siêu ngọt đó có thể dẫn đến vô vàn hệ lụy liên quan đến sức khỏe. Ảnh minh họa
Ngay Tet, can trong khi lam dung do uong co duong-Hinh-3
Già đi rất nhanh: Tiêu thụ quá nhiều đường không chỉ gây thừa cân, béo phì mà còn đẩy nhanh quá trình lão hóa. Làn da chúng ta chủ yếu được cấu tạo bởi collagen và elastin. Khi ăn quá nhiều đường có thể phá hủy collagen và đẩy nhanh quá trình lão hóa da dẫn đến hình thành nếp nhăn sớm và da chảy xệ.  Ảnh minh họa
Ngay Tet, can trong khi lam dung do uong co duong-Hinh-4
 
Mắc bệnh đái tháo đường type 2: Việc tiêu thụ nước ngọt thường xuyên khiến lượng đường trong máu và insulin tăng đột biến. Theo thời gian, điều này có thể dẫn đến tình trạng kháng insulin, đóng vai trò quan trọng trong việc khởi phát bệnh đái tháo đường type 2. Ảnh minh họa
Ngay Tet, can trong khi lam dung do uong co duong-Hinh-5
Gây hại cho thận: Uống nước ngọt có hàm lượng đường cao dễ làm tăng nồng độ acid uric trong cơ thể. Điều này có thể khiến các tinh thể hình thành trong thận, dẫn đến sỏi thận.  Ảnh minh họa
Ngay Tet, can trong khi lam dung do uong co duong-Hinh-6
Mắc bệnh gan nhiễm mỡ: Uống nước ngọt hàng ngày khiến cơ thể tiêu thụ quá nhiều đường tinh luyện có hàm lượng fructose cao, có thể khiến gan bị quá tải và dẫn đến tích tụ thêm chất béo, dễ dẫn đến bệnh gan nhiễm mỡ không do rượu. 
Ngay Tet, can trong khi lam dung do uong co duong-Hinh-7
Gây căng thẳng, mất ngủ: Trong nước ngọt đều chứa một lượng caffeine nên khi nạp chất này vào cơ thể khiến cho cơ thể mệt mỏi, mất ngủ và căng thẳng.  Ảnh minh họa
Ngay Tet, can trong khi lam dung do uong co duong-Hinh-8
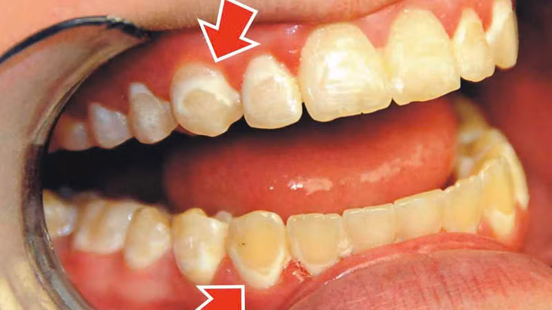
Hỏng men răng và gây sâu răng: Trong nước ngọt có chứa cacbonat, đường và axit đây là nguyên nhân chính gây ra suy yếu men răng và góp phần thúc đẩy sự phát triển của vi khuẩn sâu răng. Ảnh minh họa
Ngay Tet, can trong khi lam dung do uong co duong-Hinh-9
Đồ uống có đường còn làm gia tăng nguy cơ mắc các rối loạn chuyển hóa và các bệnh không lây nhiễm khác. Đường lỏng trong mặt hàng này khi được dung nạp vào cơ thể làm thay đổi quá trình trao đổi chất của cơ thể, ảnh hưởng đến insulin, cholesterol và các chất chuyển hóa gây ra huyết áp cao và viêm nhiễm.Ảnh minh họa 
Ngay Tet, can trong khi lam dung do uong co duong-Hinh-10
 Làm suy giảm chức năng tinh hoàn: Theo các nhà khoa học Mỹ công bố trên Human Reproduction, thanh niên uống từ 220ml nước ngọt mỗi ngày có số lượng tinh trùng giảm đi trung bình 28 triệu con so với thanh niên không uống nước ngọt đồng thời nội tiết tinh hoàn cũng giảm đáng kể. Ảnh minh họa

Thức uống “tàn phá” gan, nhiều người vẫn dùng hàng ngày

Nếu gan bị tổn thương, các chất độc sẽ tích tụ lại trong cơ thể và gây ra nhiều vấn đề sức khỏe nguy hiểm.

Gan là cơ quan nội tạng lớn nhất trong cơ thể, được ví là ‘nhà máy lọc máu’. Mọi thứ nạp vào cơ thể qua đường tiêu hóa đều được gan xử lý và lọc bỏ các chất độc ra ngoài.

Loại đồ uống “cày nát” thận, mùa hè phải tránh xa

Mùa hè nóng nực, nhiều người uống không kiểm soát nước ngọt giải khát, khiến thận tổn thương, có nguy cơ cao mắc thêm 3 bệnh.

Theo nghiên cứu mới đây, chuyên gia phát hiện các loại nước ngọt giải khát có liên quan đáng kể đến bệnh tiểu đường tuýp 2, bệnh tim mạch và tăng tỷ lệ tử vong, đồng thời ảnh hưởng gián tiếp đến chức năng thận.

Uống Pepsi chữa hạ đường huyết, nữ blogger gặp kết thảm

Hiện tại, khi cố gắng ngừng uống Pepsi, cô gái trẻ xinh đẹp này gặp rất nhiều vấn đề về sức khỏe. Tuy nhiên, nếu tiếp tục uống các loại nước ngọt, hậu quả còn nghiêm trọng hơn.

Đồ uống có ga là thức uống ưa thích của nhiều người, nhưng uống quá nhiều không chỉ khiến bạn béo lên mà còn có thể dẫn đến nghiện.
Một cô gái xinh đẹp 20 tuổi ở Anh đang mắc chứng nghiện nước ngọt, cô uống tới 4 lít Pepsi mỗi ngày và tiết lộ rằng khi cố dừng lại, cô sẽ có những triệu chứng nghiện nghiêm trọng. Điều đáng ngạc nhiên là cô gái tiết lộ, lý do khiến cô rơi vào chuỗi ngày nghiện nước ngọt có ga bắt nguồn từ một bác sĩ.

Đọc nhiều nhất

Người mắc bệnh tuyến giáp kiêng ăn gì?

Người mắc bệnh tuyến giáp kiêng ăn gì?

Người bệnh tuyến giáp cần nắm rõ các loại thực phẩm cần tránh như đậu nành, đồ đóng hộp, nội tạng động vật để kiểm soát bệnh, nâng cao chất lượng cuộc sống.

Tin mới

Người mắc bệnh tuyến giáp kiêng ăn gì?

Người mắc bệnh tuyến giáp kiêng ăn gì?

Người bệnh tuyến giáp cần nắm rõ các loại thực phẩm cần tránh như đậu nành, đồ đóng hộp, nội tạng động vật để kiểm soát bệnh, nâng cao chất lượng cuộc sống.

Hiểu lầm phổ biến về 'detox' sau Tết

Hiểu lầm phổ biến về 'detox' sau Tết

Thay vì các phương pháp “detox” nguy hiểm, hãy duy trì thói quen uống đủ nước, ăn rau quả, ngủ đủ giấc và vận động nhẹ nhàng để giữ gìn sức khỏe lâu dài.