Không thể cử động chân, người đàn ông 71 tuổi gãy kín 2 xương

Gãy xương kín là hiện tượng xương gãy nhưng không đâm xuyên qua da nên thường được thực hiện điều trị muộn sau vài ngày hoặc vài tuần chấn thương.

Gãy cả 2 xương cẳng chân mà không biết

Vừa qua, các bác sĩ Khoa Ngoại – Trung tâm Y tế khu vực Phù Ninh đã phẫu thuật thành công cho người bệnh Đ.T.L (71 tuổi, trú tại xã Phù Ninh, tỉnh Phú Thọ) bị gãy kín hai xương cẳng chân trái sau tai nạn sinh hoạt.

Khi nhập viện, người bệnh trong tình trạng đau nhiều, sưng nề, biến dạng vùng cẳng chân trái, không thể cử động được. Sau khi thăm khám, chụp X-quang và hội chẩn, các bác sĩ chẩn đoán gãy kín hai xương cẳng chân trái di lệch, có chỉ định phẫu thuật kết hợp xương bằng nẹp vít nhằm phục hồi chức năng vận động cho người bệnh.

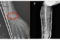
gay-xuong-2.jpg
Hình ảnh xương gãy trên phim chụp - Ảnh BVCC

Sau 45 phút khẩn trương, ê-kíp phẫu thuật đã tiến hành ca mổ trong điều kiện vô khuẩn tuyệt đối. Với tay nghề vững vàng, thao tác chính xác và sự phối hợp nhịp nhàng, ca phẫu thuật diễn ra an toàn, thuận lợi. Hậu phẫu, người bệnh tỉnh táo, vết mổ khô, chi được cố định tốt, cảm giác và vận động dần hồi phục.

Đồng thời, các bác sĩ đã hội chẩn liên Khoa Y học cổ truyền & Phục hồi chức năng để hướng dẫn bệnh nhân tập vận động sớm, giúp sớm phục hồi khả năng đi lại bình thường.

Hiện tại, người bệnh đang được theo dõi và chăm sóc sau mổ tại Khoa Ngoại – Trung tâm Y tế khu vực Phù Ninh, sức khỏe ổn định, tinh thần vui vẻ và bày tỏ lời cảm ơn sâu sắc đến đội ngũ y bác sĩ đã tận tình cứu chữa, giúp người bệnh vượt qua cơn đau và phục hồi nhanh chóng.

gay-xuong.jpg
Ê -kíp phẫu thuật cho bệnh nhân - Ảnh BVCC

Nhận biết điều trị sớm để tránh biến chứng

ThS.BSCKI Lê Đình Khoa, Trưởng khoa tái tạo khớp, Bệnh viện Đa khoa Tâm Anh TP HCM cho biết, gãy xương kín xảy ra phổ biến tại nhiều vị trí khác nhau trên cơ thể. Chấn thương xuất phát từ nhiều nguyên nhân đa dạng, có thể dẫn đến biến chứng nguy hiểm nếu không được phát hiện và điều trị kịp thời.

ThS.BSCKI Lê Đình Khoa phân tích, gãy xương kín là hiện tượng xương gãy nhưng không đâm xuyên qua da. Tình trạng này nhiều trường hợp vẫn cần đến phẫu thuật. Tuy nhiên, khác với gãy xương hở, quá trình thực hiện thường không khẩn cấp, thậm chí hoàn toàn có thể thực hiện sau vài ngày hoặc vài tuần chấn thương.

Mặc dù vết gãy không đâm xuyên qua da nhưng trong nhiều trường hợp, mô mềm vẫn bị tổn thương nghiêm trọng. Đối với tình trạng này, việc can thiệp phẫu thuật là thực sự cần thiết và quan trọng.

gay-xuong-3.jpg
Nẹp vít xương gãy sau phẫu thuật - Ảnh BVCC

Gãy xương kín có thể xảy ra tại nhiều vị trí khác nhau trên cơ thể. Dưới đây là một số tình trạng phổ biến nhất:

Gãy xương cổ tay: Đây là một trong những loại gãy xương phổ biến nhất, cần được điều trị y tế kịp thời. Phương pháp thường được ưu tiên là bó bột để cố định và giúp xương hồi phục. Trong trường hợp nghiêm trọng hơn, gãy xương cổ tay kín buộc phải cần đến phẫu thuật, ngay cả khi vết thương đã liền miệng.

Gãy xương hông: Gãy xương hông kín thường xảy ra phổ biến ở người cao tuổi. Đặc biệt, hầu hết các trường hợp đều phải cần đến điều trị bằng phẫu thuật.

Gãy xương mắt cá: Dạng chấn thương này có thể xảy ra khi khớp mắt cá chân bị xoắn trong xương một cách nghiêm trọng. Tùy thuộc vào mức độ nặng nhẹ của vết thương, bác sĩ có thể cân nhắc chỉ định phẫu thuật hoặc không.

Gãy cột sống: Tình trạng này thường xảy ra ở những người lớn tuổi, do hiện tượng nén cột sống. Cụ thể, cột sống được tạo thành từ các đốt sống xếp chồng lên nhau. Khi tình trạng loãng xương xảy ra, xương trở nên mỏng và yếu khiến đốt sống dễ bị chấn thương.

Gãy xương sườn: Xương sườn rất yếu, gãy xương sườn kín có thể do va chạm mạnh, té ngã, biến chứng trong quá trình sinh mổ thậm chí nhiều trường hợp ho gà cũng có thể dẫn đến gãy xương sườn.

Triệu chứng thường gặp là đau tức ngực, đau khi hít sâu, khi ấn vào vùng sườn, nhiều trường hợp chấn thương nhẹ không có biểu hiện rõ ràng. Điều trị bằng phương pháp nghỉ ngơi, hạn chế vận động mạnh và dùng thuốc giảm đau.

Gãy xương kín có thể xuất phát từ nhiều nguyên nhân khác nhau: Do chấn thương (Chấn thương thể thao, ngã, tai nạn giao thông, thao tác mổ lấy thai ở sản phụ…); Do căng thẳng (Vận động quá mức, lặp đi lặp lại một động tác trong một thời gian dài; Do bệnh lý (Xương suy yếu do nhiễm trùng, khối u…)

Yếu tố nguy cơ: Tuổi cao, xương trở nên giòn, mỏng và yếu; Loãng xương; Sinh mổ; Các vấn đề liên quan đến nội tiết; Rối loạn đường ruột; Hút thuốc; Uống rượu bia; Sử dụng thuốc Corticosteroid.

Dấu hiệu khi bị gãy xương kín: Cơn đau xuất hiện đột ngột; Sưng tấy; Vùng da chấn thương bị đỏ; Bầm tím; Khó khăn khi sử dụng hoặc di chuyển vùng bị thương và các khớp lân cận; Nhận thấy biến dạng rõ ràng ở vùng chấn thương.

Tình trạng xương bị gãy kín nghiêm trọng nhất khi xảy ra đối với xương cột sống. Một số triệu chứng phổ biến đi kèm gồm: Cảm giác tê và ngứa ran tại vị trí chấn thương; Cơ thể trở nên yếu; Xuất hiện các vấn đề bất thường ở bàng quang hoặc ruột.

gay-xuong-1.jpg
Phát hiện điều trị sớm gãy xương kín để tránh biến chứng - Ảnh BVCC

Ngay khi nhận thấy những triệu chứng nghi ngờ gãy xương kín, người bệnh nên liên hệ với bác sĩ ngay lập tức để được chẩn đoán, điều trị sớm. Việc chủ quan, kéo dài triệu chứng có thể sẽ dẫn đến nhiều vấn đề nghiêm trọng cho sức khỏe:

Xương di lệch nhiều hơn.

Gây khó khăn cho quá trình điều trị và làm tăng nguy cơ gãy xương hở.

Một số biến chứng nghiêm trọng có thể gặp phải: Nhiễm trùng, hội chứng khoang, hoại tử mạch máu, sốc giảm dịch, sốc chấn thương vô trùng, huyết khối tĩnh mạch sâu…

Vì vậy ngay sau khi xảy ra va đập mạnh, tai nạn, té ngã… người bệnh cần được khám lâm sàng, sơ cứu gãy xương kịp thời để cố định xương đúng cách. Sau đó, việc thực hiện các phương pháp điều trị chuyên sâu sẽ giúp tình trạng cải thiện hiệu quả và nhanh chóng.

Gãy xương kín có thể gây nguy hiểm nếu không được điều trị kịp thời. Ngoài ra, tình trạng này còn ảnh hưởng trực tiếp đến tâm lý, khả năng vận động, sinh hoạt… hàng ngày. Do đó, việc thực hiện các giải pháp phòng ngừa ngay từ ban đầu là thực sự cần thiết.

Biện pháp phòng ngừa

Duy trì một chế độ dinh dưỡng lành mạnh, cân bằng và đủ chất, đảm bảo cung cấp đủ từ 1200 – 1500mg Canxi, 800- 1000 IU (đơn vị quốc tế) Vitamin D mỗi ngày. Một số nguồn thực phẩm giàu thành phần tốt cho xương gồm: quả hạnh, sữa, sữa chua, trứng, các loại rau (rau bina, cải xoăn, bông cải xanh…), ngũ cốc nguyên hạt (yến mạch, lúa mạch đen, gạo lứt…), các loại đậu (đậu đen, đậu xanh, đậu phụ…).

Tắm nắng mỗi ngày khoảng 15 phút vào buổi sáng để cung cấp đủ hàm lượng Vitamin D3 cần thiết, giúp đẩy nhanh quá trình hấp thụ Canxi của cơ thể.

Duy trì thói quen luyện tập thể dục, thể thao mỗi ngày với những bộ môn, bài tập thích hợp (bơi lội, yoga, bóng rổ, đạp xe…) tối thiểu 30 phút/ngày. Điều này giúp thúc đẩy sức khỏe tổng thể, ổn định chức năng, giảm nguy cơ thoái hóa và tăng cường độ chắc khỏe cho khung xương.

Duy trì cân nặng ở mức hợp lý để tránh gây áp lực cho xương.

Phòng tránh té ngã bằng cách trang bị đầy đủ thiết bị chiếu sáng trong gia đình, tránh leo cao, đi đứng chậm rãi, cẩn thận…

Từ bỏ thói quen hút thuốc lá, uống rượu bia… để hạn chế quá trình đào thải Canxi của cơ thể dẫn đến làm tăng nguy cơ gãy xương và loãng xương.

Không nên vận động quá mức, mang vác đồ nặng hoặc thực hiện các động tác lặp đi lặp lại vì dễ khiến xương bị quá tải, dẫn đến gãy.

Cố gắng điều trị triệt để các bệnh lý liên quan đến xương khớp.

Mặc đồ bảo hộ cẩn thận khi chơi các bộ môn thể thao tiếp xúc hoặc làm các công việc nguy hiểm để hạn chế tối đa chấn thương.

Bé trai 7 tuổi gãy xương cẳng tay, suýt mất vận động sau cú ngã xe đạp

Gãy kín hai xương cẳng tay có di lệch, nguy cơ biến dạng, hạn chế vận động. Phẫu thuật kết hợp xương giúp khôi phục vận động, tránh biến chứng cứng khớp.

Bệnh viện Đa khoa Hồng Ngọc vừa phẫu thuật thành công ca kết hợp xương cho bé trai 7 tuổi bị gãy kín 1/3 trên hai xương cẳng tay trái, có di lệch. Sau mổ, bệnh nhi đã có thể vận động nhẹ nhàng, tập phục hồi chức năng lấy lại vận động.

Gãy kín hai xương cẳng tay có di lệch, nguy cơ biến dạng, hạn chế vận động

Ứng dụng kỹ thuật C-arm trong phẫu thuật xương gãy không để lại sẹo

Ứng dụng C-arm trong phẫu thuật kết hợp xương đóng vai trò rất quan trọng trong việc tăng độ chính xác, giảm xâm lấn, rút ngắn thời gian phẫu thuật.

Bệnh viện Đa khoa Phú Thọ đã ứng dụng C-arm trong phẫu thuật kết hợp xương gãy cho người bệnh đến từ Lai Châu.

Phẫu thuật điều trị gãy xương bằng máy C-arm (màn hình tăng sáng) là phương pháp tiên tiến đang được triển khai tại Bệnh viện Đa khoa tỉnh Phú Thọ.

Khoảng 40% người trên 70 tuổi tại Việt Nam có nguy cơ loãng xương

Số ca loãng xương tại Việt Nam không ngừng gia tăng, gây hậu quả nghiêm trọng như gãy xương, giảm chất lượng sống, đặc biệt ở người cao tuổi.

Tại Việt Nam, theo thống kê của Viện Dinh Dưỡng, loãng xương là bệnh phổ biến ở người trên 50 tuổi. Cứ ba phụ nữ thì có một người mắc bệnh, trong khi nam giới tỷ lệ là 1/8 người. Hiện có khoảng 3,8 triệu người bị loãng xương, với gần 300.000 ca gãy xương liên quan đến bệnh. Đặc biệt, có khoảng 32.000 trường hợp gãy xương hông và 25% phụ nữ trên 50 tuổi bị gãy lún đốt sống.

Hiện nay, số ca loãng xương tại Việt Nam vẫn không ngừng gia tăng và ngày càng có nhiều phụ nữ mắc bệnh ở độ tuổi trẻ. Theo dự báo, đến năm 2030, tổng số người mắc loãng xương trong nước có thể vượt 4,5 triệu, trong đó nữ giới chiếm tỷ lệ khoảng 70-80%.

Đọc nhiều nhất

Tin mới

Đi khám sức khỏe phát hiện ung thư amidan

Đi khám sức khỏe phát hiện ung thư amidan

Người dân cần chủ động thăm khám sức khỏe định kỳ, đặc biệt khi có dấu hiệu bất thường vùng tai mũi họng, đau họng kéo dài, nuốt vướng, khàn tiếng, nổi hạch cổ…