TP HCM ghi nhận hơn 7.200 ca tay chân miệng, nhiều trẻ nguy kịch, đặc biệt với chủng EV71 có khả năng gây biến chứng nặng và tử vong.
Bệnh nhân mắc đồng thời hai loại ung thư nguyên phát gồm ung thư phổi và ung thư tuyến tiền liệt, được phát hiện trong khoảng thời gian chưa đầy 2 tháng.
Nếu cộng đồng biết cấp cứu ngừng tuần hoàn tại chỗ có thể cứu được rất nhiều người, thay vì chờ đến khi vào viện.
Hội chứng ngưng thở khi ngủ không chỉ làm suy giảm chất lượng giấc ngủ mà còn tiềm ẩn nhiều nguy cơ gây hại cho sức khỏe.
Các bác sĩ cho biết, thực tế lâm sàng cho thấy, bệnh viêm não mô cầu không chỉ gây tử vong nhanh chóng mà còn để lại những di chứng nặng nề.
Ca phẫu thuật thành công của Bệnh viện Sản nhi Lào Cai giúp bé sinh non nặng 1,7kg vượt qua nhiều dị tật nguy hiểm, mang lại cơ hội sống.
Thuốc lá hiện là nguyên nhân gây tử vong đứng thứ hai tại Việt Nam, chỉ sau bệnh tim mạch, đòi hỏi sự quan tâm đặc biệt từ toàn xã hội.
Phẫu thuật ở tuổi rất cao nguy cơ biến chứng gây mê, phẫu thuật cao, nhưng nếu không phẫu thuật, bệnh sẽ tiến triển nhanh, ảnh hưởng nghiêm trọng cuộc sống.
Những trường hợp đau đầu mạn tính không rõ nguyên nhân cũng nên đi khám, chẩn đoán hình ảnh sọ não giúp phát hiện sớm các bất thường nếu có.
Bệnh viêm tụy cấp do triglycerid cao có thể nguy hiểm, cần chẩn đoán sớm và kiểm soát tốt để tránh hậu quả nặng nề.
Chị T. đã chiến thắng hội chứng song thai không tim nhờ can thiệp kịp thời, mang lại hạnh phúc viên mãn sau nhiều năm mong đợi làm mẹ.
Cúm B dễ bùng phát mạnh trong thời tiết giao mùa, gây biến chứng nguy hiểm nếu không được phát hiện sớm và điều trị kịp thời.
Người dân cần thận trọng khi sử dụng thực phẩm lên men, ủ chua. Không dùng các sản phẩm chế biến thủ công không bảo đảm vệ sinh an toàn thực phẩm.
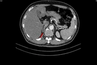
Kỹ thuật chụp nút mạch lần đầu tại Lào Cai giúp bệnh nhân ung thư gan cải thiện sức khỏe, giảm chi phí và nâng cao chất lượng cuộc sống.
Sốc phản vệ do ong đốt có thể diễn tiến rất nhanh và nguy hiểm. Việc phát hiện sớm và đưa trẻ đến cơ sở y tế kịp thời là yếu tố quyết định để cứu sống.
Bệnh viện Nhi đồng 1 TP HCM thực hiện thành công ca ghép thận từ mẹ hiến cho bé 14 tuổi mắc suy thận giai đoạn cuối.
Ung thư phổi thường tiến triển âm thầm, vì vậy việc chờ có triệu chứng mới đi khám có thể khiến người bệnh bỏ lỡ cơ hội điều trị triệt căn.
Bệnh tay chân miệng do EV71 có thể không biểu hiện rõ ràng nhưng gây nguy cơ nặng, cha mẹ cần chú ý triệu chứng để kịp thời đưa trẻ đi khám.
Sau sinh nếu sản phụ xuất hiện các dấu hiệu bất thường như ra máu nhiều, chóng mặt, mệt lả, da xanh tái hoặc choáng váng, cần báo ngay cho nhân viên y tế.
Các cơn đau xuất hiện ngày càng thường xuyên và dữ dội, chị D. không thể ăn được thức ăn cứng hay cơm, cơ thể mệt mỏi, suy nhược kéo dài.