Phẫu thuật thay khớp gối cho bệnh nhi 10 tuổi mắc ung thư xương

Lần đầu tiên tại Việt Nam, các bác sĩ khoa Ngoại Cơ xương khớp, Bệnh viện K đã thay khớp gối tăng trưởng thành công cho bệnh nhi 10 tuổi mắc ung thư xương.

Mới đây, Bệnh viện K, các bác sĩ khoa Ngoại Cơ xương khớp đã thực hiện thành công ca phẫu thuật thay khớp gối tăng trưởng cho bệnh nhi 10 tuổi mắc ung thư xương đầu dưới xương đùi.

Bệnh nhi K.P.M., 10 tuổi, quê tại Điện Biên, người dân tộc Hà Nhì, nhập viện trong tình trạng sưng đau vùng đùi trái kéo dài, đi lại khó khăn. Qua thăm khám lâm sàng và thực hiện các xét nghiệm hình ảnh học, kết quả MRI cho thấy bệnh nhi M. có khối tổn thương kích thước 12x9cm ở đầu dưới xương đùi, ăn mòn vỏ xương, phá vỡ màng xương và lan vào phần mềm. Kết quả sinh thiết xác định bệnh nhi mắc osteosarcoma đầu dưới xương đùi trái– một thể ung thư xương ác tính thường gặp ở lứa tuổi thiếu niên.

Đánh giá được bệnh tình và thể trạng hiện tại của bệnh nhi, nếu như không kịp thời điều trị và can thiệp thì có thể bệnh nhi sẽ gặp rất nhiều trở ngại trong đi lại và cuộc sống sau này do đó các bác sĩ đã tiến hành hội chẩn đa chuyên khoa gồm Khoa Ngoại Cơ xương khớp, Nội Nhi, Chẩn đoán hình ảnh, Giải phẫu bệnh để đánh giá kỹ càng, bệnh nhi được chỉ định hóa trị tân bổ trợ để thu nhỏ khối u trước phẫu thuật. Bệnh nhi đã được điều trị hóa chất tân bổ trợ trước mổ 2 chu kỳ phác đồ MAP đánh giá sau điều trị kết quả khối u khu trú, co nhỏ về kích thước.

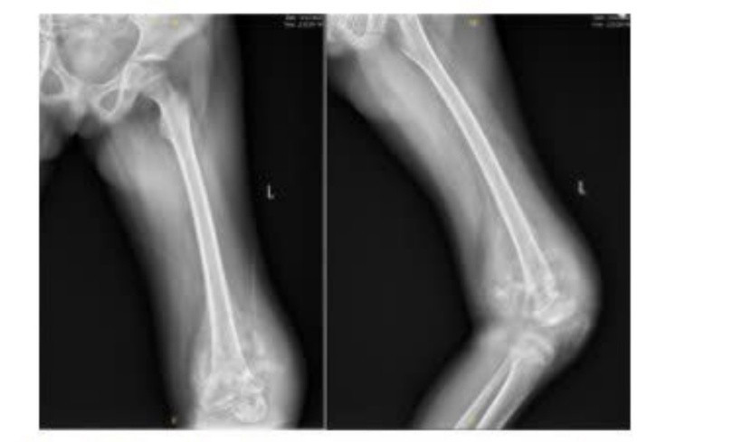
Hình ảnh X Quang lúc bệnh nhi mới nhập viện. Ảnh: BVCC

Hình ảnh X Quang lúc bệnh nhi mới nhập viện. Ảnh: BVCC

Thông thường với ung thư xương ở trẻ em, đặc biệt ở vị trí gần khớp gối, nguy cơ ảnh hưởng đến sự phát triển chi thể rất cao. Trước đây, phần lớn các trường hợp sẽ được chỉ định cắt cụt để đảm bảo triệt căn. Tuy nhiên, với sự phát triển của kỹ thuật ngoại khoa và công nghệ khớp nhân tạo, hướng điều trị bảo tồn chi thể bằng thay khớp gối nhân tạo đã trở thành một lựa chọn khả thi.

Tuy nhiên ở bệnh nhi này mới 10 tuổi, thời gian tăng trưởng và khả năng phát triển chiều cao còn nhiều. Nếu chỉ thay khớp nhân tạo thông thường chắc chắn sẽ ảnh hưởng khả năng phát triển chiều dài của xương đùi trái khiến bệnh nhi bị chân trái ngắn hơn chân phải trong tương lai.

Điều này sẽ ảnh hưởng không nhỏ đến chức năng vận động cũng như thẩm mỹ và chất lượng cuộc sống của bệnh nhân về sau.

Sau khi đánh giá kỹ lưỡng, ekip phẫu thuật quyết định thực hiện thay khớp gối nhân tạo có cơ chế tăng trưởng, giúp bệnh nhi không chỉ được bảo tồn chi mà còn duy trì được sự phát triển bình thường của chân phải trong những năm tiếp theo. Đây là khớp nhân tạo được thiết kế đặc biệt giúp bệnh nhân có thể điều chỉnh chiều dài chân trái cho phù hợp với sự phát triển của chân phải mà chỉ cần thực hiện một phẫu thuật nhỏ.

Tuy nhiên đây là một kỹ thuật lần đầu tiên được thực hiện tại Bệnh viện K cũng như tại Việt Nam, đòi hỏi chuyên môn cao của phẫu thuật viên và ekip mổ.

Các bác sĩ Bệnh viện K đã đặt hàng vận chuyển khớp nhân tạo từ nước ngoài về Việt Nam đảm bảo phù hợp nhất với bệnh nhân, đảm bảo cá thể hóa điều trị cho từng người bệnh.

Cuộc phẫu thuật kéo dài 4 giờ đồng hồ, bao gồm cắt đoạn xương đùi tổn thương dài tới 16 cm, bảo tồn tối đa phần mô lành và đặt khớp gối tăng trưởng. Đặc biệt, khớp tăng trưởng sử dụng nguyên lý cơ học từ bên ngoài (external magnetic drive) cho phép kéo dài trong tương lai bằng các cuộc mổ nhỏ, ít xâm lấn.

Ca mổ không chỉ mở ra cơ hội phục hồi toàn diện cho bệnh nhi mà còn đánh dấu một bước tiến trong điều trị ung thư xương bảo tồn chi tại Việt Nam/BVCC

Ca mổ không chỉ mở ra cơ hội phục hồi toàn diện cho bệnh nhi mà còn đánh dấu một bước tiến trong điều trị ung thư xương bảo tồn chi tại Việt Nam/BVCC

Sau mổ, bệnh nhi được chăm sóc tại Khoa Hồi sức tích cực và chụp lại phim xquang kiểm tra hệ thống khớp nhân tạo đúng vị trí. Sau đó bệnh nhân được hướng dẫn tập vật lý trị liệu sớm ngay sau mổ. Hiện tại sau mổ 1 tuần bệnh nhân phục hồi tốt, vết mổ liền tốt, không có biến chứng chảy máu nhiễm trùng bệnh nhi đã đứng dậy và đi lại được nhẹ nhàng.

Bệnh nhân sẽ được tiếp tục tập phục hồi chức năng, đảm bảo trở lại cuộc sống bình thường. Tương lai bệnh nhân sẽ được phẫu thuật điều chỉnh chiều dài khớp nhân tạo cho phù hợp với phát triển chiều dài của chân phải.

Ca mổ không chỉ mở ra cơ hội phục hồi toàn diện cho bệnh nhi mà còn đánh dấu một bước tiến trong điều trị ung thư xương bảo tồn chi thể cho bệnh nhi ung thư xương tại Việt Nam, mở ra hy vọng mới cho nhiều trẻ em mắc bệnh hiểm nghèo.

Căn bệnh phổ biến có thể âm thầm dẫn đến ung thư thực quản

Trào ngược dạ dày kéo dài không chỉ gây khó chịu mà còn có thể dẫn đến ung thư thực quản nếu không điều trị đúng cách.

Trào ngược dạ dày – căn bệnh tưởng chừng đơn giản với các triệu chứng quen thuộc như ợ nóng, đau tức ngực lại có thể là mầm mống của ung thư thực quản nếu không được điều trị đúng cách. Đáng lo ngại, nhiều người vẫn chủ quan khi thấy các dấu hiệu ban đầu.

Không chỉ gây khó chịu, ảnh hưởng đến chất lượng cuộc sống, trào ngược dạ dày kéo dài còn có thể dẫn đến biến chứng nguy hiểm như viêm thực quản mạn tính, Barrett thực quản và cuối cùng là ung thư thực quản – một loại ung thư có tỷ lệ tử vong cao.

Ung thư thận gia tăng đáng báo động ở người trẻ

Mỗi năm, Việt Nam ghi nhận khoảng 1.700 - 2.000 ca ung thư thận mới, một con số đáng báo động cho thấy sự gia tăng của căn bệnh nguy hiểm này.

Thận bé nhỏ nhưng giữ vai trò sống còn

ThS.BSNT Cao Minh Phúc, Khoa Phẫu thuật tiết niệu, Bệnh viện Bạch Mai cho biết, thận là cơ quan nhỏ bé nhưng giữ vai trò sống còn trong cơ thể. Thận am thầm và bền bỉ đảm nhiệm việc lọc máu, loại bỏ độc tố, điều hòa huyết áp, cân bằng nước - điện giải và tham gia sản xuất hormone tạo máu.

Đọc nhiều nhất

Hiểu lầm phổ biến về 'detox' sau Tết

Hiểu lầm phổ biến về 'detox' sau Tết

Thay vì các phương pháp “detox” nguy hiểm, hãy duy trì thói quen uống đủ nước, ăn rau quả, ngủ đủ giấc và vận động nhẹ nhàng để giữ gìn sức khỏe lâu dài.

Tin mới

Hiểu lầm phổ biến về 'detox' sau Tết

Hiểu lầm phổ biến về 'detox' sau Tết

Thay vì các phương pháp “detox” nguy hiểm, hãy duy trì thói quen uống đủ nước, ăn rau quả, ngủ đủ giấc và vận động nhẹ nhàng để giữ gìn sức khỏe lâu dài.